Suppr超能文献

原发性皮肤诺卡菌病:诺卡菌病的一种罕见表现。

Primary Cutaneous Nocardiosis: A Rare Presentation of Nocardiosis.

作者信息

Tariq Ezza Fatima, Anwar Muhammad M, Khan Usman A

机构信息

Nephrology, Oklahoma University Health Sciences Center, Oklahoma City, USA.

Biochemistry, King Edward Medical University (KEMU) / Mayo Hospital, Lahore, PAK.

出版信息

Cureus. 2019 Oct 7;11(10):e5860. doi: 10.7759/cureus.5860.

Abstract

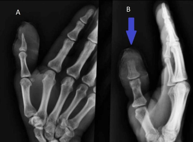
Nocardia is an uncommon gram-positive, weakly acid-fast bacterium that causes systemic or localized suppurative disease in humans and animals. Nocardiosis is typically regarded as an opportunistic infection, but approximately one-third of the patients are immunocompetent. The most common presentation is pulmonary disease (39%) followed by systemic involvement, defined as involvement of more than two sites; cutaneous presentation constitutes only 8% of the cases. Nocardia is widely distributed geographically; however, in the US, it is mostly found in warm and dry areas of South West and South East. We present a perfect case of cutaneous nocardiosis of a 70-year-old male, who presented with a traumatic splinter injury, leading to pustules formation on the right index finger, along with erythema and induration of the right arm. The patient was empirically diagnosed and treated for cellulitis, with amoxicillin and clavulanic acid, resulting in deterioration of the wound. The patient underwent incision and drainage and wound culture grew nocardia. The index of suspicion should be kept in mind while treating infectious blisters which have failed outpatient cellulitis treatment, immunocompromised hosts, and in nocardia prevalent regions.

摘要

诺卡菌是一种罕见的革兰氏阳性、弱抗酸菌,可在人和动物中引起全身性或局部化脓性疾病。诺卡菌病通常被视为一种机会性感染,但约三分之一的患者免疫功能正常。最常见的表现是肺部疾病(39%),其次是全身受累,即累及两个以上部位;皮肤表现仅占病例的8%。诺卡菌在地理上分布广泛;然而,在美国,它主要见于西南部和东南部温暖干燥的地区。我们报告一例70岁男性皮肤诺卡菌病的典型病例,该患者因手指外伤后出现右手食指脓疱,伴有右臂红斑和硬结。患者最初被经验性诊断为蜂窝织炎,并使用阿莫西林和克拉维酸进行治疗,结果伤口恶化。患者接受了切开引流,伤口培养出诺卡菌。在治疗门诊蜂窝织炎治疗无效的感染性水疱、免疫功能低下宿主以及诺卡菌流行地区时,应提高警惕。

https://cdn.ncbi.nlm.nih.gov/pmc/blobs/e6eb/6834106/a1e2806fa4be/cureus-0011-00000005860-i01.jpg

文献AI研究员

20分钟写一篇综述,助力文献阅读效率提升50倍。

立即体验

用中文搜PubMed

大模型驱动的PubMed中文搜索引擎

马上搜索

文档翻译

学术文献翻译模型,支持多种主流文档格式。

立即体验