Suppr超能文献

川芎嗪通过激活 PI3K/Akt 通路减轻大鼠冠状动脉微栓塞引起的心肌损伤。

Ligustrazine Attenuates Myocardial Injury Induced by Coronary Microembolization in Rats by Activating the PI3K/Akt Pathway.

机构信息

Department of Cardiology, The Affiliated Hospital of Guilin Medical University, Guilin, Guangxi 541001, China.

出版信息

Oxid Med Cell Longev. 2019 May 2;2019:6791457. doi: 10.1155/2019/6791457. eCollection 2019.

Abstract

BACKGROUND/AIMS: Coronary microembolization- (CME-) induced myocardial injury and progressive cardiac dysfunction are mainly caused due to CME-induced myocardial local inflammatory response and myocardial apoptosis. Ligustrazine plays an important protective role in multiple cardiovascular diseases, but its role and the protection mechanism in CME is unclear. This study hypothesized that ligustrazine attenuates CME-induced myocardial injury in rats. This study also explored the mechanism underlying this attenuation.

METHODS

Forty SD rats were randomly divided into CME group, ligustrazine group, ligustrazine+LY294002 (ligustrazine+LY) group, and sham group (ten rats in each). In each group, the cardiac function, apoptotic index, serum c-troponin I (cTnI) level, inflammation [interleukin-1 (IL-1) and tumor necrosis factor-alpha (TNF-)], and oxidative stress [nitric oxide (NO), superoxide dismutase (SOD), and malondialdehyde (MDA)] were determined. Western blotting was used to detect the proteins which are present in the PI3K/Akt pathway.

RESULTS

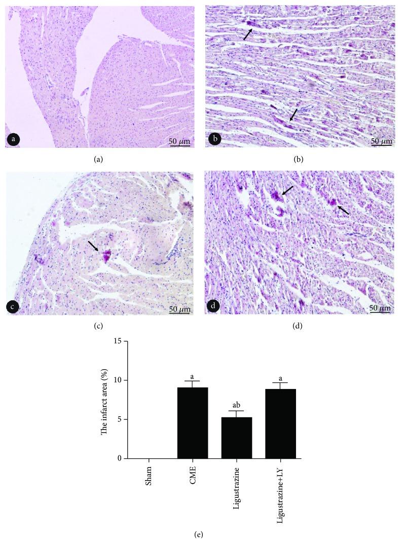
Ligustrazine improved cardiac dysfunction induced by CME, increased serum NO and SOD activities, and decreased the serum level in IL-1, MDA, cTnI, and TNF-. Moreover, ligustrazine inhibited myocardial apoptosis, which is perhaps caused by the upregulated Bcl-2, the downregulated cleaved caspase-3 and Bax, and the increased protein level in endothelial nitric oxide synthase and phosphorylated Akt. These effects, however, were reduced if ligustrazine was coadministered with LY294002.

CONCLUSIONS

Ligustrazine attenuates CME-induced myocardial injury. The effects associated with this attenuation may be achieved by activating the myocardium PI3K/Akt signaling pathway.

摘要

背景/目的:冠状动脉微栓塞(CME)引起的心肌损伤和进行性心功能障碍主要是由于 CME 引起的心肌局部炎症反应和心肌细胞凋亡引起的。川芎嗪在多种心血管疾病中发挥着重要的保护作用,但它在 CME 中的作用和保护机制尚不清楚。本研究假设川芎嗪可减轻 CME 诱导的大鼠心肌损伤,并探讨其保护机制。

方法

将 40 只 SD 大鼠随机分为 CME 组、川芎嗪组、川芎嗪+LY294002(川芎嗪+LY)组和假手术组(每组 10 只)。在每组中,测定心功能、细胞凋亡指数、血清 c-肌钙蛋白 I(cTnI)水平、炎症[白细胞介素-1(IL-1)和肿瘤坏死因子-α(TNF-α)]和氧化应激[一氧化氮(NO)、超氧化物歧化酶(SOD)和丙二醛(MDA)]。采用 Western blot 法检测 PI3K/Akt 通路相关蛋白。

结果

川芎嗪改善了 CME 引起的心脏功能障碍,增加了血清 NO 和 SOD 活性,降低了血清中 IL-1、MDA、cTnI 和 TNF-α的水平。此外,川芎嗪抑制了心肌细胞凋亡,这可能是通过上调 Bcl-2、下调 cleaved caspase-3 和 Bax、增加内皮型一氧化氮合酶和磷酸化 Akt 蛋白水平实现的。然而,如果同时给予川芎嗪和 LY294002,则会降低这些作用。

结论

川芎嗪减轻了 CME 引起的心肌损伤。这种衰减作用可能是通过激活心肌 PI3K/Akt 信号通路实现的。

https://cdn.ncbi.nlm.nih.gov/pmc/blobs/7df9/6525935/f645dceffbba/OMCL2019-6791457.001.jpg

文献AI研究员

20分钟写一篇综述,助力文献阅读效率提升50倍。

立即体验

用中文搜PubMed

大模型驱动的PubMed中文搜索引擎

马上搜索

文档翻译

学术文献翻译模型,支持多种主流文档格式。

立即体验