Suppr超能文献

抗人表皮生长因子受体2单链抗体片段包涵体的溶解性改善及复性

Improvement of solubility and refolding of an anti-human epidermal growth factor receptor 2 single-chain antibody fragment inclusion bodies.

作者信息

Salehinia Javad, Sadeghi Hamid Mir Mohammad, Abedi Daryoush, Akbari Vajihe

机构信息

Department of Pharmaceutical Biotechnology and Isfahan Pharmaceutical Research Center, School of Pharmacy and Pharmaceutical Sciences, Isfahan University of Medical Sciences, Isfahan, I.R. Iran.

Department of Drug & Food Control, Faculty of Pharmacy, Tehran University of Medical Sciences, Tehran, I.R. Iran.

出版信息

Res Pharm Sci. 2018 Dec;13(6):566-574. doi: 10.4103/1735-5362.245968.

Abstract

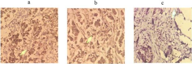
Single chain variable fragment antibodies (scFvs) have attracted many attentions due to their small size, faster bio-distribution and better penetration in to the target tissues, and ease of expression in . Although, scFv expression in usually leads to formation of inclusion bodies (IBs). The aim of this research was to improve solubilizing and refolding conditions for IBs of scFv version of pertuzumab (anti-human epidermal growth factor receptor 2 (HER2) antibody). After protein overexpression in BL21 (DE3), bacterial cells were lysed and IBs were extracted via repeated washing and centrifugation. The effect of different types, concentrations, pHs, and additive of denaturing agents on IBs solubility were evaluated. More than 40 refolding additives were screened and combinations of 10 of the best additives were check out using Plackett-Burman design to choose three refolding additives with the most positive effect on refolding of the scFv. Response surface methodology (RSM) was used to optimize the concentration of adopted additives. The most efficient buffer to solubilize IBs was a buffer containing 6 M urea with 6 mM beta mercaptoethanol, pH 11. The optimum concentration of three buffer additives for refolding of the scFv was 23 mM tricine, 0.55 mM arginine, and 14.3 mM imidazole. The bioactivity of the refolded scFv was confirmed by immunohistochemical staining of breast cancer tissue, a specific binding based method. The systematic optimization of refolding buffer developed in the present work will contribute to improve the refolding of other scFv fragments.

摘要

单链可变片段抗体(scFvs)因其体积小、生物分布快、对靶组织的穿透性好以及易于表达而备受关注。尽管如此,scFv在[具体表达系统]中的表达通常会导致包涵体(IBs)的形成。本研究的目的是改善帕妥珠单抗(抗人表皮生长因子受体2(HER2)抗体)的scFv版本包涵体的溶解和复性条件。在[具体表达菌株]BL21(DE3)中进行蛋白质过量表达后,裂解细菌细胞,并通过反复洗涤和离心提取包涵体。评估了不同类型、浓度、pH值和变性剂添加剂对包涵体溶解度的影响。筛选了40多种复性添加剂,并使用Plackett-Burman设计检查了10种最佳添加剂的组合,以选择对scFv复性具有最积极影响的三种复性添加剂。采用响应面方法(RSM)优化所采用添加剂的浓度。溶解包涵体最有效的缓冲液是含有6 M尿素和6 mMβ-巯基乙醇、pH值为11的缓冲液。用于scFv复性的三种缓冲添加剂的最佳浓度分别为23 mM三(羟甲基)甲基甘氨酸、0.55 mM精氨酸和14.3 mM咪唑。通过乳腺癌组织的免疫组织化学染色(一种基于特异性结合的方法)证实了复性scFv的生物活性。本研究中开发的复性缓冲液的系统优化将有助于改善其他scFv片段的复性。

https://cdn.ncbi.nlm.nih.gov/pmc/blobs/9bf6/6288993/0202cfad7287/RPS-13-566-g003.jpg

文献AI研究员

20分钟写一篇综述,助力文献阅读效率提升50倍。

立即体验

用中文搜PubMed

大模型驱动的PubMed中文搜索引擎

马上搜索

文档翻译

学术文献翻译模型,支持多种主流文档格式。

立即体验