Suppr超能文献

肛管纵向平滑肌中密集区和稀疏区共存:磁共振成像启发的解剖学和组织学分析。

Coexistence of Dense and Sparse Areas in the Longitudinal Smooth Muscle of the Anal Canal: Anatomical and Histological Analyses Inspired by Magnetic Resonance Images.

机构信息

Department of Clinical Anatomy, Tokyo Medical and Dental University, Tokyo, 113-8510, Japan.

Department of Proctology, Rakuwakai Otowa Hospital, Kyoto, 607-8062, Japan.

出版信息

Clin Anat. 2020 May;33(4):619-626. doi: 10.1002/ca.23467. Epub 2019 Oct 10.

Abstract

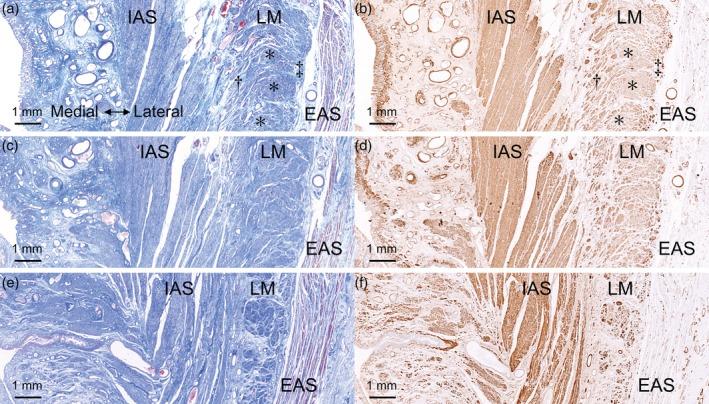
Magnetic resonance images of the anal canal show small, circular, low-intensity areas arranged in a row and a high-intensity area surrounding them internally and externally in the longitudinal muscle layer that cannot be explained by current anatomical findings. The purpose of this study was to elucidate the detailed structure of the longitudinal smooth muscle of the anal canal and to interpret the magnetic resonance image of the longitudinal muscle. Specimens for macroscopic anatomy and histology were obtained from six and seven cadavers, respectively. The histological nature of the longitudinal muscle was examined by staining serial transverse and coronal sections of the lateral wall of the anal canal with Masson's trichrome stain and using immunohistochemistry for smooth and skeletal muscle fibers. Dense and sparse areas of smooth muscle fibers coexisted in the longitudinal muscle layer. The dense areas formed columnar muscle bundles approximately 1.0-1.5 mm in diameter, and they continued from the longitudinal muscle bundles of the rectum. The columnar muscle bundles of the longitudinal anal muscle were internally and externally surrounded by sparsely arranged smooth muscle fibers that ran longitudinally. The coexistence of dense and sparse areas of smooth muscle fibers suggests that the structure of the smooth muscle is optimized for its function. This histological nature is probably reflected in the magnetic resonance image of the longitudinal muscle as the coexistence of low- and high-intensity areas. Clin. Anat. 33:619-626, 2020. © 2019 Wiley Periodicals, Inc.

摘要

肛管的磁共振成像显示,在纵向肌层中,排列成一行的小圆形低信号强度区域和环绕它们的高信号强度区域,这不能用当前的解剖学发现来解释。本研究的目的是阐明肛管纵向平滑肌的详细结构,并解释纵向肌的磁共振图像。分别从六个和七个尸体中获得了用于大体解剖和组织学的标本。通过对肛管外侧壁的连续横切和冠状切片进行 Masson 三色染色,并使用平滑肌和骨骼肌纤维的免疫组织化学染色,检查纵向肌的组织学性质。在纵向肌层中存在密集和稀疏的平滑肌纤维区。密集区形成直径约 1.0-1.5 毫米的柱状肌束,并从直肠的纵向肌束延伸而来。纵向肛提肌的柱状肌束被纵向排列的稀疏平滑肌纤维环绕。密集和稀疏的平滑肌纤维共存表明平滑肌的结构优化了其功能。这种组织学性质可能反映在纵向肌的磁共振图像中,表现为低信号强度和高信号强度区域的共存。临床解剖学 33:619-626, 2020. © 2019 Wiley Periodicals, Inc.

https://cdn.ncbi.nlm.nih.gov/pmc/blobs/cb61/7187423/ffe8c0ee8adc/CA-33-619-g001.jpg

文献AI研究员

20分钟写一篇综述,助力文献阅读效率提升50倍。

立即体验

用中文搜PubMed

大模型驱动的PubMed中文搜索引擎

马上搜索

文档翻译

学术文献翻译模型,支持多种主流文档格式。

立即体验