Suppr超能文献

巨噬细胞衍生的外泌体 microRNA-501-3p 通过 TGFBR3 介导的 TGF-β 信号通路促进胰腺导管腺癌的进展。

Macrophage-derived exosomal microRNA-501-3p promotes progression of pancreatic ductal adenocarcinoma through the TGFBR3-mediated TGF-β signaling pathway.

机构信息

Department of General Surgery, Guangdong Provincial People's Hospital, Guangdong Academy of Medical Sciences, No. 106, Zhongshan Er Road, Guangzhou, 510080, Guangdong Province, People's Republic of China.

Department of Obstetrics and Gynecology, Sun Yat-Sen Memorial Hospital of Sun Yat-Sen University, Guangzhou, 510120, People's Republic of China.

出版信息

J Exp Clin Cancer Res. 2019 Jul 15;38(1):310. doi: 10.1186/s13046-019-1313-x.

Abstract

BACKGROUND

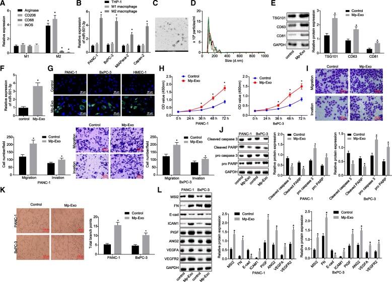
Exosomes from cancer cells or immune cells, carrying bio-macromolecules or microRNAs (miRNAs), participate in tumor pathogenesis and progression by modulating microenvironment. Our study aims to investigate the role of these microRNA-501-3p (miR-501-3p) containing exosomes derived from tumor-associated macrophage (TAM) in the progression of pancreatic ductal adenocarcinoma (PDAC).

METHODS

Firstly, the function of TAM recruitment in PDAC tissues was assessed, followed by identification of the effects of M2 macrophage-derived exosomes on PDAC cell activities and tumor formation and metastasis in mice. In silico analysis was conducted to predict differentially expressed genes and regulatory miRNAs related to PDAC treated with macrophages, which determined miR-501-3p and TGFBR3 for subsequent experiments. Next, gain- and loss-of-function experiments were performed to examine their role in PDAC progression with the involvement of the TGF-β signaling pathway.

RESULTS

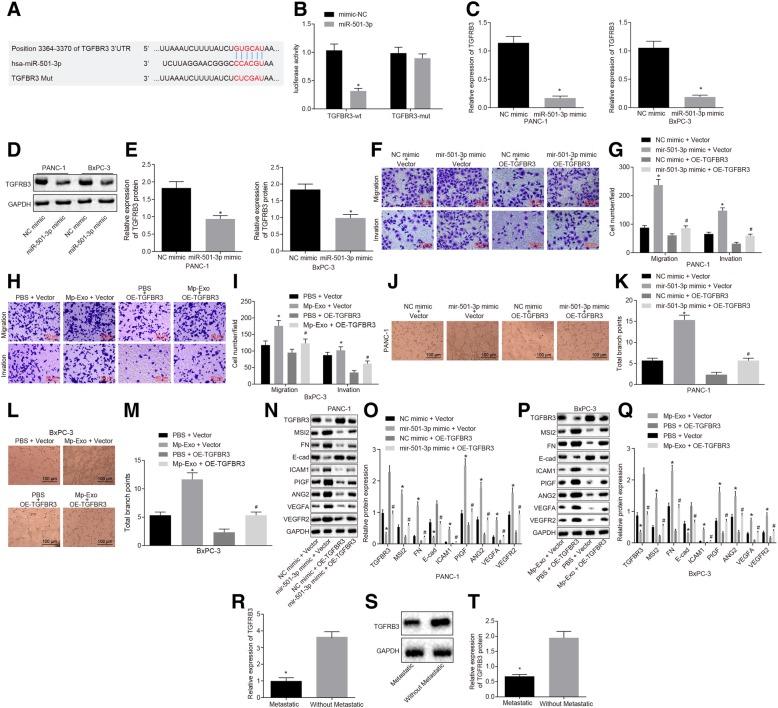
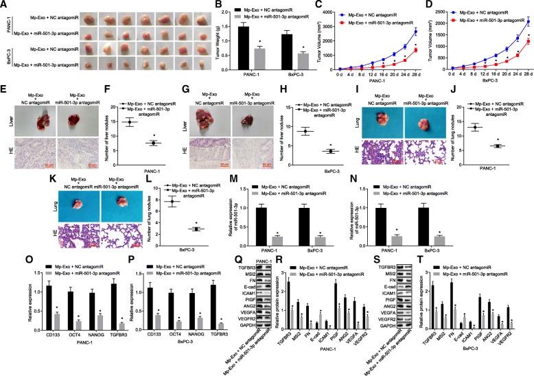
TAM recruitment in PDAC tissues was associated with metastasis. Highly expressed miR-501-3p was observed in PDAC tissues and TAM-derived exosomes. Both M2 macrophage-derived exosomes and miR-501-3p promoted PDAC cell migration and invasion, as well as tumor formation and metastasis in nude mice. MiR-501-3p was verified to target TGFBR3. PDAC cells presented with down-regulated TGFBR3, which was further decreased in response to M2 macrophage treatment. TGF-β signaling pathway activation was implicated in the promotion of miR-501-3p in PDAC development. The suppression of macrophage-derived exosomal miR-501-3p resulted in the inhibition of tumor formation and metastasis in vivo.

