Suppr超能文献

巨噬细胞盐皮质激素受体是心肌梗死后愈合的多效调节剂。

Macrophage Mineralocorticoid Receptor Is a Pleiotropic Modulator of Myocardial Infarct Healing.

机构信息

From the Department of Cardiology and Angiology, Hannover Medical School, Germany (D.F., S.T., D.H.-K., P.G., J.B.).

Core Unit SysMed, University of Würzburg, Germany (C.-J.S.).

出版信息

Hypertension. 2019 Jan;73(1):102-111. doi: 10.1161/HYPERTENSIONAHA.118.12162.

Abstract

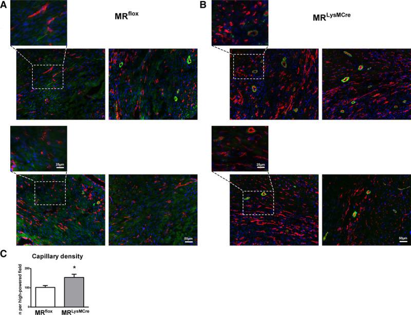
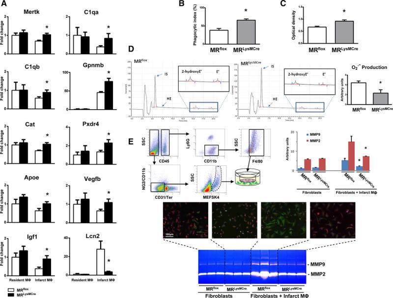
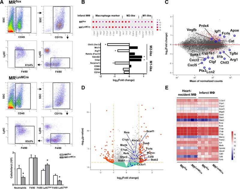
Myocardial infarction (MI) is a major cause of death worldwide. Here, we identify the macrophage MR (mineralocorticoid receptor) as a crucial pathogenic player in cardiac wound repair after MI. Seven days after left coronary artery ligation, mice with myeloid cell-restricted MR deficiency compared with WT (wild type) controls displayed improved cardiac function and remodeling associated with enhanced infarct neovascularization and scar maturation. Gene expression profiling of heart-resident and infarct macrophages revealed that MR deletion drives macrophage differentiation in the ischemic microenvironment toward a phenotype outside the M1/M2 paradigm, with regulation of multiple interrelated factors controlling wound healing and tissue repair. Mechanistic and functional data suggest that inactivation of the macrophage MR promotes myocardial infarct healing through enhanced efferocytosis of neutrophils, the suppression of free radical formation, and the modulation of fibroblast activation state. Crucially, targeted delivery of MR antagonists to macrophages, with a single administration of RU28318 or eplerenone-containing liposomes at the onset of MI, improved the healing response and protected against cardiac remodeling and functional deterioration, offering an effective and unique therapeutic strategy for cardiac repair.

摘要

心肌梗死(MI)是全球范围内主要的死亡原因。在这里,我们确定巨噬细胞 MR(盐皮质激素受体)是 MI 后心脏伤口修复中的关键致病因子。在左冠状动脉结扎后 7 天,与 WT(野生型)对照相比,髓系细胞特异性 MR 缺乏的小鼠表现出改善的心脏功能和重塑,与增强的梗死新生血管形成和疤痕成熟相关。对心脏驻留巨噬细胞和梗死巨噬细胞的基因表达谱分析表明,MR 缺失促使缺血微环境中的巨噬细胞分化为一种超出 M1/M2 范式的表型,调控多个相互关联的因素控制伤口愈合和组织修复。机制和功能数据表明,通过增强中性粒细胞的胞葬作用、抑制自由基形成和调节成纤维细胞激活状态,巨噬细胞 MR 的失活可促进心肌梗死愈合。至关重要的是,在 MI 发作时单次给予 MR 拮抗剂 RU28318 或含有 eplerenone 的脂质体靶向递送至巨噬细胞,可改善愈合反应并预防心脏重塑和功能恶化,为心脏修复提供了一种有效且独特的治疗策略。

https://cdn.ncbi.nlm.nih.gov/pmc/blobs/2807/6291261/2766349dde50/hyp-73-102-g001.jpg

文献AI研究员

20分钟写一篇综述,助力文献阅读效率提升50倍。

立即体验

用中文搜PubMed

大模型驱动的PubMed中文搜索引擎

马上搜索

文档翻译

学术文献翻译模型,支持多种主流文档格式。

立即体验