Suppr超能文献

西伯利亚黄精多糖对 D-半乳糖致衰老模型大鼠的保护作用。

Protective effect of Polygonatum sibiricum Polysaccharide on D-galactose-induced aging rats model.

机构信息

Pharmacy Department, Foshan Women And Children Hospital Affiliated to Southern Medical University, Foshan, P.R. China.

出版信息

Sci Rep. 2020 Feb 10;10(1):2246. doi: 10.1038/s41598-020-59055-7.

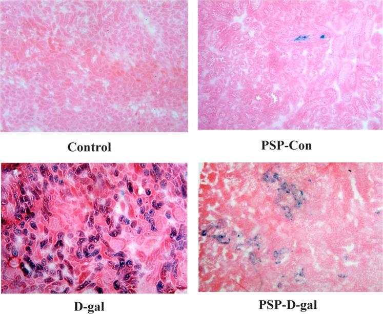
Abstract

The polysaccharide of Polygonatum sibiricum (PSP)is one of the main active ingredients of Polygonatum Polygonatum in Liliaceae. It has anti-tumor, anti-aging, immune regulation, and anti-oxidative effects. Recent studies have shown that the Klotho gene and fibroblast growth factor-23 (FGF-23) have a common receptor, which is closely related to aging and highly expressed in kidney and meninges. Our study aimed to investigate the anti-aging effect of PSP on D-galactose-induced rats and its mechanism. D-galactose (120 mg Kg) and PSP (100 mg Kg) was used to intervene in rats, respectively. Then The changes of indexes of the natural aging-like model rats before and after PSP intervention were observed. We found that PSP could significantly improve the learning and memory abilities of rats and reverse the pathological changes of kidney tissues in rats. At the same time, PSP up-regulated the expression of Klotho mRNA and Klotho protein in the renal cortex, down-regulated the expression of FOXO3a mRNA and p-FOXO3a protein in renal tissue, and inhibited the expression of FGF-23 protein in the femur. Our studies suggest that PSP may play a role by regulating the Klotho-FGF23 endocrine axis, alleviating oxidative stress, and balancing calcium and phosphorus metabolism.

摘要

西伯利亚黄精多糖(PSP)是百合科黄精属植物黄精的主要活性成分之一,具有抗肿瘤、抗衰老、免疫调节、抗氧化等作用。近年来的研究表明,Klotho 基因与成纤维细胞生长因子-23(FGF-23)具有共同的受体,该受体与衰老密切相关,在肾脏和脑膜中高度表达。本研究旨在探讨 PSP 对 D-半乳糖诱导的大鼠的抗衰老作用及其机制。分别用 D-半乳糖(120mg/kg)和 PSP(100mg/kg)干预大鼠,观察 PSP 干预前后自然衰老模型大鼠各项指标的变化。结果发现,PSP 能明显改善大鼠的学习记忆能力,逆转大鼠肾脏组织的病理变化。同时,PSP 上调了肾脏皮质中 Klotho mRNA 和 Klotho 蛋白的表达,下调了肾脏组织中 FOXO3a mRNA 和 p-FOXO3a 蛋白的表达,抑制了股骨中 FGF-23 蛋白的表达。本研究提示 PSP 可能通过调节 Klotho-FGF23 内分泌轴、减轻氧化应激、平衡钙磷代谢发挥作用。

https://cdn.ncbi.nlm.nih.gov/pmc/blobs/7221/7010663/cf24e3c61325/41598_2020_59055_Fig1_HTML.jpg

文献AI研究员

20分钟写一篇综述,助力文献阅读效率提升50倍。

立即体验

用中文搜PubMed

大模型驱动的PubMed中文搜索引擎

马上搜索

文档翻译

学术文献翻译模型,支持多种主流文档格式。

立即体验