Suppr超能文献

CPEB4通过ZEB1介导的上皮-间质转化促进胃癌细胞的生长和转移。

CPEB4 promotes growth and metastasis of gastric cancer cells via ZEB1-mediated epithelial- mesenchymal transition.

作者信息

Cao Gan, Chen Dehu, Liu Guiyuan, Pan Yan, Liu Qinghong

机构信息

Department of General Surgery, Taizhou People's Hospital, The Fifth Affiliated Hospital of Nantong University, Taizhou 225300, People's Republic of China,

出版信息

Onco Targets Ther. 2018 Sep 21;11:6153-6165. doi: 10.2147/OTT.S175428. eCollection 2018.

Abstract

BACKGROUND

Cytoplasmic polyadenylation element-binding protein 4 (CPEB4) has previously been reported to be associated with biological malignancy in various cancers. However, its function in tumor growth and metastasis in gastric cancer (GC) remains obscure. Here, we explored the functional and molecular mechanisms by which CPEB4 influences GC.

MATERIALS AND METHODS

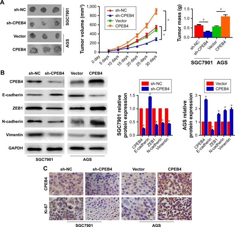
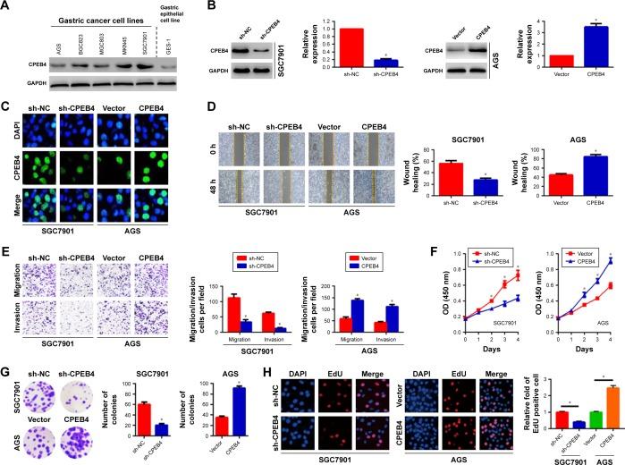
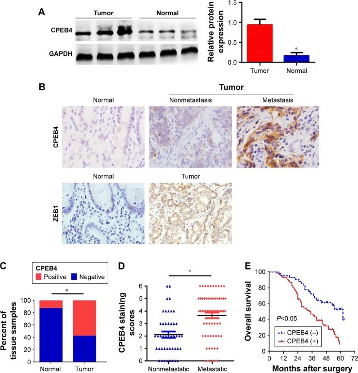
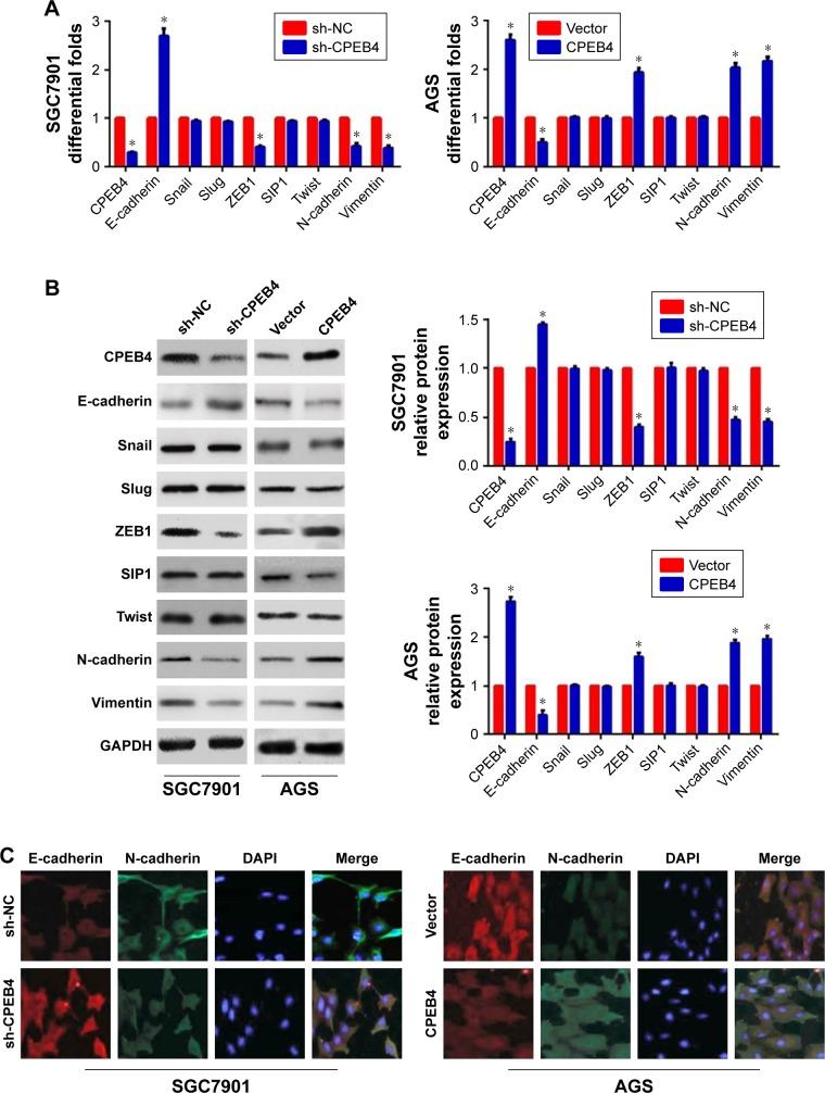
The expression of CPEB4 was assessed using Western blot and immunohistochemistry in GC specimens. The roles of CPEB4 in GC cell proliferation, migration, and invasion were investigated by cell-counting kit-8 (CCK-8), colony formation, and EdU assay; wound-healing assay; and transwell assay, respectively. Quantitative real-time PCR (qRT-PCR), Western blot, and immunofluorescence staining were performed to detect the expressions of CPEB4 and epithelial-mesenchymal transition (EMT)-related markers. The function of CPEB4 on GC cell growth and metastasis was also determined in vivo through establishing subcutaneous xenograft tumor and lung metastatic mice model.

