Suppr超能文献

SWI/SNF 催化亚基的开关驱动 ARID1A 突变细胞对 EZH2 抑制剂的耐药性。

SWI/SNF catalytic subunits' switch drives resistance to EZH2 inhibitors in ARID1A-mutated cells.

机构信息

Gene Expression and Regulation Program, The Wistar Institute, Philadelphia, PA, 19104, USA.

Kazan Federal University, Kazan, 420008, Russia.

出版信息

Nat Commun. 2018 Oct 8;9(1):4116. doi: 10.1038/s41467-018-06656-6.

Abstract

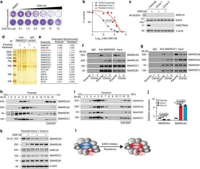
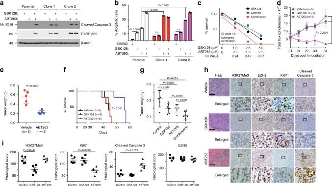
Inactivation of the subunits of SWI/SNF complex such as ARID1A is synthetically lethal with inhibition of EZH2 activity. However, mechanisms of de novo resistance to EZH2 inhibitors in cancers with inactivating SWI/SNF mutations are unknown. Here we show that the switch of the SWI/SNF catalytic subunits from SMARCA4 to SMARCA2 drives resistance to EZH2 inhibitors in ARID1A-mutated cells. SMARCA4 loss upregulates anti-apoptotic genes in the EZH2 inhibitor-resistant cells. EZH2 inhibitor-resistant ARID1A-mutated cells are hypersensitive to BCL2 inhibitors such as ABT263. ABT263 is sufficient to overcome resistance to an EZH2 inhibitor. In addition, ABT263 synergizes with an EZH2 inhibitor in vivo in ARID1A-inactivated ovarian tumor mouse models. Together, these data establish that the switch of the SWI/SNF catalytic subunits from SMARCA4 to SMARCA2 underlies the acquired resistance to EZH2 inhibitors. They suggest BCL2 inhibition alone or in combination with EZH2 inhibition represents urgently needed therapeutic strategy for ARID1A-mutated cancers.

摘要

SWI/SNF 复合物亚基的失活,如 ARID1A,与 EZH2 活性抑制联合具有合成致死性。然而,具有失活 SWI/SNF 突变的癌症对 EZH2 抑制剂产生新的耐药性的机制尚不清楚。在这里,我们表明,SWI/SNF 催化亚基从 SMARCA4 切换到 SMARCA2 会导致 ARID1A 突变细胞对 EZH2 抑制剂产生耐药性。SMARCA4 的缺失会在上调 EZH2 抑制剂耐药细胞中的抗凋亡基因。EZH2 抑制剂耐药的 ARID1A 突变细胞对 BCL2 抑制剂(如 ABT263)更为敏感。ABT263 足以克服对 EZH2 抑制剂的耐药性。此外,ABT263 在 ARID1A 失活的卵巢肿瘤小鼠模型中与 EZH2 抑制剂在体内具有协同作用。总之,这些数据表明,SWI/SNF 催化亚基从 SMARCA4 切换到 SMARCA2 是对 EZH2 抑制剂获得性耐药的基础。它们表明,单独使用 BCL2 抑制剂或与 EZH2 抑制剂联合使用代表了 ARID1A 突变癌症迫切需要的治疗策略。

https://cdn.ncbi.nlm.nih.gov/pmc/blobs/2575/6175882/102c6b2bbf17/41467_2018_6656_Fig1_HTML.jpg

文献AI研究员

20分钟写一篇综述,助力文献阅读效率提升50倍。

立即体验

用中文搜PubMed

大模型驱动的PubMed中文搜索引擎

马上搜索

文档翻译

学术文献翻译模型,支持多种主流文档格式。

立即体验