Suppr超能文献

紫杉醇干预对肺动脉高压大鼠肺血管重塑的影响。

Effects of paclitaxel intervention on pulmonary vascular remodeling in rats with pulmonary hypertension.

作者信息

Zhao Jian, Yang Meifang, Wu Xindan, Yang Zhangya, Jia Peng, Sun Yuqin, Li Gang, Xie Liang, Liu Bin, Liu Hanmin

机构信息

Department of Pediatric Cardiology, The Affiliated Hospital of Southwest Medical University, Luzhou, Sichuan 646000, P.R. China.

School of Nursing, Southwest Medical University, Luzhou, Sichuan 646000, P.R. China.

出版信息

Exp Ther Med. 2019 Feb;17(2):1163-1170. doi: 10.3892/etm.2018.7045. Epub 2018 Dec 5.

Abstract

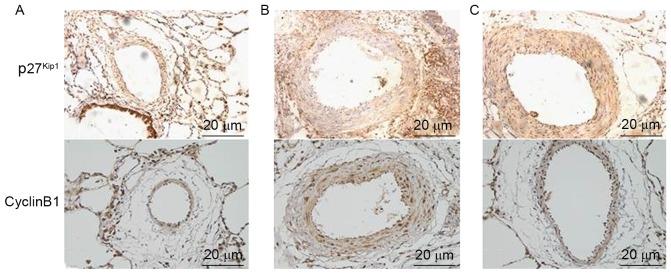
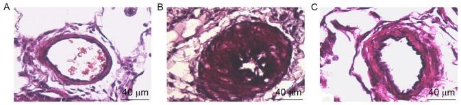
The aim of the present study was to investigate the effects of paclitaxel (PTX), at a non-cytotoxic concentration, on pulmonary vascular remodeling (PVR) in rats with pulmonary hypertension (PAH), and to explore the mechanisms underlying the PTX-mediated reversal of PVR in PAH. A total of 36 rats were divided into control group (n=12), model group (n=12) receiving a subcutaneous injection of monocrotaline (60 mg/kg) in the back on day 7 following left pneumonectomy and PTX group (n=12) with PTX (2 mg/kg) injection via the caudal vein 3 weeks following establishing the model. The degree of PVR among all groups, as well as the expression levels of Ki67, p27 and cyclin B1, were compared. The mean pulmonary artery pressure, right ventricular hypertrophy index [right ventricle/(left ventricle + septum) ratio] and the thickness of the pulmonary arterial tunica media in the model group were 58.34±2.01 mmHg, 0.64±0.046 and 65.3±3.3%, respectively, which were significantly higher when compared with 23.30±1.14 mmHg, 0.32±0.028 and 16.2±1.3% in the control group, respectively (P<0.01). The mean pulmonary artery pressure, right ventricular hypertrophy index and thickness of the pulmonary arterial tunica media in the PTX group were 42.35±1.53 mmHg, 0.44±0.029 and 40.5±2.6%, respectively, which were significantly lower when compared with the model group (P<0.01). Compared with the control group, the expression levels of Ki67 and cyclin B1 in the model group were significantly increased (P<0.01), while p27 expression was significantly reduced (P<0.01). Following PTX intervention, the expression levels of Ki67 and cyclin B1 were significantly reduced when compared with the model group (P<0.01), while p27 expression was significantly increased (P<0.01). The results of the present study suggest that PTX, administered at a non-cytotoxic concentration, may reduce PAH in rats, and prevent the effects of PVR in PAH. These effects of PTX may be associated with increased expression of p27 and decreased expression of cyclin B1.

摘要

本研究旨在探讨非细胞毒性浓度的紫杉醇(PTX)对肺动脉高压(PAH)大鼠肺血管重塑(PVR)的影响,并探索PTX介导PAH中PVR逆转的潜在机制。将36只大鼠分为对照组(n = 12)、模型组(n = 12)和PTX组(n = 12)。模型组于左肺切除术后第7天在背部皮下注射野百合碱(60 mg/kg);PTX组在模型建立3周后经尾静脉注射PTX(2 mg/kg)。比较各组的PVR程度以及Ki67、p27和细胞周期蛋白B1的表达水平。模型组的平均肺动脉压、右心室肥厚指数[右心室/(左心室 + 室间隔)比值]和肺动脉中膜厚度分别为58.34±2.01 mmHg、0.64±0.046和65.3±3.3%,与对照组的23.30±1.14 mmHg、0.32±0.028和16.2±1.3%相比,均显著升高(P<0.01)。PTX组的平均肺动脉压、右心室肥厚指数和肺动脉中膜厚度分别为42.35±1.53 mmHg、0.44±0.029和40.5±2.6%,与模型组相比显著降低(P<0.01)。与对照组相比,模型组中Ki67和细胞周期蛋白B1的表达水平显著升高(P<0.01),而p27表达显著降低(P<0.01)。PTX干预后,与模型组相比,Ki67和细胞周期蛋白B1的表达水平显著降低(P<0.01),而p27表达显著升高(P<0.01)。本研究结果表明,非细胞毒性浓度的PTX可能降低大鼠PAH,并预防PAH中PVR的影响。PTX的这些作用可能与p27表达增加和细胞周期蛋白B1表达降低有关。

https://cdn.ncbi.nlm.nih.gov/pmc/blobs/3f6b/6327549/ba169f90994c/etm-17-02-1163-g00.jpg

文献AI研究员

20分钟写一篇综述,助力文献阅读效率提升50倍。

立即体验

用中文搜PubMed

大模型驱动的PubMed中文搜索引擎

马上搜索

文档翻译

学术文献翻译模型,支持多种主流文档格式。

立即体验