Suppr超能文献

肿瘤来源的外泌体CCT6A充当媒人,将趋化因子引入胰腺导管腺癌中的肿瘤相关巨噬细胞。

Tumor-derived exosomal CCT6A serves as a matchmaker introducing chemokines to tumor-associated macrophages in pancreatic ductal adenocarcinoma.

作者信息

Ma Tianyin, Guo Wing-Wa, Zhang Minghe, He Wenzhi, Dongzhi Cairang, Gongye Xiangdong, Xia Peng, Chai Yibo, Chen Zhang, Zhu Yimin, Qu Chengming, Liu Jie, Yang Zhiyong, Ma Weijie, Tian Ming, Yuan Yufeng

机构信息

Department of Hepatobiliary & Pancreatic Surgery, Zhongnan Hospital of Wuhan University, Wuhan, PR China.

Clinical Medicine Research Center for Minimally Invasive Procedure of Hepatobiliary & Pancreatic Diseases of Hubei Province, Hubei, PR China.

出版信息

Cell Death Dis. 2025 May 15;16(1):382. doi: 10.1038/s41419-025-07720-y.

Abstract

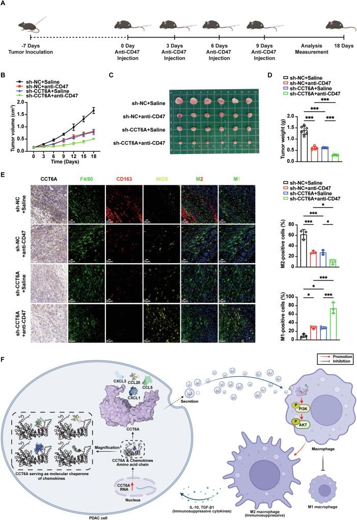
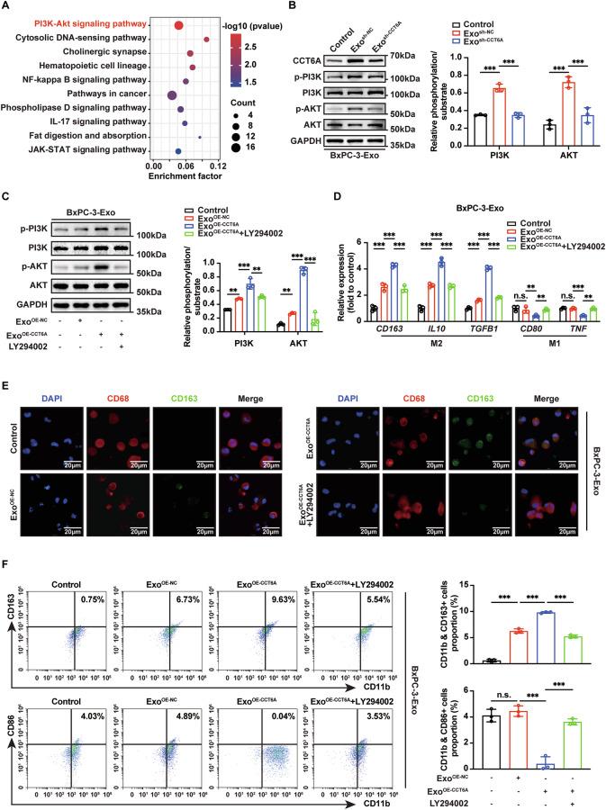
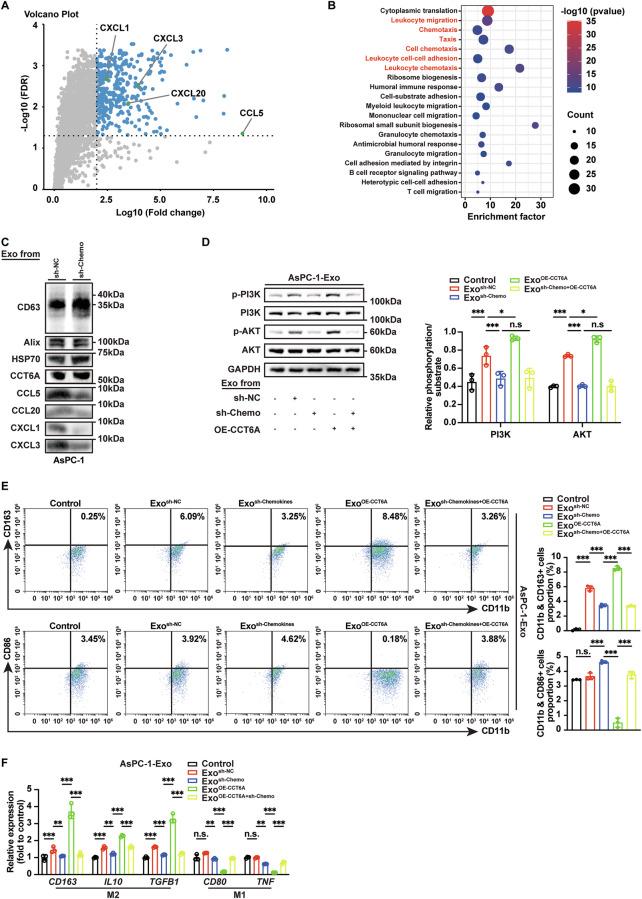
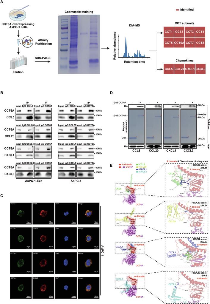
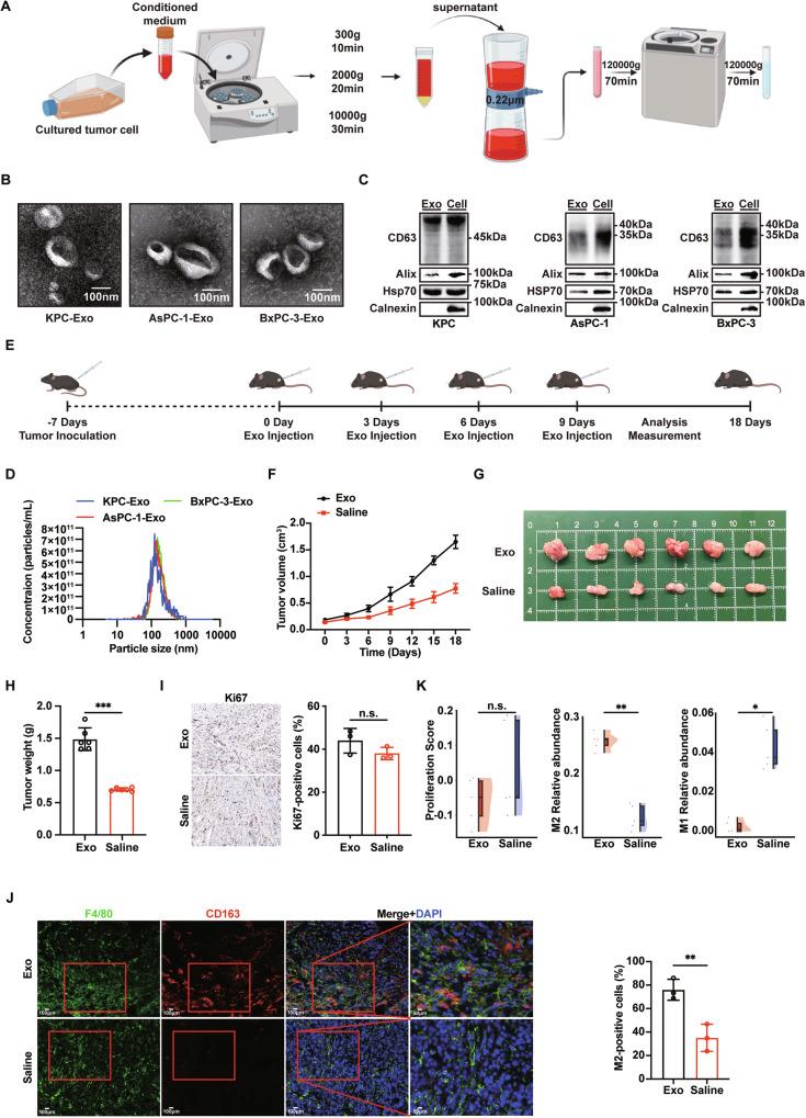
M2-polarized tumor-associated macrophages (TAMs) are a key factor contributing to the poor prognosis of pancreatic ductal adenocarcinoma (PDAC). While various factors within the tumor microenvironment (TME) drive their formation, the role of PDAC-derived exosomes in this process remains unclear. We aim to clarify the regulatory impacts of tumor-derived exosomes to TAMs. After the intratumoral injection to subcutaneous tumor of C57BL/6 mice, we demonstrated PDAC-derived exosomes exacerbate PDAC progression, accompanied with upregulated M2 phenotype of TAMs and unaffected proliferation signatures. Through intratumoral injection model and multi-Omics analyses, we identified CCT6A as a novel tumor-derived exosomal protein, bridging TAMs M2 polarization and PDAC prognosis. Co-culture with exosomes derived from CCT6A PDAC leads to greater M2 phenotype of TAMs via PI3K-AKT signaling. According to proteomics data, chemokines' abundance reduces over tenfold once exosomal CCT6A absence, including CXCL1, CXCL3, CCL20 and CCL5, whose interaction with CCT6A in PDAC cells was confirmed by interactomics data. Moreover, we found silencing CCT6A abrogated the antagonism effects of CD47 antibody immunotherapy. Our findings implied that the subunit of the T-complex protein Ring Complex (TRiC) CCT6A serves as a matchmaker during exosome-mediated chemokines transfer from PDAC to TAMs. Silencing CCT6A effectively sensitized PDAC to CD47 antibody immunotherapy in vivo.