RESULTS

The results revealed that the expression of CPEB4 was increased in GC tissues compared with matched normal tissues. High expression level of CPEB4 was significantly associated with clinical metastasis and unfavorable prognosis in patients with GC. Furthermore, CPEB4 silencing remarkably inhibited GC cells' proliferation, invasion, and metastasis in vitro and in vivo. Conversely, CPEB4 overexpression achieved the opposite effects. Mechanically, we proved that ZEB1-mediated EMT might be involved in CPEB4-facilitated GC cells' proliferation, invasion, and metastasis.

CONCLUSION

Our findings implied that CPEB4 expression predicted a worse prognosis in patients with GC. Besides, CPEB4 contributed to GC cells' proliferation, migration, and invasion via ZEB1-mediated EMT.

摘要

背景

先前有报道称细胞质聚腺苷酸化元件结合蛋白4(CPEB4)与多种癌症的生物学恶性程度相关。然而,其在胃癌(GC)肿瘤生长和转移中的作用仍不清楚。在此,我们探讨了CPEB4影响GC的功能和分子机制。

材料与方法

采用蛋白质免疫印迹法和免疫组织化学法评估GC标本中CPEB4的表达。分别通过细胞计数试剂盒-8(CCK-8)、集落形成和EdU检测法;伤口愈合检测法;以及Transwell检测法,研究CPEB4在GC细胞增殖、迁移和侵袭中的作用。进行定量实时聚合酶链反应(qRT-PCR)、蛋白质免疫印迹法和免疫荧光染色,以检测CPEB4和上皮-间质转化(EMT)相关标志物的表达。还通过建立皮下异种移植肿瘤和肺转移小鼠模型,在体内确定CPEB4对GC细胞生长和转移的作用。

结果

结果显示,与配对的正常组织相比,GC组织中CPEB4的表达增加。CPEB4高表达水平与GC患者的临床转移和不良预后显著相关。此外,CPEB4沉默在体外和体内均显著抑制GC细胞的增殖、侵袭和转移。相反,CPEB4过表达则产生相反的效果。从机制上讲,我们证明ZEB1介导的EMT可能参与了CPEB4促进的GC细胞增殖、侵袭和转移。

结论

我们的研究结果表明,CPEB4表达预示着GC患者预后较差。此外,CPEB4通过ZEB1介导的EMT促进GC细胞的增殖、迁移和侵袭。

https://cdn.ncbi.nlm.nih.gov/pmc/blobs/829e/6160272/536e997c6695/ott-11-6153Fig1.jpg

文献AI研究员

20分钟写一篇综述,助力文献阅读效率提升50倍。

立即体验

用中文搜PubMed

大模型驱动的PubMed中文搜索引擎

马上搜索

文档翻译

学术文献翻译模型,支持多种主流文档格式。

立即体验