Suppr超能文献

右美托咪定可预防小鼠创伤性脑损伤诱导的急性肺损伤。

Dexmedetomidine Protects Against Traumatic Brain Injury-Induced Acute Lung Injury in Mice.

机构信息

Faculty of Anesthesiology, Changhai Hospital, Naval Medical University, Shanghai, China (mainland).

Jiangsu Province Key Laboratory of Anesthesiology, Xuzhou Medical University, Xuzhou, Jiangsu, China (mainland).

出版信息

Med Sci Monit. 2018 Jul 17;24:4961-4967. doi: 10.12659/MSM.908133.

Abstract

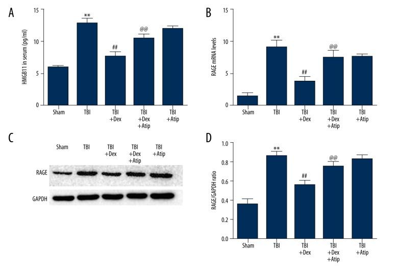
BACKGROUND Traumatic brain injury (TBI) leads to acute lung injury (ALI), in which the inflammatory response plays an important role in its pathophysiology. Recent studies suggest that dexmedetomidine (Dex) plays a protective role in acute inflammatory diseases. However, whether Dex has a protective effect on TBI-induced ALI is not clear. The aim of this study was to investigate the effect of Dex on TBI-induced ALI in mice. MATERIAL AND METHODS Mice were randomly divided into 5 groups: 1) sham group; 2) TBI group; 3) TBI+Dex group; 4) TBI+atipamezole (Atip) group; and 5) TBI+Dex+Atip group. Dex (50 μg/kg) was intraperitoneal injected immediately after TBI. The α2 adrenergic antagonist Atip (250 μg/kg) was intraperitoneal injected 15 minutes prior to Dex treatment. Then 24 hours later, the protein concentration in the bronchoalveolar lavage fluid (BALF), lung wet to dry weight ratio, hematoxylin and eosin (H&E) staining of lungs, the level of high-mobility group box protein 1(HMGB1) in serum, and the receptor for advanced glycation end products (RAGE) expression in lung were detected. RESULTS Dex ameliorated the score of lung histological examination, as well as the severity of pulmonary edema and permeability. Moreover, Dex was observed to significantly suppress the expression of HMGBI and RAGE. However, the protective effects of Dex were partially reversed by the administration of Atip. CONCLUSIONS Dex may protect against TBI-induced ALI via the HMGB1-RAGE signal pathway, and this protective effect is partly dependent on its α2 adrenoceptor agonist action.

摘要

背景

创伤性脑损伤(TBI)可导致急性肺损伤(ALI),其中炎症反应在其病理生理学中起着重要作用。最近的研究表明,右美托咪定(Dex)在急性炎症性疾病中具有保护作用。然而,Dex 是否对 TBI 诱导的 ALI 具有保护作用尚不清楚。本研究旨在探讨 Dex 对 TBI 诱导的小鼠 ALI 的影响。

材料和方法

将小鼠随机分为 5 组:1)假手术组;2)TBI 组;3)TBI+Dex 组;4)TBI+Atip 组;5)TBI+Dex+Atip 组。TBI 后立即腹腔注射 Dex(50μg/kg)。Dex 治疗前 15 分钟腹腔注射α2 肾上腺素能拮抗剂 Atip(250μg/kg)。24 小时后,检测支气管肺泡灌洗液(BALF)中的蛋白浓度、肺湿重/干重比、肺组织苏木精和伊红(H&E)染色、血清中高迁移率族蛋白 1(HMGB1)水平以及肺组织中晚期糖基化终产物受体(RAGE)表达。

结果

Dex 改善了肺组织学检查评分以及肺水肿和通透性的严重程度。此外,Dex 显著抑制了 HMGB1 和 RAGE 的表达。然而,Atip 的给药部分逆转了 Dex 的保护作用。

结论

Dex 可能通过 HMGB1-RAGE 信号通路对 TBI 诱导的 ALI 起保护作用,这种保护作用部分依赖于其α2 肾上腺素能受体激动剂作用。

https://cdn.ncbi.nlm.nih.gov/pmc/blobs/2d6a/6067036/5e1b99a6399c/medscimonit-24-4961-g001.jpg

文献AI研究员

20分钟写一篇综述,助力文献阅读效率提升50倍。

立即体验

用中文搜PubMed

大模型驱动的PubMed中文搜索引擎

马上搜索

文档翻译

学术文献翻译模型,支持多种主流文档格式。

立即体验