Suppr超能文献

中剂量氯沙坦通过调节 iNOS、eNOS、VEGF 和 NF-κB 的表达来减轻糖尿病引起的肝损伤。

Mid-dose losartan mitigates diabetes-induced hepatic damage by regulating iNOS, eNOS, VEGF, and NF-κB expressions.

机构信息

Department of Histology and Embryology, Faculty of Medicine, Ege University, İzmir, Turkey

Department of Histology and Embryology, Faculty of Medicine, Harran University, Şanlıurfa, Turkey

出版信息

Turk J Med Sci. 2019 Oct 24;49(5):1582-1589. doi: 10.3906/sag-1901-15.

Abstract

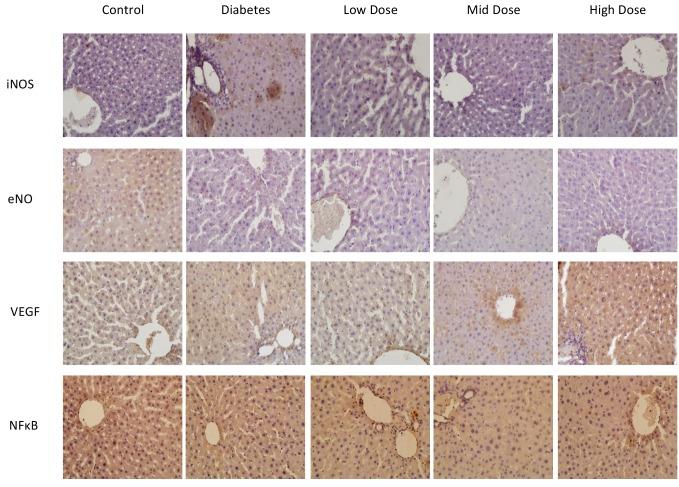
BACKGROUND/AIM: Losartan, an antihypertensive drug, is highly preferred in patients with diabetes mellitus (DM) and hypertension because of its retarding effect on diabetic nephropathy. In this study, we investigated the potential therapeutic effect of different doses of losartan on hepatic damage in a streptozotocin (STZ, 50 mg/kg)-induced DM model in rats.

MATERIALS AND METHODS

In this study, five different groups were formed: control, DM, low-dose losartan (5 mg/kg), mid-dose losartan (20 mg/kg), and high-dose losartan (80 mg/kg). Liver tissues of experimental groups were evaluated immunohistochemically for TUNEL, iNOS, eNOS, VEGF, and NF-κB pathways. In addition to immunohistochemical analysis, analyses of SOD and MDA, which are oxidative stress markers, were also performed and the results were evaluated together.

RESULTS

When biochemical and immunohistochemical findings were evaluated together, it was found that the results obtained from the mid-dose losartan group were closer to those of the control than the other groups.

CONCLUSION

This study indicated that mid-dose losartan administration may have a therapeutic effect by inhibiting apoptosis and regulating iNOS, eNOS, VEGF, and NF-κB protein expressions in DM-induced hepatic damage.

摘要

背景/目的: 血管紧张素Ⅱ受体拮抗剂(ARB)类降压药氯沙坦因其具有延缓糖尿病肾病的作用,在糖尿病合并高血压患者中得到广泛应用。本研究旨在探讨不同剂量氯沙坦对链脲佐菌素(STZ,50 mg/kg)诱导的糖尿病大鼠肝损伤的潜在治疗作用。

材料和方法

本研究共分为 5 组:对照组、糖尿病组、低剂量氯沙坦(5 mg/kg)组、中剂量氯沙坦(20 mg/kg)组和高剂量氯沙坦(80 mg/kg)组。采用免疫组织化学法检测 TUNEL、iNOS、eNOS、VEGF 和 NF-κB 通路。除免疫组织化学分析外,还对氧化应激标志物 SOD 和 MDA 进行了分析,并将结果进行了综合评估。

结果

综合生化和免疫组织化学结果发现,中剂量氯沙坦组的结果与对照组更为接近,而其他组与糖尿病组无明显差异。

结论

本研究表明,中剂量氯沙坦可能通过抑制细胞凋亡以及调节 iNOS、eNOS、VEGF 和 NF-κB 蛋白表达,对糖尿病诱导的肝损伤发挥治疗作用。

https://cdn.ncbi.nlm.nih.gov/pmc/blobs/67c2/7018237/bc696659ae19/turkjmedsci-49-1582-fig001.jpg

文献AI研究员

20分钟写一篇综述,助力文献阅读效率提升50倍。

立即体验

用中文搜PubMed

大模型驱动的PubMed中文搜索引擎

马上搜索

文档翻译

学术文献翻译模型,支持多种主流文档格式。

立即体验