Suppr超能文献

弱毒活传染性支气管炎病毒 QX 疫苗从接种部位缓慢传播到远离接种部位的靶器官。

Attenuated live infectious bronchitis virus QX vaccine disseminates slowly to target organs distant from the site of inoculation.

机构信息

Department of Pathobiology, Faculty of Veterinary Medicine, Utrecht University, Utrecht, the Netherlands.

Department of Veterinary Medicine, University of Bari, Valenzano, Italy.

出版信息

Vaccine. 2020 Feb 5;38(6):1486-1493. doi: 10.1016/j.vaccine.2019.11.064. Epub 2019 Dec 9.

Abstract

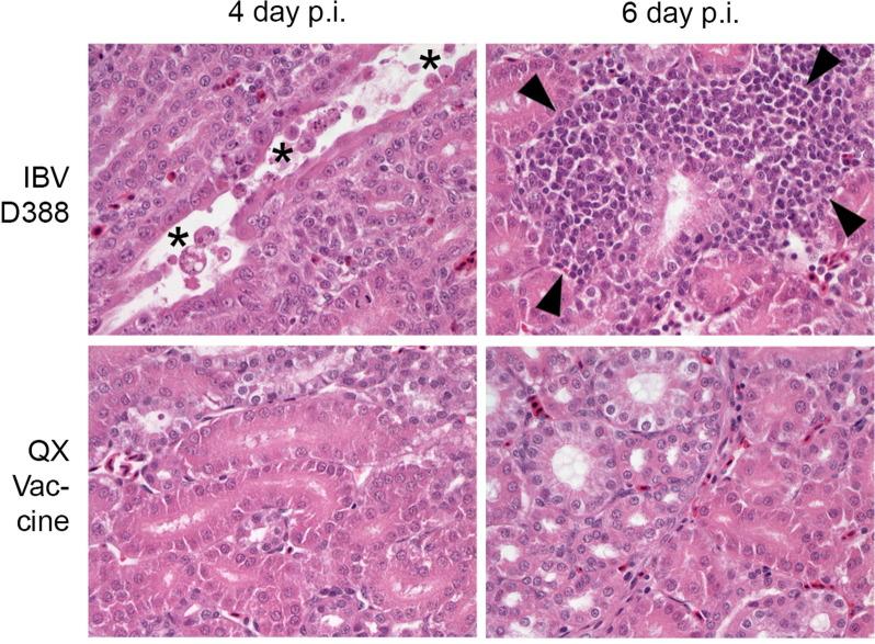
Infectious bronchitis (IB) is a highly contagious respiratory disease of poultry, caused by the avian coronavirus infectious bronchitis virus (IBV). Currently, one of the most relevant genotypes circulating worldwide is IBV-QX (GI-19), for which vaccines have been developed by passaging virulent QX strains in embryonated chicken eggs. Here we explored the attenuated phenotype of a commercially available QX live vaccine, IB Primo QX, in specific pathogens free broilers. At hatch, birds were inoculated with QX vaccine or its virulent progenitor IBV-D388, and postmortem swabs and tissues were collected each day up to eight days post infection to assess viral replication and morphological changes. In the trachea, viral RNA replication and protein expression were comparable in both groups. Both viruses induced morphologically comparable lesions in the trachea, albeit with a short delay in the vaccinated birds. In contrast, in the kidney, QX vaccine viral RNA was nearly absent, which coincided with the lack of any morphological changes in this organ. This was in contrast to high viral RNA titers and abundant lesions in the kidney after IBV D388 infection. Furthermore, QX vaccine showed reduced ability to reach and replicate in conjunctivae and intestines including cloaca, resulting in significantly lower titers and delayed protein expression, respectively. Nephropathogenic IBVs might reach the kidney also via an ascending route from the cloaca, based on our observation that viral RNA was detected in the cloaca one day before detection in the kidney. In the kidney distal tubular segments, collecting ducts and ureter were positive for viral antigen. Taken together, the attenuated phenotype of QX vaccine seems to rely on slower dissemination and lower replication in target tissues other than the site of inoculation.

摘要

传染性支气管炎(IB)是一种高度传染性的家禽呼吸道疾病,由禽冠状病毒传染性支气管炎病毒(IBV)引起。目前,在全球流行的最相关的基因型之一是 IBV-QX(GI-19),针对该病毒已开发出通过在鸡胚中传代强毒 QX 株制成的疫苗。在这里,我们研究了在无特定病原体肉鸡中商业可用的 QX 活疫苗 IB Primo QX 的减毒表型。在孵化时,鸡用 QX 疫苗或其强毒祖先 IBV-D388 接种,在感染后每天采集尸检拭子和组织,以评估病毒复制和形态变化。在气管中,两组病毒的 RNA 复制和蛋白表达相当。两种病毒在气管中引起形态上相似的病变,尽管接种组的病变出现短暂延迟。相比之下,在肾脏中,QX 疫苗病毒 RNA 几乎不存在,这与该器官没有任何形态变化相符。这与 IBV D388 感染后肾脏中高病毒 RNA 滴度和大量病变形成形成鲜明对比。此外,QX 疫苗在结膜和肠道(包括泄殖腔)中的复制能力降低,到达这些组织的能力降低,分别导致病毒滴度显著降低和蛋白表达延迟。根据我们的观察结果,强毒 IBV 可能也通过从泄殖腔上行的途径到达肾脏,即在肾脏中检测到病毒 RNA 之前一天,在泄殖腔中检测到了病毒 RNA。在肾脏远端肾小管段、集合管和输尿管中检测到病毒抗原。总之,QX 疫苗的减毒表型似乎依赖于在除接种部位以外的靶组织中的传播速度较慢和复制水平较低。

https://cdn.ncbi.nlm.nih.gov/pmc/blobs/40a1/7115521/1047b916fdbe/gr1_lrg.jpg

文献AI研究员

20分钟写一篇综述,助力文献阅读效率提升50倍。

立即体验

用中文搜PubMed

大模型驱动的PubMed中文搜索引擎

马上搜索

文档翻译

学术文献翻译模型,支持多种主流文档格式。

立即体验