Suppr超能文献

男性盆底的一系列平滑肌结构:平滑肌和骨骼肌的动态协调。

The series of smooth muscle structures in the pelvic floors of men: Dynamic coordination of smooth and skeletal muscles.

机构信息

Department of Clinical Anatomy, Tokyo Medical and Dental University, Tokyo, Japan.

Department of Colorectal Surgery, National Cancer Center Hospital East, Chiba, Japan.

出版信息

Clin Anat. 2021 Mar;34(2):272-282. doi: 10.1002/ca.23713. Epub 2020 Dec 30.

Abstract

INTRODUCTION

Recent studies have revealed the extended nature of smooth muscle structures in the pelvic floor, revising the conventional understanding of the "perineal body." Our aim was to clarify the three-dimensional configuration and detailed histological properties of the smooth muscle structures in the region anterior to the rectum and anal canal in men.

MATERIALS AND METHODS

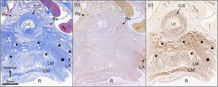
Four male cadavers were subjected to macroscopic and immunohistological examinations. The pelvis was dissected from the perineal side, as in the viewing angle during transperineal surgeries. Serial transverse sections of the region anterior to the rectum and anal canal were stained with Masson's trichrome and immunohistological stains to identify connective tissue, smooth muscle, and skeletal muscle.

RESULTS

There was a series of smooth muscle structures continuous with the longitudinal muscle of the rectum in the central region of the pelvic floor, and three representative elements were identified: the anterior bundle of the longitudinal muscle located between the external anal sphincter and bulbospongiosus; bilateral plate-like structures with transversely-oriented and dense smooth muscle fibers; and the rectourethral muscle located between the rectum and urethra. In addition, hypertrophic tissue with smooth muscle fibers extended from the longitudinal muscle in the anterolateral portion of the rectum and contacted the levator ani.

CONCLUSIONS

The series of smooth muscle structures had fiber orientations and densities that differed among locations. The widespread arrangement of the smooth muscle in the pelvic floor suggests a mechanism of dynamic coordination between the smooth and skeletal muscles.

摘要

引言

最近的研究揭示了盆底平滑肌结构的延伸性质,修正了对“会阴体”的传统理解。我们的目的是阐明男性直肠和肛管前区域平滑肌结构的三维结构和详细组织学特性。

材料和方法

对 4 具男性尸体进行了大体和免疫组织学检查。骨盆从会阴侧进行解剖,就像经会阴手术中的观察角度一样。对直肠和肛管前区域的连续横切片进行了 Masson 三色染色和免疫组织化学染色,以识别结缔组织、平滑肌和骨骼肌。

结果

盆底中部有一系列与直肠纵肌连续的平滑肌结构,确定了三个有代表性的元素:位于肛门外括约肌和球海绵体肌之间的直肠纵肌前束;具有横向排列和密集平滑肌纤维的双侧板状结构;以及位于直肠和尿道之间的直肠尿道肌。此外,从直肠前外侧部的纵肌延伸出具有平滑肌纤维的肥大组织,并与肛提肌接触。

结论

一系列平滑肌结构的纤维方向和密度在不同部位有所不同。盆底平滑肌的广泛分布表明,平滑肌和骨骼肌之间存在动态协调的机制。

https://cdn.ncbi.nlm.nih.gov/pmc/blobs/e0a5/7898478/b06b8f76e129/CA-34-272-g001.jpg

文献AI研究员

20分钟写一篇综述,助力文献阅读效率提升50倍。

立即体验

用中文搜PubMed

大模型驱动的PubMed中文搜索引擎

马上搜索

文档翻译

学术文献翻译模型,支持多种主流文档格式。

立即体验