Suppr超能文献

膜蛋白胞外域的 N-连接糖基化调节传染性支气管炎病毒诱导的内质网应激反应、细胞凋亡和发病机制。

N-Linked glycosylation of the membrane protein ectodomain regulates infectious bronchitis virus-induced ER stress response, apoptosis and pathogenesis.

机构信息

South China Agricultural University, Guangdong Province Key Laboratory Microbial Signals & Disease Co, and Integrative Microbiology Research Centre, Guangzhou 510642, Guangdong, People's Republic of China.

Agricultural School, Yangtze University, 266 Jingmilu, Jingzhou City, Hubei Province 434025, People's Republic of China.

出版信息

Virology. 2019 May;531:48-56. doi: 10.1016/j.virol.2019.02.017. Epub 2019 Feb 26.

Abstract

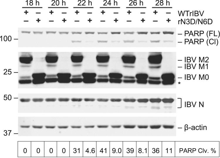
Coronavirus membrane (M) protein is the most abundant structural protein playing a critical role in virion assembly. Previous studies show that the N-terminal ectodomain of M protein is modified by glycosylation, but its precise functions are yet to be thoroughly investigated. In this study, we confirm that N-linked glycosylation occurs at two predicted sites in the M protein ectodomain of infectious bronchitis coronavirus (IBV). Dual mutations at the two sites (N3D/N6D) did not affect particle assembly, virus-like particle formation and viral replication in culture cells. However, activation of the ER stress response was significantly reduced in cells infected with rN3D/N6D, correlated with a lower level of apoptosis and reduced production of pro-inflammatory cytokines. Taken together, this study demonstrates that although not essential for replication, glycosylation in the IBV M protein ectodomain plays important roles in activating ER stress, apoptosis and proinflammatory response, and may contribute to the pathogenesis of IBV.

摘要

冠状病毒膜(M)蛋白是最丰富的结构蛋白,在病毒粒子组装中起着关键作用。先前的研究表明,M 蛋白的 N 端胞外结构域经过糖基化修饰,但它的确切功能仍有待深入研究。在这项研究中,我们证实传染性支气管炎冠状病毒(IBV)的 M 蛋白胞外结构域中的两个预测位点发生了 N 连接糖基化。在这两个位点(N3D/N6D)上的双重突变不影响粒子组装、病毒样颗粒形成和细胞培养中的病毒复制。然而,在感染 rN3D/N6D 的细胞中,内质网应激反应的激活显著降低,与较低水平的细胞凋亡和促炎细胞因子生成减少相关。综上所述,本研究表明,尽管在复制过程中不是必需的,但 IBV M 蛋白胞外结构域中的糖基化在激活内质网应激、细胞凋亡和促炎反应方面发挥着重要作用,并可能有助于 IBV 的发病机制。

https://cdn.ncbi.nlm.nih.gov/pmc/blobs/89f1/7112112/5566b26ef47c/gr1_lrg.jpg

文献AI研究员

20分钟写一篇综述,助力文献阅读效率提升50倍。

立即体验

用中文搜PubMed

大模型驱动的PubMed中文搜索引擎

马上搜索

文档翻译

学术文献翻译模型,支持多种主流文档格式。

立即体验