Suppr超能文献

减数分裂守门员 STRA8 通过抑制 Nr1d1 表达来抑制小鼠精子发生过程中的自噬。

Meiotic gatekeeper STRA8 suppresses autophagy by repressing Nr1d1 expression during spermatogenesis in mice.

机构信息

Vincent Center for Reproductive Biology, Massachusetts General Hospital, Harvard Medical School, Boston, MA, United States of America.

Department of Molecular and Integrative Physiology, University of Kansas Medical Center, Kansas City, KS, United States of America.

出版信息

PLoS Genet. 2019 May 6;15(5):e1008084. doi: 10.1371/journal.pgen.1008084. eCollection 2019 May.

Abstract

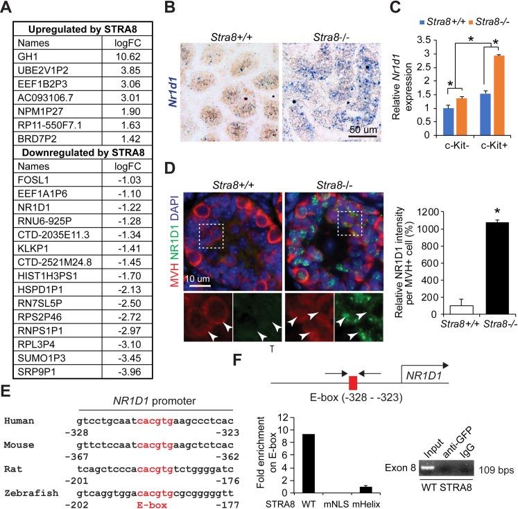
The transition from mitotic to meiotic cell cycles is essential for haploid gamete formation and fertility. Stimulated by retinoic acid gene 8 (Stra8) is an essential gatekeeper of meiotic initiation in vertebrates; yet, the molecular role of STRA8 remains principally unknown. Here we demonstrate that STRA8 functions as a suppressor of autophagy during spermatogenesis in mice. Stra8-deficient germ cells fail to enter meiosis and present aberrant upregulation of autophagy-lysosome genes, commensurate with autophagy activation. Biochemical assays show that ectopic expression of STRA8 alone is sufficient to inhibit both autophagy induction and maturation. Studies also revealed that, Nr1d1, a nuclear hormone receptor gene, is upregulated in Stra8-deficient testes and that STRA8 binds to the Nr1d1 promoter, indicating that Nr1d1 is a direct target of STRA8 transcriptional repression. In addition, it was found that NR1D1 binds to the promoter of Ulk1, a gene essential for autophagy initiation, and that Nr1d1 is required for the upregulated Ulk1 expression in Stra8-deficient testes. Furthermore, both genetic deletion of Nr1d1 and pharmacologic inhibition of NR1D1 by its synthetic antagonist SR8278 exhibit rescuing effects on the meiotic initiation defects observed in Stra8-deficient male germ cells. Together, the data suggest a novel link between STRA8-mediated autophagy suppression and meiotic initiation.

摘要

从有丝分裂到减数分裂细胞周期的转变对于形成单倍体配子和生育能力至关重要。维甲酸基因 8 (Stra8) 的刺激是脊椎动物减数分裂起始的一个重要的守门员;然而,STRA8 的分子作用仍然主要未知。在这里,我们证明 STRA8 在小鼠精子发生过程中作为自噬的抑制剂发挥作用。Stra8 缺陷型生殖细胞无法进入减数分裂,并表现出自噬-溶酶体基因的异常上调,与自噬激活相一致。生化分析表明,单独异位表达 STRA8 足以抑制自噬诱导和成熟。研究还表明,核激素受体基因 Nr1d1 在 Stra8 缺陷型睾丸中上调,并且 STRA8 结合到 Nr1d1 启动子上,表明 Nr1d1 是 STRA8 转录抑制的直接靶标。此外,还发现 NR1D1 结合到 Ulk1 的启动子上,Ulk1 是自噬起始所必需的基因,而 Nr1d1 是 Stra8 缺陷型睾丸中 Ulk1 表达上调所必需的。此外,Nr1d1 的遗传缺失和其合成拮抗剂 SR8278 对 NR1D1 的药理学抑制都对 Stra8 缺陷型雄性生殖细胞中观察到的减数分裂起始缺陷具有挽救作用。总之,这些数据表明 STRA8 介导的自噬抑制与减数分裂起始之间存在新的联系。

https://cdn.ncbi.nlm.nih.gov/pmc/blobs/5e95/6502318/5b6d3401d293/pgen.1008084.g001.jpg

文献AI研究员

20分钟写一篇综述,助力文献阅读效率提升50倍。

立即体验

用中文搜PubMed

大模型驱动的PubMed中文搜索引擎

马上搜索

文档翻译

学术文献翻译模型,支持多种主流文档格式。

立即体验