Suppr超能文献

靶向 STAT3 增强 NDV 诱导的前列腺癌细胞免疫原性细胞死亡。

Targeting STAT3 enhances NDV-induced immunogenic cell death in prostate cancer cells.

机构信息

Department of Medical Oncology, Shanghai Tenths People's Hospital, School of Medicine, Tongji University, Shanghai, China.

Department of Radio therapy, Hwa Mei Hospital, University of Chinese Academy of Science, Ningbo, Zhejiang, China.

出版信息

J Cell Mol Med. 2020 Apr;24(7):4286-4297. doi: 10.1111/jcmm.15089. Epub 2020 Feb 26.

Abstract

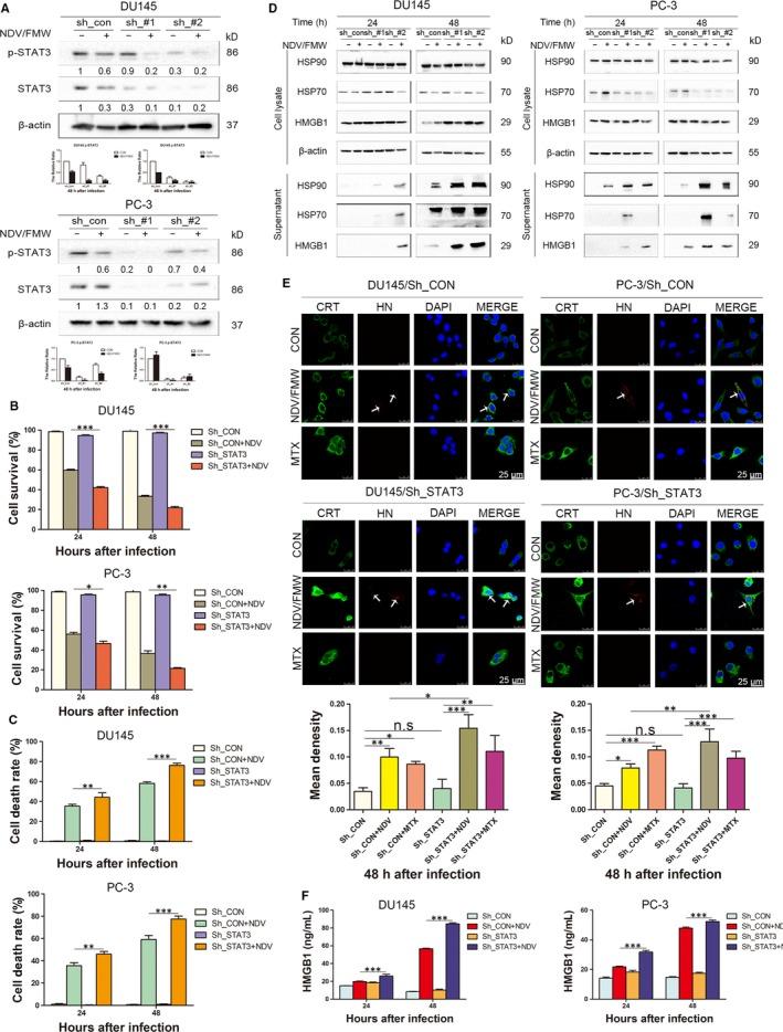
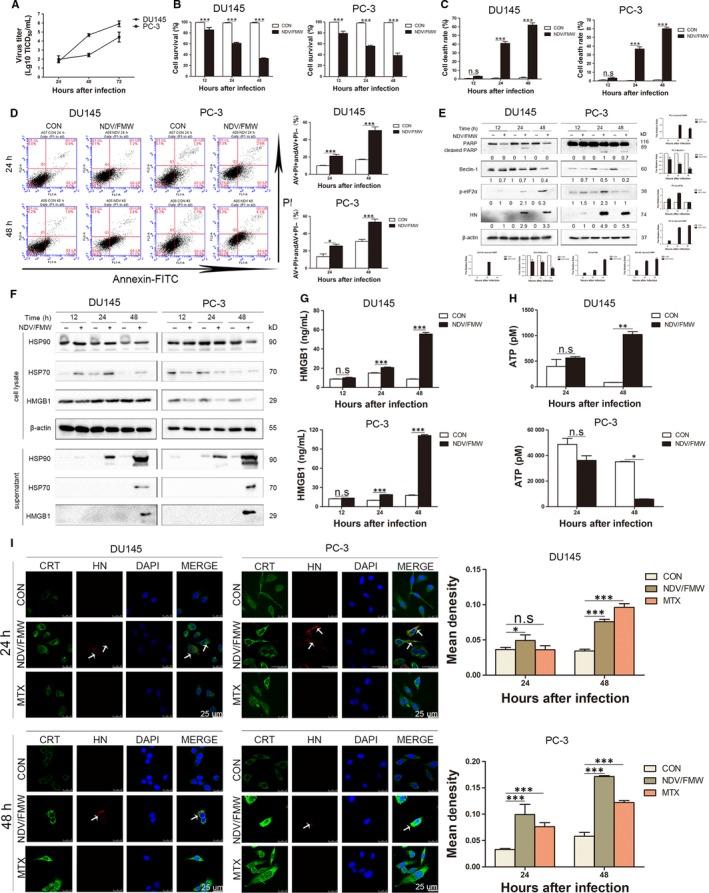
Oncolytic Newcastle disease virus (NDV) induces immunogenic cell death (ICD), liberating danger-associated molecular patterns (DAMPs) that provokes defiance in neoplastic malignancy. The present study aims to investigate whether and how oncolytic NDV triggers ICD in prostate cancer cells. We show that NDV/FMW, an oncolytic NDV strain FMW, elicited the expression and release of several ICD markers, that is calreticulin (CRT), heat shock proteins (HSP70/90) and high-mobility group box 1 (HMGB1), in prostate cancer cells. Furthermore, pharmacological repression of apoptosis, necroptosis, autophagy or endoplasmic reticulum (ER) stress exerted diverse effects on the HMGB1 and HSP70/90 evacuation in NDV/FMW-infected prostate cancer cells. Moreover, ICD markers induced in prostate cancer cells upon NDV/FMW infection, were enhanced by either treatment with a STAT3 (signal transducer and activator of transcription 3) inhibitor or shRNA-mediated knockdown of STAT3. In nude mice bearing prostate cancer cell-derived tumours, the tumours injected with the supernatants of NDV/FMW-infected cells grew smaller than mock-treated tumours. These results indicate that oncolytic NDV provokes the expression of ICD makers in prostate cancer cells. Our data also suggest that a combination of inhibition of STAT3 with oncolytic NDV could boost NDV-based anti-tumour effects against prostate cancer.

