Suppr超能文献

Stanniocalcin 2 的表达与男性乳腺癌的良好预后相关。

Stanniocalcin 2 expression is associated with a favourable outcome in male breast cancer.

机构信息

Leeds Institute of Cancer and Pathology, University of Leeds, Leeds, UK.

Centre for Cancer Research and Cell Biology, Queen's University, Belfast, UK.

出版信息

J Pathol Clin Res. 2018 Oct;4(4):241-249. doi: 10.1002/cjp2.106. Epub 2018 Aug 23.

Abstract

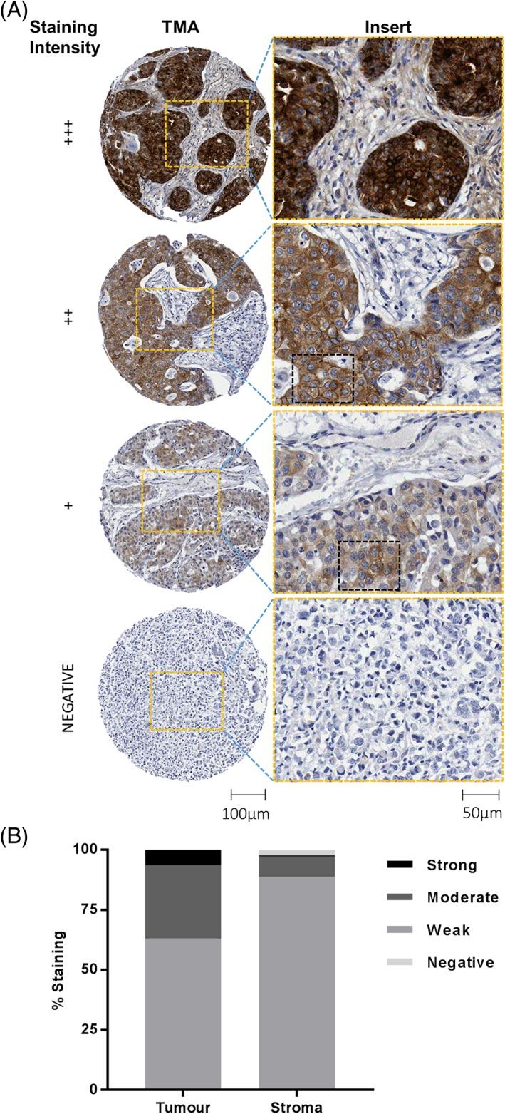
Breast cancer can occur in either gender; however, it is rare in men, accounting for <1% of diagnosed cases. In a previous transcriptomic screen of male breast cancer (MBC) and female breast cancer (FBC) occurrences, we observed that Stanniocalcin 2 (STC2) was overexpressed in the former. The aim of this study was to confirm the expression of STC2 in MBC and to investigate whether this had an impact on patient prognosis. Following an earlier transcriptomic screen, STC2 gene expression was confirmed by RT-qPCR in matched MBC and FBC samples as well as in tumour-associated fibroblasts derived from each gender. Subsequently, STC2 protein expression was examined immunohistochemically in tissue microarrays containing 477 MBC cases. Cumulative survival probabilities were calculated using the Kaplan-Meier method and multivariate survival analysis was performed using the Cox hazard model. Gender-specific STC2 gene expression showed a 5.6-fold upregulation of STC2 transcripts in MBC, also supported by data deposited in Oncomine™. STC2 protein expression was a positive prognostic factor for disease-free survival (DFS; Log-rank; total p = 0.035, HR = 0.49; tumour cells p = 0.017, HR = 0.44; stroma p = 0.030, HR = 0.48) but had no significant impact on overall survival (Log-rank; total p = 0.23, HR = 0.71; tumour cells p = 0.069, HR = 0.59; stroma p = 0.650, HR = 0.87). Importantly, multivariate analysis adjusted for patient age at diagnosis, node staging, tumour size, ER, and PR status revealed that total STC2 expression as well as expression in tumour cells was an independent prognostic factor for DFS (Cox regression; p = 0.018, HR = 0.983; p = 0.015, HR = 0.984, respectively). In conclusion, STC2 expression is abundant in MBC where it is an independent prognostic factor for DFS.

摘要

乳腺癌可发生于任何性别;然而,男性中较为罕见,占所有确诊病例的<1%。在先前对男性乳腺癌(MBC)和女性乳腺癌(FBC)发生的转录组筛选中,我们观察到 STC2 在前者中过度表达。本研究旨在确认 STC2 在 MBC 中的表达,并研究其是否对患者预后有影响。在先前的转录组筛选之后,通过 RT-qPCR 确认了 MBC 和 FBC 样本以及来自每个性别的肿瘤相关成纤维细胞中 STC2 基因的表达。随后,使用包含 477 例 MBC 病例的组织微阵列对 STC2 蛋白表达进行免疫组织化学检查。使用 Kaplan-Meier 方法计算累积生存概率,并使用 Cox 风险模型进行多变量生存分析。性别特异性 STC2 基因表达显示 MBC 中 STC2 转录物上调了 5.6 倍,这也得到了 Oncomine™ 数据库中数据的支持。STC2 蛋白表达是无病生存期(DFS;Log-rank;总 p = 0.035,HR = 0.49;肿瘤细胞 p = 0.017,HR = 0.44;基质 p = 0.030,HR = 0.48)的阳性预后因素,但对总生存期(Log-rank;总 p = 0.23,HR = 0.71;肿瘤细胞 p = 0.069,HR = 0.59;基质 p = 0.650,HR = 0.87)无显著影响。重要的是,多变量分析调整了患者诊断时的年龄、淋巴结分期、肿瘤大小、ER 和 PR 状态后,显示总 STC2 表达以及肿瘤细胞中的表达是 DFS 的独立预后因素(Cox 回归;p = 0.018,HR = 0.983;p = 0.015,HR = 0.984)。总之,STC2 表达在 MBC 中丰富,是 DFS 的独立预后因素。

https://cdn.ncbi.nlm.nih.gov/pmc/blobs/c439/6174618/7cfa8fefc74d/CJP2-4-241-g003.jpg

文献AI研究员

20分钟写一篇综述,助力文献阅读效率提升50倍。

立即体验

用中文搜PubMed

大模型驱动的PubMed中文搜索引擎

马上搜索

文档翻译

学术文献翻译模型,支持多种主流文档格式。

立即体验