Suppr超能文献

切除的胰腺导管腺癌患者的基质纤维连接蛋白表达。

Stromal fibronectin expression in patients with resected pancreatic ductal adenocarcinoma.

机构信息

Department of Gastroenterology, The Second Affiliated Hospital and Yuying Children's Hospital of Wenzhou Medical University, 109 Xueyuan West Road, Wenzhou, 325000, China.

Department of Surgery, Clinical Sciences Lund, Lund University and Skåne University Hospital, Getingevägen 4, SE-221 85, Lund, Sweden.

出版信息

World J Surg Oncol. 2019 Feb 8;17(1):29. doi: 10.1186/s12957-019-1574-z.

Abstract

BACKGROUND

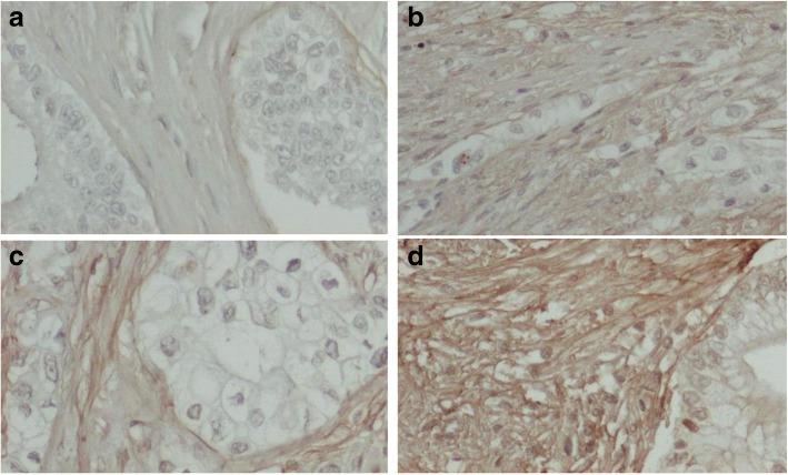
Pancreatic ductal adenocarcinoma (PDAC) is characterized by an extremely dense stroma, which has a fundamental role in tumor progression. Fibronectin (FN1) is the main constituent of the tumor stroma in pancreatic cancer. This study aimed to explore the association between FN1 and clinicopathological characteristics and disease survival.

METHODS

Formalin-fixed paraffin-embedded tissue samples from 138 patients with PDAC were constructed into a tissue microarray, followed by immunohistochemical analysis with a recombinant monoclonal FN1 antibody. Chi-square test or Fisher's exact test were used for comparison of FN1 expression and relevant clinicopathological parameters. Kaplan-Meier survival curves and Cox regression analyses were used to assess the association between FN1 and survival.

RESULTS

FN1 was detected in the stromal compartment in most cases (117/138, 84.8%). Compared to the low FN1 expression group, the high FN1 expression group had significantly larger tumor size (P = 0.002), more advanced T stage (P = 0.039) and N stage (P = 0.009), and also worse AJCC stage (P = 0.003). However, stromal FN1 expression was not associated with disease-free survival or overall survival.

CONCLUSIONS

This study suggests that high stromal FN1 expression is associated with aggressive tumor characteristics in patients with resected PDAC. However, no association between FN1 expression and survival was found.

摘要

背景

胰腺导管腺癌(PDAC)的特征是极其密集的基质,它在肿瘤进展中起着根本性的作用。纤连蛋白(FN1)是胰腺癌肿瘤基质的主要成分。本研究旨在探讨 FN1 与临床病理特征和疾病生存之间的关系。

方法

从 138 例 PDAC 患者的福尔马林固定石蜡包埋组织样本中构建组织微阵列,并用重组单克隆 FN1 抗体进行免疫组织化学分析。使用卡方检验或 Fisher 确切检验比较 FN1 表达与相关临床病理参数。Kaplan-Meier 生存曲线和 Cox 回归分析用于评估 FN1 与生存之间的关系。

结果

FN1 在大多数情况下(117/138,84.8%)在基质区室中检测到。与低 FN1 表达组相比,高 FN1 表达组的肿瘤体积明显更大(P = 0.002),T 分期更晚(P = 0.039),N 分期更晚(P = 0.009),AJCC 分期也更差(P = 0.003)。然而,基质 FN1 表达与无病生存或总生存无关。

结论

本研究表明,高基质 FN1 表达与接受切除术的 PDAC 患者侵袭性肿瘤特征相关。然而,未发现 FN1 表达与生存之间存在关联。

https://cdn.ncbi.nlm.nih.gov/pmc/blobs/76f5/6368702/54ca20a09dc5/12957_2019_1574_Fig1_HTML.jpg

文献AI研究员

20分钟写一篇综述,助力文献阅读效率提升50倍。

立即体验

用中文搜PubMed

大模型驱动的PubMed中文搜索引擎

马上搜索

文档翻译

学术文献翻译模型,支持多种主流文档格式。

立即体验