摘要

溶瘤性新城疫病毒(NDV)诱导免疫原性细胞死亡(ICD),释放危险相关分子模式(DAMPs),从而激发肿瘤恶性肿瘤的反抗。本研究旨在探讨溶瘤性 NDV 是否以及如何在前列腺癌细胞中触发 ICD。我们表明,溶瘤性 NDV 株 FMW 引发了前列腺癌细胞中几种 ICD 标志物的表达和释放,即钙网织蛋白(CRT)、热休克蛋白(HSP70/90)和高迁移率族蛋白 B1(HMGB1)。此外,凋亡、坏死性凋亡、自噬或内质网(ER)应激的药理学抑制对 NDV/FMW 感染的前列腺癌细胞中 HMGB1 和 HSP70/90 的排出有不同的影响。此外,在 NDV/FMW 感染的前列腺癌细胞中诱导的 ICD 标志物,通过用 STAT3(信号转导和转录激活因子 3)抑制剂处理或用 STAT3 shRNA 介导的敲低增强。在携带前列腺癌细胞衍生肿瘤的裸鼠中,用 NDV/FMW 感染细胞的上清液注射的肿瘤比模拟治疗的肿瘤生长得更小。这些结果表明,溶瘤性 NDV 可引发前列腺癌细胞中 ICD 标志物的表达。我们的数据还表明,STAT3 抑制与溶瘤性 NDV 的联合使用可能会增强基于 NDV 的针对前列腺癌的抗肿瘤作用。

https://cdn.ncbi.nlm.nih.gov/pmc/blobs/a972/7171322/1e53ee30e378/JCMM-24-4286-g001.jpg

文献AI研究员

20分钟写一篇综述,助力文献阅读效率提升50倍。

立即体验

用中文搜PubMed

大模型驱动的PubMed中文搜索引擎

马上搜索

文档翻译

学术文献翻译模型,支持多种主流文档格式。

立即体验