Suppr超能文献

鉴定和定位成人睾丸内的内源性大麻素系统成分。

Characterisation and localisation of the endocannabinoid system components in the adult human testis.

机构信息

Department of Growth & Reproduction, and EDMaRC, Rigshospitalet, University of Copenhagen, Copenhagen, Denmark.

Univ Rennes, Inserm, EHESP, Irset (Institut de recherche en santé, environnement et travail) - UMR_S 1085, F-35000, Rennes, France.

出版信息

Sci Rep. 2019 Sep 19;9(1):12866. doi: 10.1038/s41598-019-49177-y.

Abstract

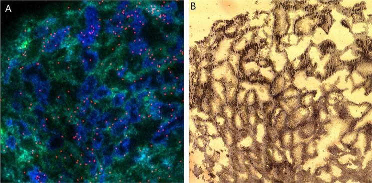
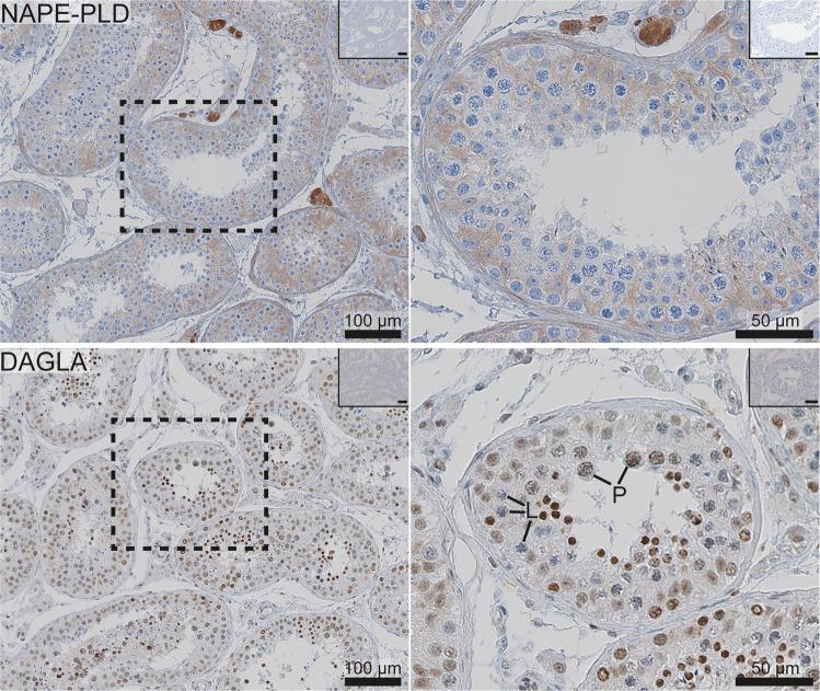
Heavy use of cannabis (marijuana) has been associated with decreased semen quality, which may reflect disruption of the endocannabinoid system (ECS) in the male reproductive tract by exogenous cannabinoids. Components of ECS have been previously described in human spermatozoa and in the rodent testis but there is little information on the ECS expression within the human testis. In this study we characterised the main components of the ECS by immunohistochemistry (IHC) on archived testis tissue samples from 15 patients, and by in silico analysis of existing transcriptome datasets from testicular cell populations. The presence of 2-arachidonoylglycerol (2-AG) in the human testis was confirmed by matrix-assisted laser desorption ionization imaging analysis. Endocannabinoid-synthesising enzymes; diacylglycerol lipase (DAGL) and N-acyl-phosphatidylethanolamine-specific phospholipase D (NAPE-PLD), were detected in germ cells and somatic cells, respectively. The cannabinoid receptors, CNR1 and CNR2 were detected at a low level in post-meiotic germ cells and Leydig- and peritubular cells. Different transcripts encoding distinct receptor isoforms (CB1, CB1A, CB1B and CB2A) were also differentially distributed, mainly in germ cells. The cannabinoid-metabolising enzymes were abundantly present; the α/β-hydrolase domain-containing protein 2 (ABHD2) in all germ cell types, except early spermatocytes, the monoacylglycerol lipase (MGLL) in Sertoli cells, and the fatty acid amide hydrolase (FAAH) in late spermatocytes and post-meiotic germ cells. Our findings are consistent with a direct involvement of the ECS in regulation of human testicular physiology, including spermatogenesis and Leydig cell function. The study provides new evidence supporting observations that recreational cannabis can have possible deleterious effects on human testicular function.

摘要

大麻( marijuana )的大量使用与精液质量下降有关,这可能反映了外源性大麻素对男性生殖道内的内源性大麻素系统( ECS )的破坏。ECS 的成分以前在人类精子和啮齿动物睾丸中已有描述,但关于 ECS 在人类睾丸中的表达知之甚少。在这项研究中,我们通过对 15 名患者的存档睾丸组织样本进行免疫组织化学( IHC )分析,并通过对睾丸细胞群现有转录组数据集的计算机分析,对 ECS 的主要成分进行了描述。通过基质辅助激光解吸电离成像分析证实了人类睾丸中 2-花生四烯酸甘油( 2-AG )的存在。二酰基甘油脂肪酶( DAGL )和 N-酰基磷酸乙醇胺特异性磷脂酶 D ( NAPE-PLD )等内源性大麻素合成酶分别存在于生殖细胞和体细胞中。大麻素受体 CNR1 和 CNR2 以低水平存在于减数后生殖细胞和 Leydig 细胞及周围细胞中。不同的转录本编码不同的受体同工型( CB1 、 CB1A 、 CB1B 和 CB2A ),主要存在于生殖细胞中。大麻素代谢酶也大量存在;α/β-水解酶结构域蛋白 2 ( ABHD2 )存在于除早期精母细胞以外的所有生殖细胞类型中,单酰基甘油脂肪酶( MGLL )存在于支持细胞中,脂肪酸酰胺水解酶( FAAH )存在于晚期精母细胞和减数后生殖细胞中。我们的研究结果表明,ECS 直接参与了人类睾丸生理学的调节,包括精子发生和 Leydig 细胞功能。该研究提供了新的证据,支持大麻的消遣性使用可能对人类睾丸功能产生有害影响的观点。

https://cdn.ncbi.nlm.nih.gov/pmc/blobs/0978/6753062/b5c3d1f8da24/41598_2019_49177_Fig1_HTML.jpg

文献AI研究员

20分钟写一篇综述,助力文献阅读效率提升50倍。

立即体验

用中文搜PubMed

大模型驱动的PubMed中文搜索引擎

马上搜索

文档翻译

学术文献翻译模型,支持多种主流文档格式。

立即体验