Suppr超能文献

疏水性纳米材料的化学成分和氧化还原修饰与其增强小鼠气道变应原致敏能力的关系。

Role of chemical composition and redox modification of poorly soluble nanomaterials on their ability to enhance allergic airway sensitisation in mice.

机构信息

National Institute for Public Health and the Environment (RIVM), P.O.Box 1, 3720 BA, Bilthoven, The Netherlands.

Department of Pathobiology and Diagnostic Investigation, Michigan State University, East Lansing, MI, USA.

出版信息

Part Fibre Toxicol. 2019 Oct 28;16(1):39. doi: 10.1186/s12989-019-0320-6.

Abstract

BACKGROUND

Engineered nanoparticles (NPs) have been shown to enhance allergic airways disease in mice. However, the influence of the different physicochemical properties of these particles on their adjuvant properties is largely unknown. Here we investigate the effects of chemical composition and redox activity of poorly soluble NPs on their adjuvant potency in a mouse model of airway hypersensitivity.

RESULTS

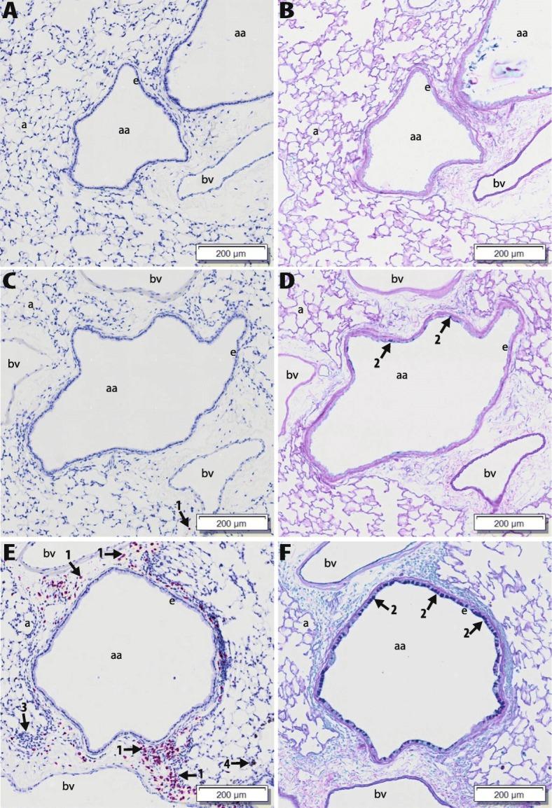
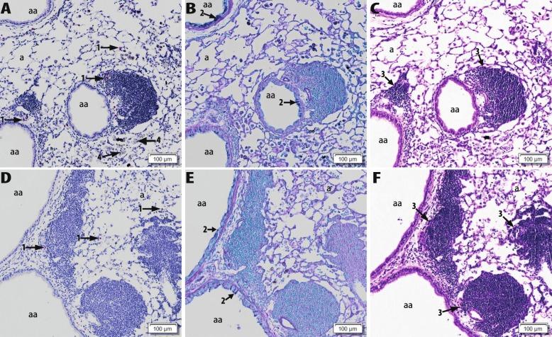
NPs of roughly similar sizes with different chemical composition and redox activity, including CeO, Zr-doped CeO, CoO, Fe-doped CoO(using FeO or FeO) and TiO NPs, all showed adjuvant activity. OVA induced immune responses following intranasal exposure of BALB/c mice to 0.02% OVA in combination with 200 μg NPs during sensitization (on day 1, 3, 6 and 8) and 0.5% OVA only during challenge (day 22, 23 and 24) were more pronounced compared to the same OVA treatment regime without NPs. Changes in OVA-specific IgE and IgG1 plasma levels, differential cell count and cytokines in bronchoalveolar lavage fluid (BALF), and histopathological detection of mucosa cell metaplasia and eosinophil density in the conducting airways were observed. Adjuvant activity of the CeO NPs was primarily mediated via the Th2 response, while that of the CoO NPs was characterised by no or less marked increases in IgE plasma levels, BALF IL-4 and IL-5 concentrations and percentages of eosinophils in BALF and more pronounced increases in BALF IL-6 concentrations and percentages of lymphocytes in BALF. Co-exposure to CoO NPs with OVA and subsequent OVA challenge also induced perivascular and peribronchiolar lymphoid cell accumulation and formation of ectopic lymphoid tissue in lungs. Responses to OVA combined with various NPs were not affected by the amount of doping or redox activity of the NPs.

CONCLUSIONS

The findings indicate that chemical composition of NPs influences both the relative potency of NPs to exacerbate allergic airway sensitization and the type of immune response. However, no relation between the acellular redox activity and the observed adjuvant activity of the different NPs was found. Further research is needed to pinpoint the precise physiological properties of NPs and biological mechanisms determining adjuvant activity in order to facilitate a safe-by-design approach to NP development.

摘要

背景

研究表明,工程纳米颗粒(NPs)可增强小鼠的过敏性气道疾病。然而,这些颗粒的不同物理化学性质对其佐剂特性的影响在很大程度上尚不清楚。在此,我们研究了疏水性 NPs 的化学成分和氧化还原活性对其在小鼠气道高反应性模型中佐剂效力的影响。

结果

具有不同化学成分和氧化还原活性的 NPs,包括 CeO、Zr 掺杂的 CeO、CoO、Fe 掺杂的 CoO(使用 FeO 或 FeO)和 TiO NPs,大小大致相似,均显示出佐剂活性。OVA 诱导 BALB/c 小鼠的免疫反应:在致敏阶段(第 1、3、6 和 8 天),将 0.02%OVA 与 200μg NPs 联合鼻腔内给药,在第 22、23 和 24 天,仅用 0.5%OVA 进行激发;与没有 NPs 的相同 OVA 处理方案相比,OVA 诱导的免疫反应更明显。观察到 OVA 特异性 IgE 和 IgG1 血浆水平、支气管肺泡灌洗液(BALF)中的差异细胞计数和细胞因子、气道黏膜细胞化生和嗜酸性粒细胞密度的组织病理学检测。CeO NPs 的佐剂活性主要通过 Th2 反应介导,而 CoO NPs 的佐剂活性特征为 IgE 血浆水平、BALF 中 IL-4 和 IL-5 浓度以及 BALF 中嗜酸性粒细胞的百分比增加不明显或较少,BALF 中 IL-6 浓度和 BALF 中淋巴细胞的百分比增加更明显。OVA 与 CoO NPs 共暴露,随后进行 OVA 激发,也诱导肺内血管周围和小支气管周围淋巴细胞积聚和异位淋巴组织形成。与各种 NPs 结合的 OVA 反应不受 NPs 掺杂量或氧化还原活性的影响。

结论

研究结果表明,NPs 的化学成分既影响 NPs 加剧过敏性气道致敏的相对效力,也影响免疫反应的类型。然而,没有发现不同 NPs 的无细胞氧化还原活性与观察到的佐剂活性之间存在关系。需要进一步研究以确定 NPs 的精确生理特性和决定佐剂活性的生物学机制,以便促进 NP 开发的安全设计方法。

https://cdn.ncbi.nlm.nih.gov/pmc/blobs/834e/6819391/82f3680266c0/12989_2019_320_Fig1_HTML.jpg

文献AI研究员

20分钟写一篇综述,助力文献阅读效率提升50倍。

立即体验

用中文搜PubMed

大模型驱动的PubMed中文搜索引擎

马上搜索

文档翻译

学术文献翻译模型,支持多种主流文档格式。

立即体验