Suppr超能文献

头颈部癌中肿瘤相关成纤维细胞和 podoplanin 的免疫组织化学分析。

Immunohistochemical analysis of cancer-associated fibroblasts and podoplanin in head and neck cancer.

机构信息

Department of Basic Biomedical Sciences University of Talca Lircay Avenue w/n, Talca, Chile

出版信息

Med Oral Patol Oral Cir Bucal. 2020 Mar 1;25(2):e268-e276. doi: 10.4317/medoral.23335.

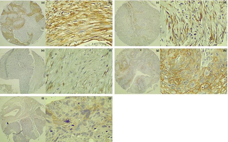
Abstract

BACKGROUND

To immunohistochemically evaluate the association between the presence of cancer-associated fibroblasts (CAFs) and the tumour expression of podoplanin (PDPN) in head and neck squamous cell carcinoma (HNSCC) and their association with clinicopathological variables.

MATERIAL AND METHODS

A tissue microarray (TMA) with biopsy sections from patients diagnosed with HNSCC was stained with antibodies against the CAFs marker, α-smooth muscle actin (α-SMA), and PDPN. We subsequently evaluated their expression to determine the association between them and with clinicopathological variables including age, primary tumour site, TNM stage, and tumour differentiation grade.

RESULTS

Positive reaction to α-SMA was observed in the tumour stroma, revealing spindle-shaped cells compatible with CAFs, which showed a high expression in 62% of cases and a significant association with laryngeal carcinomas, advanced clinical stages, and lower tumour differentiation (P ≤ 0.05). PDPN staining on tumour cells showed low expression in 72% of cases, and it was not associated with any clinicopathological variable or with the presence of CAFs.

CONCLUSIONS

The presence of CAFs in the tumour stroma is related to an aggressive phenotype and could increase as the disease progresses, although based on our findings, it would have no relationship, at least directly, with the expression of PDPN.

摘要

背景

免疫组织化学评估头颈部鳞状细胞癌(HNSCC)中癌症相关成纤维细胞(CAFs)的存在与肿瘤细胞 podoplanin(PDPN)表达之间的关系及其与临床病理变量的关系。

材料与方法

对诊断为 HNSCC 的患者的组织微阵列(TMA)进行了针对 CAFs 标志物α-平滑肌肌动蛋白(α-SMA)和 PDPN 的抗体染色。随后评估了它们的表达,以确定它们之间以及与临床病理变量(包括年龄、原发肿瘤部位、TNM 分期和肿瘤分化程度)之间的关联。

结果

肿瘤基质中观察到 α-SMA 的阳性反应,显示出与 CAFs 相容的梭形细胞,在 62%的病例中表达较高,与喉癌、临床晚期和肿瘤分化程度较低显著相关(P ≤ 0.05)。肿瘤细胞上的 PDPN 染色在 72%的病例中表达较低,与任何临床病理变量或 CAFs 的存在均无关联。

结论

肿瘤基质中 CAFs 的存在与侵袭性表型有关,并且随着疾病的进展可能会增加,尽管根据我们的发现,它与 PDPN 的表达至少没有直接关系。

https://cdn.ncbi.nlm.nih.gov/pmc/blobs/12f6/7103444/31448c39dcbb/medoral-25-e268-g001.jpg

文献AI研究员

20分钟写一篇综述,助力文献阅读效率提升50倍。

立即体验

用中文搜PubMed

大模型驱动的PubMed中文搜索引擎

马上搜索

文档翻译

学术文献翻译模型,支持多种主流文档格式。

立即体验