Suppr超能文献

功能化氧化石墨烯载体的制备及特性研究及其在 siRNA 递送中的应用。

Preparation and Characterization of Functionalized Graphene Oxide Carrier for siRNA Delivery.

机构信息

Department of Pharmaceutics, School of Pharmaceutical Sciences, Capital Medical University, Beijing 100069, China.

Engineering Research Center of Endogenous Prophylactic of Ministry of Education of China, Beijing 100069, China.

出版信息

Int J Mol Sci. 2018 Oct 17;19(10):3202. doi: 10.3390/ijms19103202.

Abstract

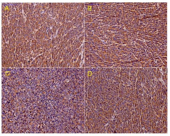
A successful siRNA delivery system is dependent on the development of a good siRNA carrier. Graphene oxide (GO) has gained great attention as a promising nanocarrier in recent years. It has been reported that GO could be used to deliver a series of drugs including synthetic compounds, proteins, antibodies, and genes. Our previous research indicated that functionalized GO could deliver siRNA into tumor cells and induce a gene silencing effect, to follow up the research, in this research, GO-R8/cRGDfV(GRcR) was designed and prepared for delivery as a novel carrier. The Zeta potential and particle size of the new designed GRcR carrier was measured at (29.46 ± 5.32) mV and (135.7 ± 3.3) nm respectively, and after transfection, the VEGF mRNA level and protein expression level were down-regulated by 48.22% ( < 0.01) and 38.3% ( < 0.01) in HeLa cells, respectively. The fluorescent images of the treated BALB/c nude mice revealed that GRcR/ could conduct targeted delivery of into tumor tissues and showed a gene silencing effect as well as a tumor growth inhibitory effect ( < 0.01) in vivo. Further studies showed that GRcR/ could effectively inhibit angiogenesis by suppressing VEGF expression. Histology and immunohistochemistry studies demonstrated that GRcR/ could inhibit tumor tissue growth effectively and have anti-angiogenesis activity, which was the result of VEGF protein downregulation. Both in vitro and in vivo results demonstrated that GRcR/ could be used as an ideal nonviral tumor-targeting vector for delivery in gene therapy.

摘要

成功的 siRNA 递药系统依赖于良好的 siRNA 载体的开发。近年来,氧化石墨烯(GO)作为一种很有前途的纳米载体引起了广泛关注。据报道,GO 可用于递送一系列药物,包括合成化合物、蛋白质、抗体和基因。我们之前的研究表明,功能化的 GO 可以将 siRNA 递送到肿瘤细胞中,并诱导基因沉默效应,为了跟进研究,在这项研究中,GO-R8/cRGDfV(GRcR)被设计并制备用于递送,作为一种新型载体。新设计的 GRcR 载体的 Zeta 电位和粒径分别为(29.46±5.32)mV 和(135.7±3.3)nm,转染后,HeLa 细胞中 VEGF mRNA 水平和蛋白表达水平分别下调了 48.22%(<0.01)和 38.3%(<0.01)。经处理的 BALB/c 裸鼠荧光图像显示,GRcR/可以将 靶向递送到肿瘤组织中,并在体内显示出基因沉默效应和肿瘤生长抑制效应(<0.01)。进一步的研究表明,GRcR/可以通过抑制 VEGF 表达有效抑制血管生成。组织学和免疫组织化学研究表明,GRcR/可以有效抑制肿瘤组织的生长并具有抗血管生成活性,这是由于 VEGF 蛋白下调所致。体内外研究结果均表明,GRcR/可用作理想的非病毒肿瘤靶向载体,用于基因治疗中的 siRNA 递送。

https://cdn.ncbi.nlm.nih.gov/pmc/blobs/858a/6214041/a1c384000cbf/ijms-19-03202-sch001.jpg

文献AI研究员

20分钟写一篇综述,助力文献阅读效率提升50倍。

立即体验

用中文搜PubMed

大模型驱动的PubMed中文搜索引擎

马上搜索

文档翻译

学术文献翻译模型,支持多种主流文档格式。

立即体验