Suppr超能文献

FZD5 在嗜酸粒细胞性慢性鼻-鼻窦炎伴鼻息肉中的表达上调与其表观遗传修饰有关。

Upregulation of FZD5 in Eosinophilic Chronic Rhinosinusitis with Nasal Polyps by Epigenetic Modification.

机构信息

Department of Otorhinolaryngology-Head and Neck Surgery, College of Medicine, Konyang University, Daejeon 35365, Korea.

Department of Biomedical Informatics, College of Medicine, Konyang University, Daejeon 35365, Korea.

出版信息

Mol Cells. 2019 Apr 30;42(4):345-355. doi: 10.14348/molcells.2019.2418.

Abstract

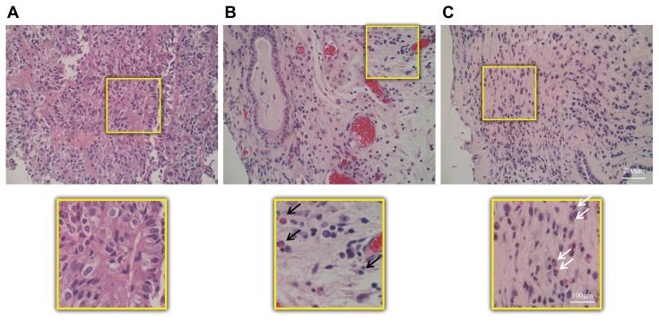
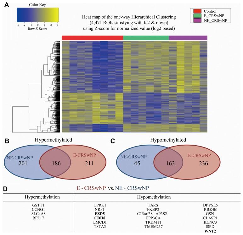
Eosinophilic chronic rhinosinusitis with nasal polyps (CRSwNP) is one of the most challenging problems in clinical rhinology. FZD5 is a receptor for Wnt5A, and its complex with Wnt5A contributes to activating inflammation and tissue modification. Nasal polyps and eosinophil/non-eosinophil counts are reported to be directly correlated. This study investigated the expression and distribution of FZD5, and the role of eosinophil infiltration and FZD5 in eosinophilic CRSwNP pathogenesis. The prognostic role of eosinophil levels was evaluated in seven patients with CRSwNP. Fifteen patients with CRS were classified based on the percentage of eosinophils in nasal polyp tissue. Methylated genes were detected using methyl-CpG-binding domain sequencing, and qRT-PCR and immunohistochemistry were used to detect FZD5 expression in nasal polyp tissue samples. The results showed that mRNA expression of FZD5 was upregulated in nasal polyps. FZD5 expression was significantly higher in nasal polyp samples from patients with eosinophilic CRSwNP than in those from patients with non-eosinophilic CRSwNP, as indicated by immunohistochemistry. Furthermore, inflammatory cytokine levels were higher in eosinophilic CRSwNP-derived epithelial cells than in normal tissues. In conclusion, FZD5 expression in nasal mucosal epithelial cells is correlated with inflammatory cells and might play a role in the pathogenesis of eosinophilic CRSwNP.

摘要

嗜酸细胞性慢性鼻-鼻窦炎伴鼻息肉(CRSwNP)是临床鼻科学中最具挑战性的问题之一。FZD5 是 Wnt5A 的受体,其与 Wnt5A 的复合物有助于激活炎症和组织修饰。鼻息肉和嗜酸性粒细胞/非嗜酸性粒细胞计数被报道呈直接相关。本研究调查了 FZD5 的表达和分布,以及嗜酸性粒细胞浸润和 FZD5 在嗜酸细胞性 CRSwNP 发病机制中的作用。在 7 名 CRSwNP 患者中评估了嗜酸性粒细胞水平的预后作用。根据鼻息肉组织中嗜酸性粒细胞的百分比将 15 名 CRS 患者进行分类。使用甲基化-CpG 结合域测序检测甲基化基因,并用 qRT-PCR 和免疫组织化学检测鼻息肉组织样本中 FZD5 的表达。结果表明,FZD5 的 mRNA 表达在鼻息肉中上调。免疫组织化学染色显示,FZD5 在嗜酸细胞性 CRSwNP 患者的鼻息肉样本中的表达明显高于非嗜酸细胞性 CRSwNP 患者。此外,嗜酸细胞性 CRSwNP 衍生的上皮细胞中的炎症细胞因子水平高于正常组织。总之,鼻黏膜上皮细胞中 FZD5 的表达与炎症细胞有关,可能在嗜酸细胞性 CRSwNP 的发病机制中发挥作用。

https://cdn.ncbi.nlm.nih.gov/pmc/blobs/31f4/6530644/a206736fbee2/ksmcb-42-345f1.jpg

文献AI研究员

20分钟写一篇综述,助力文献阅读效率提升50倍。

立即体验

用中文搜PubMed

大模型驱动的PubMed中文搜索引擎

马上搜索

文档翻译

学术文献翻译模型,支持多种主流文档格式。

立即体验