Suppr超能文献

PD-1 阻断治疗非小细胞肺癌中具有预测潜力的转录和功能不同的 PD-1 CD8 T 细胞池。

A transcriptionally and functionally distinct PD-1 CD8 T cell pool with predictive potential in non-small-cell lung cancer treated with PD-1 blockade.

机构信息

Cancer Immunology, Department of Biomedicine, University Hospital Basel, Basel, Switzerland.

Division of Molecular Oncology and Immunology, Oncode Institute, The Netherlands Cancer Institute, Amsterdam, The Netherlands.

出版信息

Nat Med. 2018 Jul;24(7):994-1004. doi: 10.1038/s41591-018-0057-z. Epub 2018 Jun 11.

Abstract

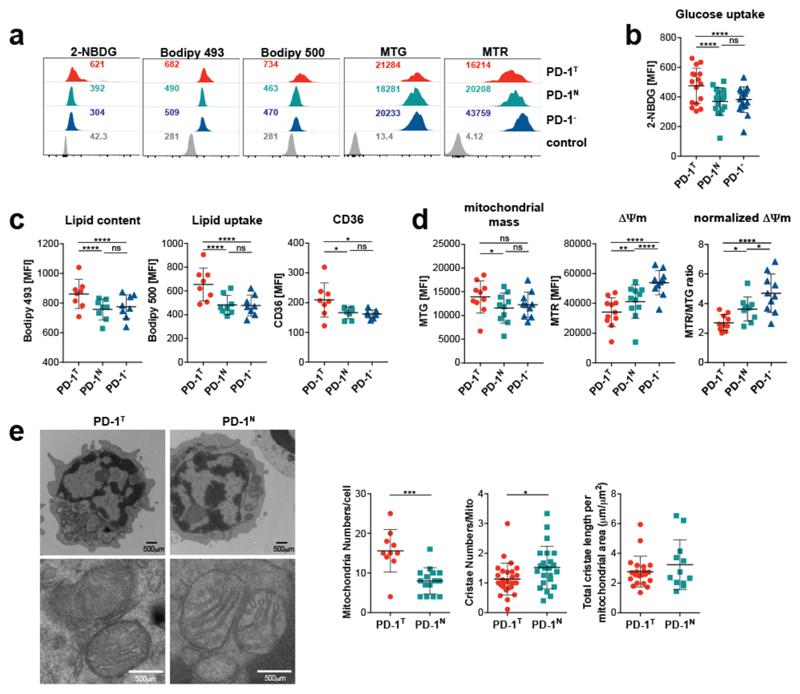
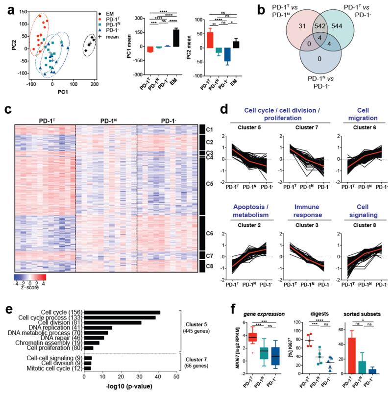
Evidence from mouse chronic viral infection models suggests that CD8 T cell subsets characterized by distinct expression levels of the receptor PD-1 diverge in their state of exhaustion and potential for reinvigoration by PD-1 blockade. However, it remains unknown whether T cells in human cancer adopt a similar spectrum of exhausted states based on PD-1 expression levels. We compared transcriptional, metabolic and functional signatures of intratumoral CD8 T lymphocyte populations with high (PD-1), intermediate (PD-1) and no PD-1 expression (PD-1) from non-small-cell lung cancer patients. PD-1 T cells showed a markedly different transcriptional and metabolic profile from PD-1 and PD-1 lymphocytes, as well as an intrinsically high capacity for tumor recognition. Furthermore, while PD-1 lymphocytes were impaired in classical effector cytokine production, they produced CXCL13, which mediates immune cell recruitment to tertiary lymphoid structures. Strikingly, the presence of PD-1 cells was strongly predictive for both response and survival in a small cohort of non-small-cell lung cancer patients treated with PD-1 blockade. The characterization of a distinct state of tumor-reactive, PD-1-bright lymphocytes in human cancer, which only partially resembles that seen in chronic infection, provides potential avenues for therapeutic intervention.

摘要

来自小鼠慢性病毒感染模型的证据表明,具有不同 PD-1 受体表达水平的 CD8 T 细胞亚群在其衰竭状态和 PD-1 阻断再激活的潜力上存在差异。然而,目前尚不清楚人类癌症中的 T 细胞是否会根据 PD-1 表达水平采用类似的耗尽状态谱。我们比较了来自非小细胞肺癌患者的高(PD-1)、中(PD-1)和无 PD-1 表达(PD-1)的肿瘤内 CD8 T 淋巴细胞群的转录、代谢和功能特征。PD-1 T 细胞与 PD-1 和 PD-1 淋巴细胞表现出明显不同的转录和代谢特征,以及内在的高肿瘤识别能力。此外,虽然 PD-1 淋巴细胞在经典效应细胞因子产生方面受损,但它们产生了 CXCL13,后者介导免疫细胞募集到三级淋巴结构。引人注目的是,在一小部分接受 PD-1 阻断治疗的非小细胞肺癌患者中,PD-1 细胞的存在强烈预测了反应和生存。在人类癌症中,对肿瘤反应性、PD-1 明亮淋巴细胞的独特状态进行了表征,其仅部分类似于慢性感染中所见,为治疗干预提供了潜在途径。

https://cdn.ncbi.nlm.nih.gov/pmc/blobs/0d94/6110381/787a985ea7db/emss-77082-f001.jpg

文献AI研究员

20分钟写一篇综述,助力文献阅读效率提升50倍。

立即体验

用中文搜PubMed

大模型驱动的PubMed中文搜索引擎

马上搜索

文档翻译

学术文献翻译模型,支持多种主流文档格式。

立即体验