Suppr超能文献

Sesnrin 通过整合合成代谢和分解代谢信号来防止失用和衰老肌肉的萎缩。

Sestrin prevents atrophy of disused and aging muscles by integrating anabolic and catabolic signals.

机构信息

Department of Experimental & Health Sciences, University Pompeu Fabra, CIBERNED, 08003, Barcelona, Spain.

Centro Nacional de Investigaciones Cardiovasculares, 28019, Madrid, Spain.

出版信息

Nat Commun. 2020 Jan 13;11(1):189. doi: 10.1038/s41467-019-13832-9.

Abstract

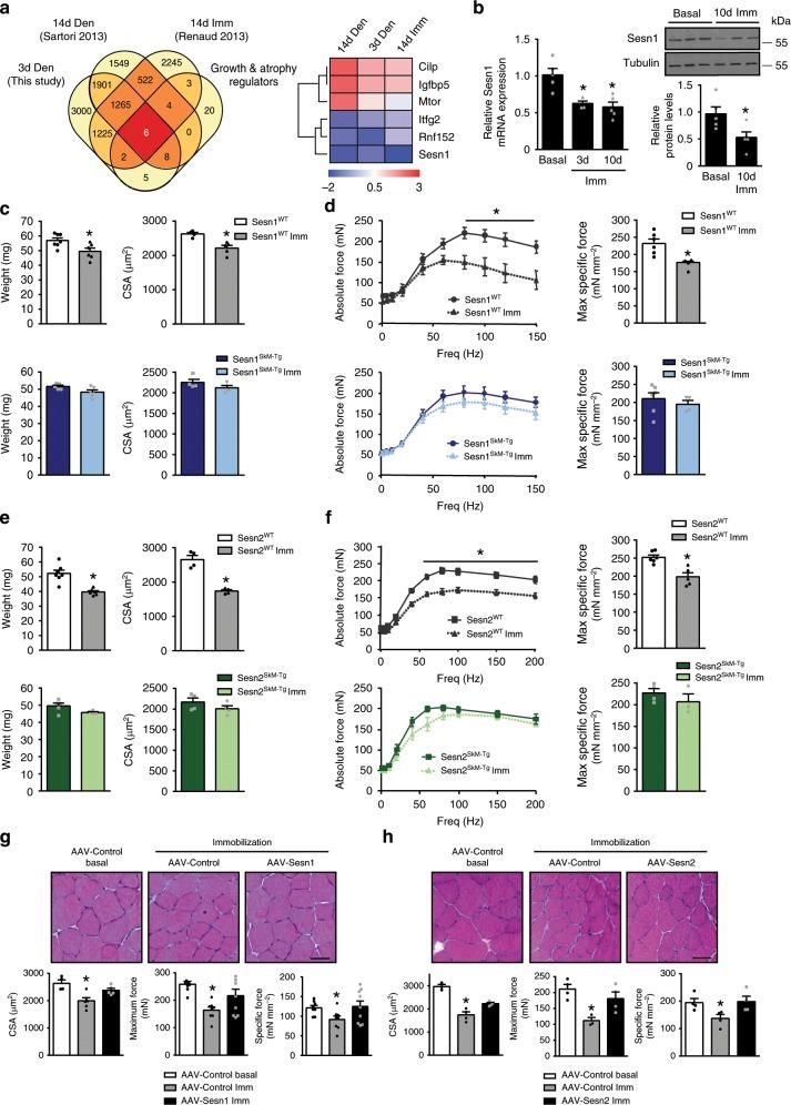
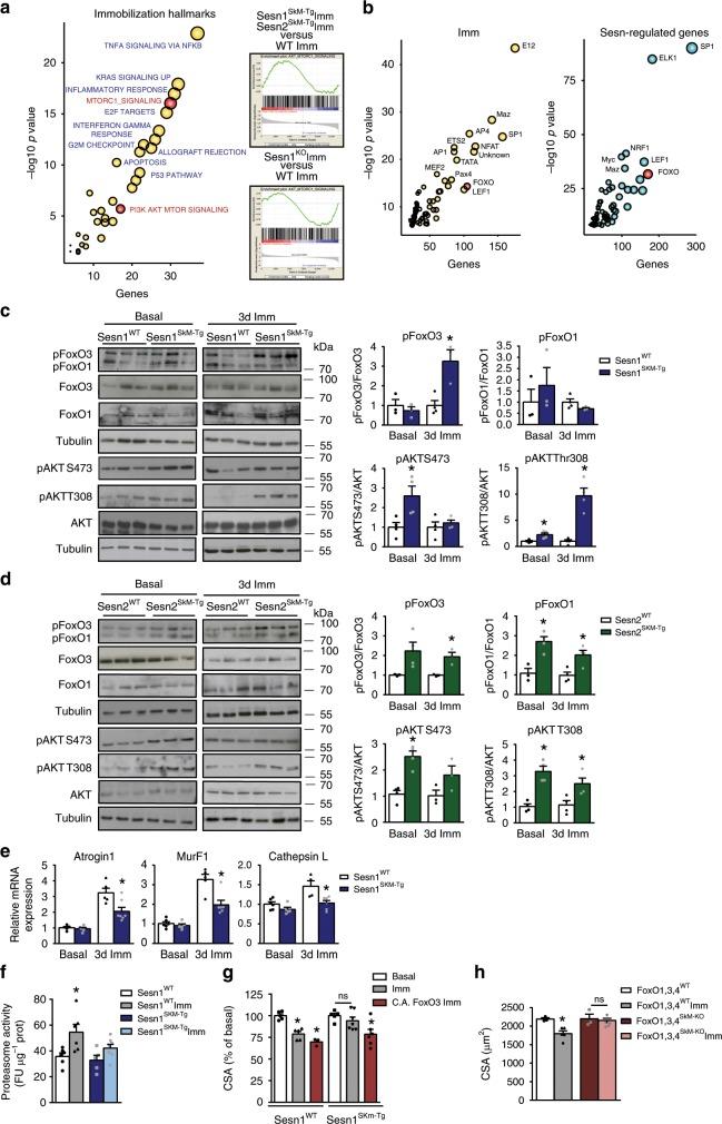
A unique property of skeletal muscle is its ability to adapt its mass to changes in activity. Inactivity, as in disuse or aging, causes atrophy, the loss of muscle mass and strength, leading to physical incapacity and poor quality of life. Here, through a combination of transcriptomics and transgenesis, we identify sestrins, a family of stress-inducible metabolic regulators, as protective factors against muscle wasting. Sestrin expression decreases during inactivity and its genetic deficiency exacerbates muscle wasting; conversely, sestrin overexpression suffices to prevent atrophy. This protection occurs through mTORC1 inhibition, which upregulates autophagy, and AKT activation, which in turn inhibits FoxO-regulated ubiquitin-proteasome-mediated proteolysis. This study reveals sestrin as a central integrator of anabolic and degradative pathways preventing muscle wasting. Since sestrin also protected muscles against aging-induced atrophy, our findings have implications for sarcopenia.

