Suppr超能文献

柚皮素载药固体脂质纳米粒通过 Nrf2/HO-1/NF-κB 信号通路减轻链脲佐菌素-烟酰胺诱导的糖尿病肾病。

Apigenin-Loaded Solid Lipid Nanoparticle Attenuates Diabetic Nephropathy Induced by Streptozotocin Nicotinamide Through Nrf2/HO-1/NF-kB Signalling Pathway.

机构信息

Department of Nephrology, Zhengzhou Central Hospital Affiliated to Zhengzhou University, Zhengzhou City, Henan Province 450007, People's Republic of China.

Department of Pharmaceutical Chemistry, College of Pharmacy, Jouf University, Sakaka, Aljouf 2014, Saudi Arabia.

出版信息

Int J Nanomedicine. 2020 Nov 19;15:9115-9124. doi: 10.2147/IJN.S256494. eCollection 2020.

Abstract

BACKGROUND

Apigenin is known to have a broad-spectrum efficacy in oxidative stress and conditions due to inflammation, although weak absorption, fast metabolic rate and a fast elimination (systemic) limit the pharmacological efficacy of this drug. Hence, we propose the usage of highly bioavailable Apigenin-solid lipid nanoparticles (SLNPs) to recognize such limitations. The defensive function of Apigenin-SLNPs on renal damage induced by streptozotocin (STZ) in animals was studied.

MATERIALS AND METHODS

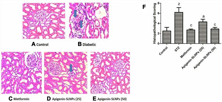
We initially injected the rats with 35 mg kg streptozocin intraperitoneally, and after 7 days, the rats were then injected 150 mg kg of metformin intragastrically followed by a once-daily intragastric dose of Apigenin-SLNP (25 or 50 mg kg) for a continuous period of 30 days. We then measured the level of insulin and blood glucose, superoxide dismutase, catalase and malondialdehyde in the tissues of the kidney. We also observed messenger-RNA expression of Interleukin-1β, Interleukin-6 and Tumor Necrosis Factor-alpha in renal tissue through RT-PCR technique. Moreover, H&E staining and Western blotting observed the histopathological variations and protein expression of nuclear factor erythroid 2-related factor 2/heme oxygenase/Nuclear Factor-κB signaling pathway, respectively.

RESULTS

An enhancement in the expressing of nuclear factor erythroid 2-related factor 2 and heme oxygenase-1 and a suppression in the expression of Nuclear Factor-κB occurred due to Apigenin-SLNPs treatment, which was a result of the protective mechanism of Apigenin-SLNPs which is because of not only its anti-inflammatory function (by inhibition of release of inflammatory factors) but also their anti-oxidant activity (through reduction of lipid peroxidation production).

CONCLUSION

We found that a protective effect on diabetic nephropathy was shown due to Apigenin-SLNPs, in rats induced with streptozocin maybe through the pathway of nuclear factor erythroid 2-related factor 2/heme oxygenase-1/Nuclear Factor-κB.

摘要

背景

尽管柚皮素的吸收能力较弱、代谢速度较快且消除速度(系统)较快,限制了该药物的药理作用,但它在氧化应激和炎症引起的疾病方面具有广泛的疗效。因此,我们建议使用高生物利用度的柚皮素-固体脂质纳米粒(SLNP)来克服这些限制。本研究旨在探讨柚皮素-SLNP 对链脲佐菌素(STZ)诱导的动物肾损伤的保护作用。

材料和方法

我们首先给大鼠腹腔内注射 35mg/kg 的链脲佐菌素,7 天后,给大鼠灌胃 150mg/kg 的二甲双胍,然后每天一次给大鼠灌胃柚皮素-SLNP(25 或 50mg/kg),连续 30 天。我们测量了肾组织中胰岛素和血糖、超氧化物歧化酶、过氧化氢酶和丙二醛的水平。我们还通过 RT-PCR 技术观察了肾组织中白细胞介素-1β、白细胞介素-6 和肿瘤坏死因子-α的信使 RNA 表达。此外,H&E 染色和 Western blot 观察了核因子红细胞 2 相关因子 2/血红素加氧酶/核因子-κB 信号通路的组织病理学变化和蛋白表达。

结果

柚皮素-SLNP 处理后,核因子红细胞 2 相关因子 2 和血红素加氧酶-1 的表达增强,核因子-κB 的表达受到抑制,这是柚皮素-SLNP 的保护机制所致,这不仅是因为它的抗炎作用(通过抑制炎症因子的释放),还因为它的抗氧化活性(通过减少脂质过氧化产物的产生)。

结论

我们发现,柚皮素-SLNP 对链脲佐菌素诱导的糖尿病肾病大鼠具有保护作用,其机制可能是通过核因子红细胞 2 相关因子 2/血红素加氧酶-1/核因子-κB 通路。

https://cdn.ncbi.nlm.nih.gov/pmc/blobs/e85f/7683501/4b5e446afecc/IJN-15-9115-g0001.jpg

文献AI研究员

20分钟写一篇综述,助力文献阅读效率提升50倍。

立即体验

用中文搜PubMed

大模型驱动的PubMed中文搜索引擎

马上搜索

文档翻译

学术文献翻译模型,支持多种主流文档格式。

立即体验