Suppr超能文献

法尼醇X受体激动剂奥贝胆酸通过靶向肠道微生物群在非酒精性脂肪性肝病中的保护作用及机制

The protective effect and mechanism of the FXR agonist obeticholic acid via targeting gut microbiota in non-alcoholic fatty liver disease.

作者信息

Zhang Dan-Ying, Zhu Lin, Liu Hai-Ning, Tseng Yu-Jen, Weng Shu-Qiang, Liu Tao-Tao, Dong Ling, Shen Xi-Zhong

机构信息

Department of Gastroenterology, Zhongshan Hospital of Fudan University, Shanghai 200032, People's Republic of China.

Department of Geriatrics, Zhongshan Hospital of Fudan University, Shanghai 200032, People's Republic of China.

出版信息

Drug Des Devel Ther. 2019 Jul 5;13:2249-2270. doi: 10.2147/DDDT.S207277. eCollection 2019.

Abstract

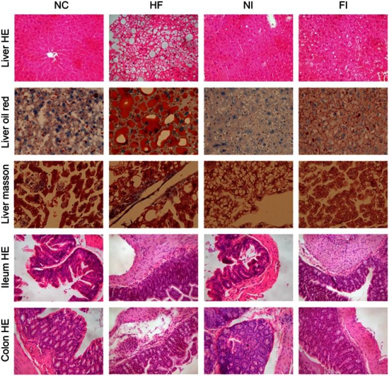
It is reported that various diseases such as non-alcoholic fatty liver disease (NAFLD) are associated with imbalance of microbiome. And FXR has been well investigated in liver diseases. The objective of this study was to identify the role of farnesoid X receptor agonist obeticholic acid via targeting gut microbiota in NAFLD. Male C57BL/6 mice were fed either a normal-chow diet or a high-fat diet (HFD). Obeticholic acid(30mg/(kg·d)) and/or a combination of antibiotics were administered orally by gavage to mice for 12 weeks. Gut microbiota profiles were established through 16S rRNA amplicon sequencing. The effects of obeticholic acid on liver inflammation, the gut barrier, endotoxemia, gut microbiome and composition of the bile acid were also investigated. Obeticholic acid treatment can significantly improve obesity, circulation metabolism disorders, liver inflammation and fibrosis, and intestinal barrier damage caused by HFD. Removal of normal commensal bacteria can weaken the effect of obeticholic acid. The gut microbial structure was changed, and abundance of Blautia was increased significantly after treated with obeticholic acid. After obeticholic acid treatment, the concentration of taurine-bound bile acid caused by HFD was reduced in the liver. Taken together, these data suggest that obeticholic acid has aprotective effect on NAFLD via changing the components of gut microbiota, specifically increasing the abundance of Blautia.

摘要

据报道,非酒精性脂肪性肝病(NAFLD)等多种疾病与微生物群失衡有关。法尼醇X受体(FXR)在肝脏疾病方面已得到充分研究。本研究的目的是通过靶向肠道微生物群来确定法尼醇X受体激动剂奥贝胆酸在NAFLD中的作用。将雄性C57BL/6小鼠分为正常饮食组或高脂饮食(HFD)组。通过灌胃法给小鼠口服奥贝胆酸(30mg/(kg·d))和/或抗生素组合,持续12周。通过16S rRNA扩增子测序建立肠道微生物群谱。还研究了奥贝胆酸对肝脏炎症、肠道屏障、内毒素血症、肠道微生物群和胆汁酸组成的影响。奥贝胆酸治疗可显著改善由高脂饮食引起的肥胖、循环代谢紊乱、肝脏炎症和纤维化以及肠道屏障损伤。去除正常共生细菌会削弱奥贝胆酸的作用。奥贝胆酸治疗后肠道微生物结构发生改变,Blautia菌的丰度显著增加。奥贝胆酸治疗后,肝脏中由高脂饮食引起的牛磺酸结合型胆汁酸浓度降低。综上所述,这些数据表明奥贝胆酸通过改变肠道微生物群的组成,特别是增加Blautia菌的丰度,对NAFLD具有保护作用。

https://cdn.ncbi.nlm.nih.gov/pmc/blobs/a243/6617567/bf25ca62d2fb/DDDT-13-2249-g0001.jpg

文献AI研究员

20分钟写一篇综述,助力文献阅读效率提升50倍。

立即体验

用中文搜PubMed

大模型驱动的PubMed中文搜索引擎

马上搜索

文档翻译

学术文献翻译模型,支持多种主流文档格式。

立即体验