摘要

骨骼肌的一个独特特性是其能够根据活动的变化来调整其质量。不活动,如失用或衰老,会导致萎缩,即肌肉质量和力量的丧失,导致身体机能下降和生活质量下降。在这里,我们通过转录组学和转基因技术的结合,确定 sestrins(一种应激诱导的代谢调节剂家族)是对抗肌肉萎缩的保护因子。在不活动期间 sestrins 的表达减少,其遗传缺陷会加剧肌肉萎缩;相反, sestrins 的过表达足以防止萎缩。这种保护作用是通过 mTORC1 的抑制来实现的,它上调自噬,而 AKT 的激活又反过来抑制 FoxO 调节的泛素蛋白酶体介导致的蛋白水解。这项研究揭示了 sestrins 是防止肌肉萎缩的合成代谢和分解代谢途径的中央整合因子。由于 sestrins 也能保护肌肉免受衰老引起的萎缩,因此我们的发现对肌肉减少症具有重要意义。

https://cdn.ncbi.nlm.nih.gov/pmc/blobs/feed/6955241/4b3f9163c8ea/41467_2019_13832_Fig1_HTML.jpg

文献AI研究员

20分钟写一篇综述,助力文献阅读效率提升50倍。

立即体验

用中文搜PubMed

大模型驱动的PubMed中文搜索引擎

马上搜索

文档翻译

学术文献翻译模型,支持多种主流文档格式。

立即体验