摘要

M2 极化的肿瘤相关巨噬细胞(TAM)是导致胰腺导管腺癌(PDAC)预后不良的关键因素。虽然肿瘤微环境(TME)中的多种因素驱动了它们的形成,但PDAC来源的外泌体在此过程中的作用仍不清楚。我们旨在阐明肿瘤来源的外泌体对TAM的调节作用。在将其瘤内注射到C57BL/6小鼠的皮下肿瘤后,我们证明PDAC来源的外泌体加剧了PDAC的进展,同时伴随着TAM的M2表型上调且增殖特征未受影响。通过瘤内注射模型和多组学分析,我们鉴定出CCT6A是一种新型的肿瘤来源外泌体蛋白,它在TAM的M2极化和PDAC预后之间起桥梁作用。与源自CCT6A PDAC的外泌体共培养通过PI3K-AKT信号通路导致TAM产生更大的M2表型。根据蛋白质组学数据,一旦外泌体中缺乏CCT6A,趋化因子的丰度会降低十倍以上,包括CXCL1、CXCL3、CCL20和CCL5,相互作用组学数据证实了它们在PDAC细胞中与CCT6A的相互作用。此外,我们发现沉默CCT6A消除了CD47抗体免疫疗法的拮抗作用。我们的研究结果表明,T复合体蛋白环复合体(TRiC)的亚基CCT6A在从PDAC到TAM的外泌体介导的趋化因子转移过程中起媒妁作用。在体内,沉默CCT6A可有效使PDAC对CD47抗体免疫疗法敏感。

https://cdn.ncbi.nlm.nih.gov/pmc/blobs/6331/12081750/217faf199c1b/41419_2025_7720_Fig1_HTML.jpg

文献AI研究员

20分钟写一篇综述,助力文献阅读效率提升50倍。

立即体验

用中文搜PubMed

大模型驱动的PubMed中文搜索引擎

马上搜索

文档翻译

学术文献翻译模型,支持多种主流文档格式。

立即体验