CONCLUSION

M2 macrophage-derived exosomal miR-501-3p inhibits tumor suppressor TGFBR3 gene and facilitates the development of PDAC by activating the TGF-β signaling pathway, which provides novel targets for the molecular treatment of PDAC.

摘要

背景

癌细胞或免疫细胞来源的外泌体携带生物大分子或 microRNAs(miRNAs),通过调节微环境参与肿瘤的发生和发展。我们的研究旨在探讨来源于肿瘤相关巨噬细胞(TAM)的含有 microRNA-501-3p(miR-501-3p)的这些外泌体在胰腺导管腺癌(PDAC)进展中的作用。

方法

首先评估了 TAM 在 PDAC 组织中的募集功能,然后鉴定了 M2 巨噬细胞衍生的外泌体对 PDAC 细胞活性以及在小鼠中肿瘤形成和转移的影响。通过计算机分析预测了与巨噬细胞处理相关的 PDAC 差异表达基因和调节 miRNA,确定了 miR-501-3p 和 TGFBR3 用于后续实验。接下来,进行了增益和缺失功能实验,以检查它们在 TGF-β 信号通路参与下在 PDAC 进展中的作用。

结果

PDAC 组织中 TAM 的募集与转移有关。在 PDAC 组织和 TAM 衍生的外泌体中观察到高表达的 miR-501-3p。M2 巨噬细胞衍生的外泌体和 miR-501-3p 均促进 PDAC 细胞迁移和侵袭,以及裸鼠中的肿瘤形成和转移。miR-501-3p 被证实靶向 TGFBR3。PDAC 细胞中 TGFBR3 表达下调,而对 M2 巨噬细胞处理的反应进一步降低。TGF-β 信号通路的激活与 miR-501-3p 在 PDAC 发展中的促进作用有关。抑制巨噬细胞衍生的外泌体 miR-501-3p 导致体内肿瘤形成和转移的抑制。

结论

M2 巨噬细胞衍生的外泌体 miR-501-3p 通过激活 TGF-β 信号通路抑制肿瘤抑制基因 TGFBR3,并促进 PDAC 的发展,为 PDAC 的分子治疗提供了新的靶点。

https://cdn.ncbi.nlm.nih.gov/pmc/blobs/06d4/6631643/8ef2161d9ca2/13046_2019_1313_Fig1_HTML.jpg

文献AI研究员

20分钟写一篇综述,助力文献阅读效率提升50倍。

立即体验

用中文搜PubMed

大模型驱动的PubMed中文搜索引擎

马上搜索

文档翻译

学术文献翻译模型,支持多种主流文档格式。

立即体验