Suppr超能文献

新型含芳基哌嗪部分的异恶唑衍生物的合成及细胞生物活性作为抗癌剂。

Synthesis and cellular bioactivities of novel isoxazole derivatives incorporating an arylpiperazine moiety as anticancer agents.

机构信息

a Department of Pharmaceutical Chemistry, Faculty of Pharmacy , Gazi University , Ankara , Turkey.

b Department of Bioinformatics , Middle East Technical University , Ankara , Turkey.

出版信息

J Enzyme Inhib Med Chem. 2018 Dec;33(1):1352-1361. doi: 10.1080/14756366.2018.1504041.

Abstract

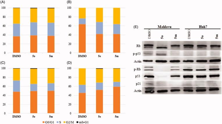
In our endeavour towards the development of effective anticancer therapeutics, a novel series of isoxazole-piperazine hybrids were synthesized and evaluated for their cytotoxic activities against human liver (Huh7 and Mahlavu) and breast (MCF-7) cancer cell lines. Within series, compounds 5l-o showed the most potent cytotoxicity on all cell lines with IC values in the range of 0.3-3.7 μM. To explore the mechanistic aspects fundamental to the observed activity, further biological studies with 5m and 5o in liver cancer cells were carried out. We have demonstrated that 5m and 5o induce oxidative stress in PTEN adequate Huh7 and PTEN deficient Mahlavu human liver cancer cells leading to apoptosis and cell cycle arrest at different phases. Further analysis of the proteins involved in apoptosis and cell cycle revealed that 5m and 5o caused an inhibition of cell survival pathway through Akt hyperphosphorylation and apoptosis and cell cycle arrest through p53 protein activation.

摘要

在开发有效抗癌疗法的努力中,我们合成了一系列新型异恶唑-哌嗪杂合体,并评估了它们对人肝癌(Huh7 和 Mahlavu)和乳腺癌(MCF-7)癌细胞系的细胞毒性。在该系列中,化合物 5l-o 对所有细胞系表现出最强的细胞毒性,IC 值范围为 0.3-3.7 μM。为了探索与观察到的活性相关的机制方面,我们在肝癌细胞中进一步进行了 5m 和 5o 的生物学研究。我们已经证明,5m 和 5o 在 PTEN 充分的 Huh7 和 PTEN 缺乏的 Mahlavu 人肝癌细胞中诱导氧化应激,导致细胞凋亡和细胞周期阻滞在不同阶段。对参与细胞凋亡和细胞周期的蛋白质的进一步分析表明,5m 和 5o 通过 Akt 过度磷酸化抑制细胞存活途径,并通过 p53 蛋白激活导致细胞凋亡和细胞周期阻滞。

https://cdn.ncbi.nlm.nih.gov/pmc/blobs/c6a1/6161610/a75decfb4ad0/IENZ_A_1504041_SCH0001_B.jpg

文献AI研究员

20分钟写一篇综述,助力文献阅读效率提升50倍。

立即体验

用中文搜PubMed

大模型驱动的PubMed中文搜索引擎

马上搜索

文档翻译

学术文献翻译模型,支持多种主流文档格式。

立即体验