Suppr超能文献

抗菌肽 PR39 可改善肠上皮功能和平衡肠道微生物群,从而保护感染肠出血性大肠杆菌 O157:H7 的小鼠。

Cathelicidin- derived PR39 protects enterohemorrhagic Escherichia coli O157:H7 challenged mice by improving epithelial function and balancing the microbiota in the intestine.

机构信息

Tropical animal breeding and nutrition laboratory, Hainan University, Haikou, Hainan, 570228, People's Republic of China.

Key Laboratory of Tropical Biological Resources of Ministry of Education, Haikou, Hainan, 570228, People's Republic of China.

出版信息

Sci Rep. 2019 Jul 1;9(1):9456. doi: 10.1038/s41598-019-45913-6.

Abstract

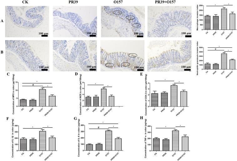
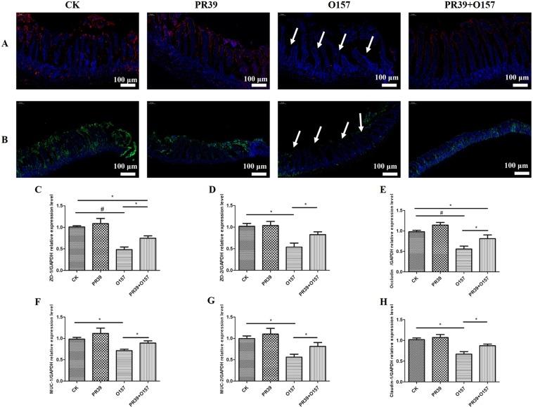
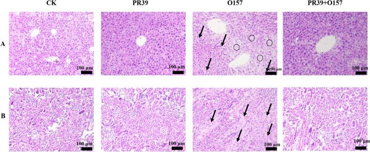
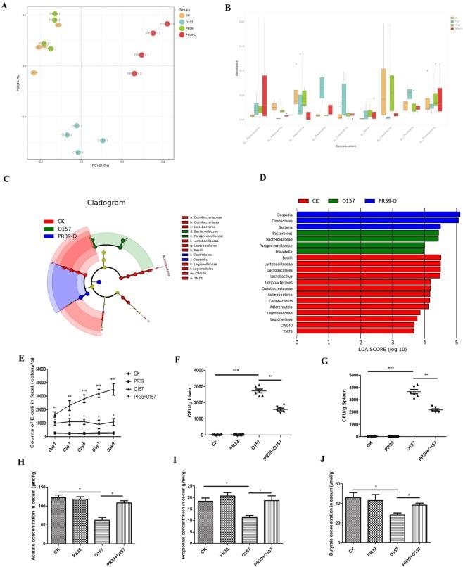
The zoonotic enterohaemorrhagic Escherichia coli (EHEC) O157:H7 can disrupt intestinal epithelial barrier function and in turn leading to serious intestinal and systemic disease. PR39 could effectively inhibit the growth of Gram-negative bacteria, but there is little knowledge of its effects on intestinal barrier function and the microbiota in E. coli-challenged mice. In this study, an intestinal disease caused by EHEC O157:H7 was established, to analyze the effect of PR39 on EHEC O157:H7 induced intestinal epithelial barrier injury and disorder. Interestingly, PR39 attenuated EHEC O157:H7-induced systemic symptoms and significantly decreased mortality and the degree of E. coli shedding in faeces. Furthermore, the infiltration index of macrophages and neutrophils in intestine of the PR39 treatment group were obviously attenuated, along with the level of apoptosis. PR39 treatment group had distinctly improved tight junction associated proteins' expression after EHEC O157:H7 caused injury. Additionally, the sequencing analysis of cecum microbiota showed that PR39 altered the abnormal increase in Bacteroides caused by EHEC O157:H7 and promoted the growth of probiotics such as Lactobacillus. In conclusion, cathelicidin-derived PR39 could effectively improve EHEC O157:H7-induced epithelial barrier injury, and dysfunction of immune and microbiota homeostasis in the intestinal tract, indicating that PR39 could be an excellent potential drug for zoonotic EHEC O157:H7-related intestinal disease.

摘要

肠出血性大肠杆菌(EHEC)O157:H7 是一种人畜共患病原体,可破坏肠道上皮屏障功能,进而导致严重的肠道和全身疾病。PR39 可以有效抑制革兰氏阴性菌的生长,但人们对其抑制 EHEC 感染小鼠肠道屏障功能和微生物群的作用知之甚少。本研究建立了由 EHEC O157:H7 引起的肠道疾病模型,旨在分析 PR39 对 EHEC O157:H7 诱导的肠道上皮屏障损伤和紊乱的影响。有趣的是,PR39 可减轻 EHEC O157:H7 引起的全身症状,并显著降低死亡率和粪便中大肠杆菌的脱落程度。此外,PR39 治疗组肠道中巨噬细胞和中性粒细胞的浸润指数明显减轻,细胞凋亡水平也降低。PR39 治疗组在 EHEC O157:H7 引起损伤后,紧密连接相关蛋白的表达明显改善。此外,盲肠微生物组的测序分析表明,PR39 改变了 EHEC O157:H7 引起的拟杆菌异常增加,并促进了益生菌如乳酸杆菌的生长。总之,抗菌肽衍生的 PR39 可有效改善 EHEC O157:H7 诱导的上皮屏障损伤以及肠道免疫和微生物群稳态的功能障碍,表明 PR39 可能是一种治疗人畜共患 EHEC O157:H7 相关肠道疾病的潜在优秀药物。

https://cdn.ncbi.nlm.nih.gov/pmc/blobs/aa1b/6603261/12f4129b9a34/41598_2019_45913_Fig1_HTML.jpg

文献AI研究员

20分钟写一篇综述,助力文献阅读效率提升50倍。

立即体验

用中文搜PubMed

大模型驱动的PubMed中文搜索引擎

马上搜索

文档翻译

学术文献翻译模型,支持多种主流文档格式。

立即体验