Suppr超能文献

用于紫杉醇配体导向递送的叶酸功能化聚乙二醇化玉米醇溶蛋白纳米颗粒的研制

Development of Folate-Functionalized PEGylated Zein Nanoparticles for Ligand-Directed Delivery of Paclitaxel.

作者信息

Soe Zar Chi, Ou Wenquan, Gautam Milan, Poudel Kishwor, Kim Bo Kyun, Pham Le Minh, Phung Cao Dai, Jeong Jee-Heon, Jin Sung Giu, Choi Han-Gon, Ku Sae Kwang, Yong Chul Soon, Kim Jong Oh

机构信息

College of Pharmacy, Yeungnam University, 214-1, Dae-Dong, Gyeongsan 712-749, Korea.

Department of Pharmaceutics, University of Pharmacy (Mandalay), Mandalay-Lashio Rd, Mandalay 05011, Myanmar.

出版信息

Pharmaceutics. 2019 Oct 30;11(11):562. doi: 10.3390/pharmaceutics11110562.

Abstract

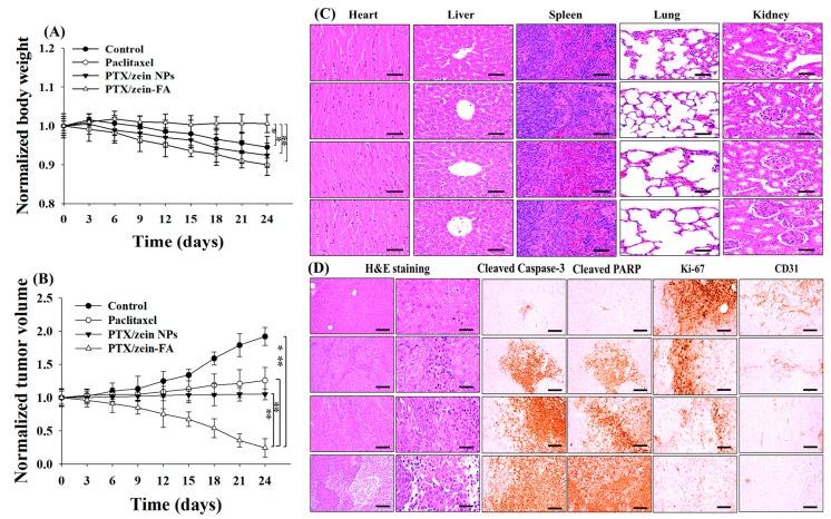
In this study, we investigated the active targeted delivery of a hydrophobic drug, paclitaxel (PTX), via receptor-mediated endocytosis by folate receptors expressed on cancer cells using a protein-based nanoparticle system. PTX was loaded on zein nanoparticles and conjugated with folate (PTX/Zein-FA) to estimate its chemotherapeutic efficacy in folate receptor-expressing KB cancer cells. PTX/Zein-FA nanoparticles were successfully developed, with a nanoparticle size of 180 nm and narrow polydispersity index (0.22). Accelerated release of PTX in an acidic environment was observed for PTX/Zein-FA. An in vitro cellular study of PTX/Zein-FAs in KB cells suggested that PTX/Zein-FA improved the cytotoxic activity of PTX on folate receptors overexpressed in cancer cells by inducing proapoptotic proteins and inhibiting anti-apoptotic proteins. In addition, PTX/Zein-FA exhibited anti-migratory properties and could alter the cell cycle profile of KB cells. A549 cells, which are folate receptor-negative cancer cells, showed no significant enhancement in the in vitro cellular activities of PTX/Zein-FA. We describe the antitumor efficacy of PTX/Zein-FA in KB tumor-bearing mice with minimum toxicity in healthy organs, and the results were confirmed in comparison with free drug and non-targeted nanoparticles.

摘要

在本研究中,我们使用基于蛋白质的纳米颗粒系统,研究了疏水性药物紫杉醇(PTX)通过癌细胞上表达的叶酸受体介导的内吞作用进行主动靶向递送。将PTX负载于玉米醇溶蛋白纳米颗粒上,并与叶酸偶联(PTX/Zein-FA),以评估其在表达叶酸受体的KB癌细胞中的化疗效果。成功制备了PTX/Zein-FA纳米颗粒,其纳米颗粒尺寸约为180 nm,多分散指数较窄(约0.22)。观察到PTX/Zein-FA在酸性环境中PTX加速释放。对KB细胞中PTX/Zein-FA的体外细胞研究表明,PTX/Zein-FA通过诱导促凋亡蛋白和抑制抗凋亡蛋白,提高了PTX对癌细胞中过表达的叶酸受体的细胞毒活性。此外,PTX/Zein-FA表现出抗迁移特性,并可改变KB细胞的细胞周期分布。叶酸受体阴性癌细胞A549细胞中,PTX/Zein-FA的体外细胞活性未显示出显著增强。我们描述了PTX/Zein-FA在荷KB瘤小鼠中的抗肿瘤疗效,对健康器官的毒性最小,并且与游离药物和非靶向纳米颗粒相比,结果得到了证实。

https://cdn.ncbi.nlm.nih.gov/pmc/blobs/e579/6920870/7f43b7eb186b/pharmaceutics-11-00562-g001.jpg

文献AI研究员

20分钟写一篇综述,助力文献阅读效率提升50倍。

立即体验

用中文搜PubMed

大模型驱动的PubMed中文搜索引擎

马上搜索

文档翻译

学术文献翻译模型,支持多种主流文档格式。

立即体验