Suppr超能文献

PM 在 COPD 的发生发展及其机制中的作用。

Role of PM in the development and progression of COPD and its mechanisms.

机构信息

Division of Cardiothoracic and Vascular Surgery, Tongji Hospital, Tongji Medical College, Huazhong University of Science and Technology, Wuhan, 430030, China.

Department of Respiratory and Critical Care Medicine, National Clinical Research Center of Respiratory Disease, Tongji Hospital, Tongji Medical College, Huazhong University of Science and Technology, Wuhan, 430030, China.

出版信息

Respir Res. 2019 Jun 13;20(1):120. doi: 10.1186/s12931-019-1081-3.

Abstract

BACKGROUND

A multitude of epidemiological studies have shown that ambient fine particulate matter 2.5 (diameter < 2.5um; PM) was associated with increased morbidity and mortality of chronic obstructive pulmonary disease (COPD). However, the underlying associated mechanisms have not yet been elucidated. We conducted this study to investigate the role of PM in the development of COPD and associated mechanisms.

METHODS

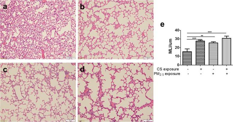
We firstly conducted a cross-sectional study in Chinese han population to observe PM effects on COPD morbidity. Then, in vitro, we incubated human bronchial epithelial cells to different concentrations of PM for 24 h. The expression levels of IL-6 and IL-8 were detected by ELISA and the levels of MMPs, TGF-β1, fibronectin and collagen was determined by immunoblotting. In vivo, we subjected C57BL/6 mice to chronic prolonged exposure to PM for 48 weeks to study the influence of PM exposure on lung function, pulmonary structure and inflammation.

RESULTS

We found that the effect of PM on COPD morbidity was associated with its levels and that PM and cigarette smoke could have a synergistic impact on COPD development and progression. Both vitro and vivo studies demonstrated that PM exposure could induce pulmonary inflammation, decrease lung function, and cause emphysematous changes. Furthermore, PM could markedly aggravated cigarette smoke-induced changes.

CONCLUSIONS

In short, we found that prolonged chronic exposure to PM resulted in decreased lung function, emphysematous lesions and airway inflammation. Most importantly, long-term PM exposure exacerbateed cigarette smoke-induced changes in COPD.

摘要

背景

大量的流行病学研究表明,环境细颗粒物 2.5(直径<2.5μm;PM)与慢性阻塞性肺疾病(COPD)发病率和死亡率的增加有关。然而,其潜在的相关机制尚未阐明。我们进行这项研究是为了探讨 PM 在 COPD 发病机制中的作用及其相关机制。

方法

我们首先在中国汉族人群中进行了一项横断面研究,观察 PM 对 COPD 发病率的影响。然后,在体外,我们用不同浓度的 PM 孵育人支气管上皮细胞 24 小时。通过 ELISA 检测 IL-6 和 IL-8 的表达水平,通过免疫印迹法测定 MMPs、TGF-β1、纤维连接蛋白和胶原蛋白的水平。在体内,我们使 C57BL/6 小鼠持续暴露于 PM 中 48 周,以研究 PM 暴露对肺功能、肺结构和炎症的影响。

结果

我们发现,PM 对 COPD 发病率的影响与其水平有关,PM 和香烟烟雾可能对 COPD 的发生和发展有协同作用。体外和体内研究均表明,PM 暴露可诱导肺部炎症,降低肺功能,并导致肺气肿样改变。此外,PM 可明显加重香烟烟雾引起的变化。

结论

总之,我们发现,长期慢性暴露于 PM 会导致肺功能下降、肺气肿病变和气道炎症。最重要的是,长期 PM 暴露会加重 COPD 中香烟烟雾引起的变化。

https://cdn.ncbi.nlm.nih.gov/pmc/blobs/95aa/6567502/e218fac1f027/12931_2019_1081_Fig1_HTML.jpg

文献AI研究员

20分钟写一篇综述,助力文献阅读效率提升50倍。

立即体验

用中文搜PubMed

大模型驱动的PubMed中文搜索引擎

马上搜索

文档翻译

学术文献翻译模型,支持多种主流文档格式。

立即体验