Suppr超能文献

外泌体 PD-L1 有助于免疫抑制,并与抗 PD-1 反应相关。

Exosomal PD-L1 contributes to immunosuppression and is associated with anti-PD-1 response.

机构信息

Department of Biology, School of Arts & Sciences, University of Pennsylvania, Philadelphia, PA, USA.

Department of Medicine, Perelman School of Medicine, University of Pennsylvania, Philadelphia, PA, USA.

出版信息

Nature. 2018 Aug;560(7718):382-386. doi: 10.1038/s41586-018-0392-8. Epub 2018 Aug 8.

Abstract

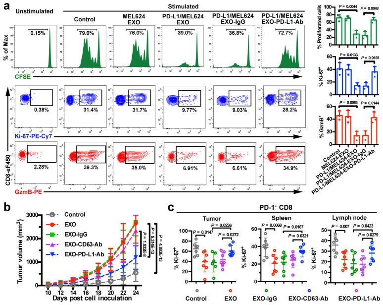
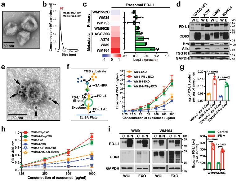
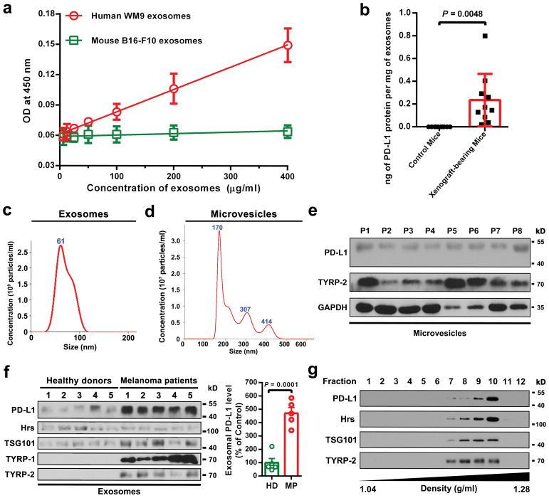
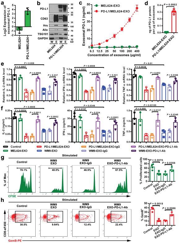
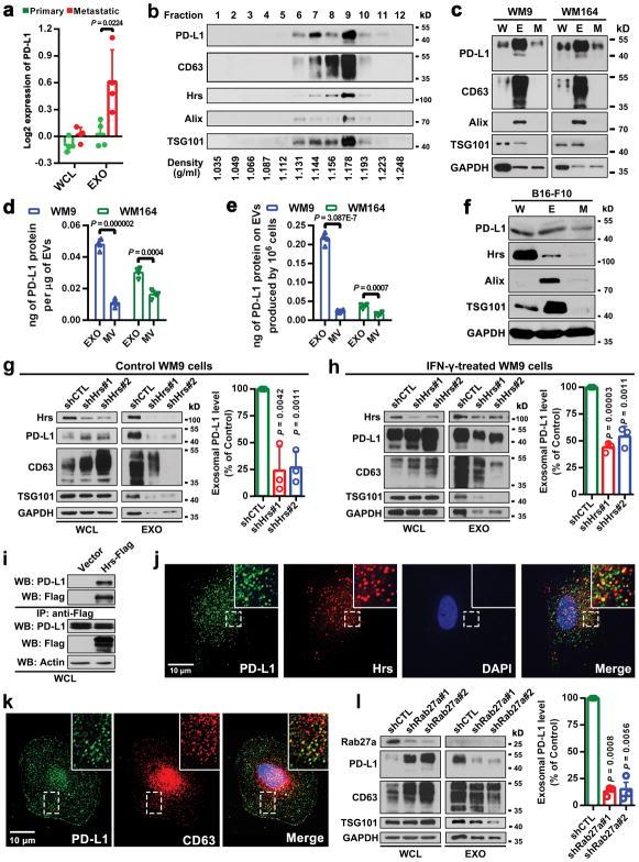
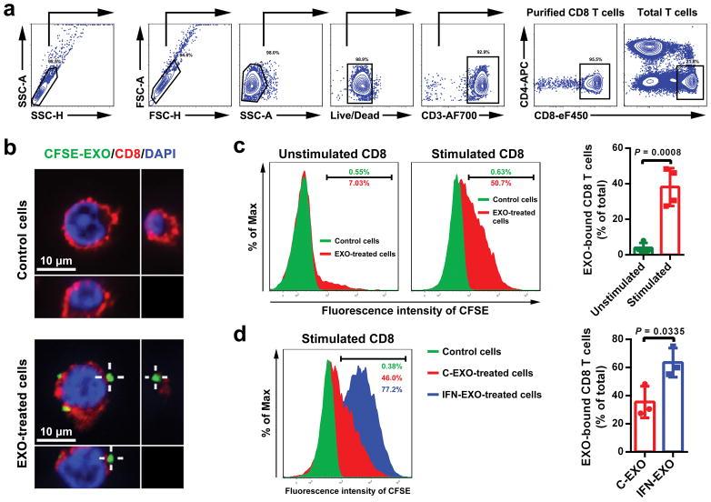
Tumour cells evade immune surveillance by upregulating the surface expression of programmed death-ligand 1 (PD-L1), which interacts with programmed death-1 (PD-1) receptor on T cells to elicit the immune checkpoint response. Anti-PD-1 antibodies have shown remarkable promise in treating tumours, including metastatic melanoma. However, the patient response rate is low. A better understanding of PD-L1-mediated immune evasion is needed to predict patient response and improve treatment efficacy. Here we report that metastatic melanomas release extracellular vesicles, mostly in the form of exosomes, that carry PD-L1 on their surface. Stimulation with interferon-γ (IFN-γ) increases the amount of PD-L1 on these vesicles, which suppresses the function of CD8 T cells and facilitates tumour growth. In patients with metastatic melanoma, the level of circulating exosomal PD-L1 positively correlates with that of IFN-γ, and varies during the course of anti-PD-1 therapy. The magnitudes of the increase in circulating exosomal PD-L1 during early stages of treatment, as an indicator of the adaptive response of the tumour cells to T cell reinvigoration, stratifies clinical responders from non-responders. Our study unveils a mechanism by which tumour cells systemically suppress the immune system, and provides a rationale for the application of exosomal PD-L1 as a predictor for anti-PD-1 therapy.

摘要

肿瘤细胞通过上调程序性死亡配体 1(PD-L1)的表面表达来逃避免疫监视,PD-L1 与 T 细胞上的程序性死亡受体 1(PD-1)相互作用,引发免疫检查点反应。抗 PD-1 抗体在治疗肿瘤方面显示出了显著的前景,包括转移性黑色素瘤。然而,患者的响应率很低。需要更好地了解 PD-L1 介导的免疫逃逸,以预测患者的反应并提高治疗效果。在这里,我们报告转移性黑色素瘤释放细胞外囊泡,主要以外泌体的形式存在,其表面携带 PD-L1。干扰素-γ(IFN-γ)的刺激会增加这些囊泡上 PD-L1 的数量,从而抑制 CD8 T 细胞的功能并促进肿瘤生长。在转移性黑色素瘤患者中,循环外泌体 PD-L1 的水平与 IFN-γ呈正相关,并在抗 PD-1 治疗过程中发生变化。治疗早期循环外泌体 PD-L1 增加的幅度,作为肿瘤细胞对 T 细胞再激活适应性反应的指标,可将临床应答者与无应答者区分开来。我们的研究揭示了肿瘤细胞系统性抑制免疫系统的一种机制,并为将外泌体 PD-L1 作为抗 PD-1 治疗的预测指标提供了依据。

https://cdn.ncbi.nlm.nih.gov/pmc/blobs/15f1/6095740/04c9f9b92f92/nihms975828f5.jpg

文献AI研究员

20分钟写一篇综述,助力文献阅读效率提升50倍。

立即体验

用中文搜PubMed

大模型驱动的PubMed中文搜索引擎

马上搜索

文档翻译

学术文献翻译模型,支持多种主流文档格式。

立即体验