Suppr超能文献

长非编码 RNA RP11-284P20.2 通过招募 EIF3b 诱导 c-met 蛋白合成促进肝癌细胞增殖和侵袭。

Long non-coding RNA RP11-284P20.2 promotes cell proliferation and invasion in hepatocellular carcinoma by recruiting EIF3b to induce c-met protein synthesis.

机构信息

Department of Hepatobiliary Surgery, Zhongshan Hospital of Xiamen University, Hubin South Road, No. 201-209, Siming District, Xiamen 361004, China.

Fujian Provincial Key Laboratory of Chronic Liver Disease and Hepatocellular Carcinoma, Zhongshan Hospital of Xiamen University, Hubin South Road, No. 201-209, Siming District, Xiamen 361004, China.

出版信息

Biosci Rep. 2020 Mar 27;40(3). doi: 10.1042/BSR20200297.

Abstract

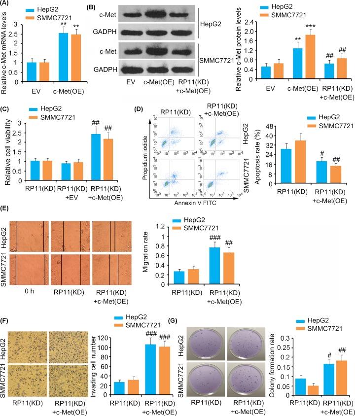
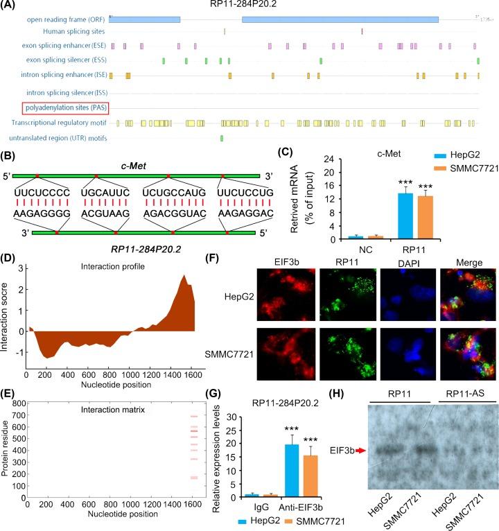
A newly identified lncRNA designated as RP11-284P20.2 has been identified to be up-regulated in hepatocellular carcinoma (HCC), but its role in HCC remain poorly understood. Quantitative PCR and immunocytochemical analysis were performed using the HCC tissues to identify the potential interaction partners of RP11-284P20.2. Moreover, RP11-284P20.2 was knocked down in HCC cell lines, HepG2 and SMMC7721, to investigate the influence of this lncRNA on cell growth properties. Additionally, RNA fluorescence in situ hybridization and immunofluorescence, RNA immunoprecipitation, and RNA pull-down assays were performed to determine the interaction of RP11-284P20.2 with c-met mRNA and eukaryotic translation initiation factor 3b (EIF3b). Silencing RP11-284P20.2 inhibited cell viability, migration, invasion, and colony formation, and increased apoptosis. Overexpression of c-met abolished these effects of RP11-284P20.2 in HCC cells. Histopathological examination showed that HCC tissues with high RP11-284P20.2 expression had higher c-met protein level than that in HCC tissues with low RP11-284P20.2 expression. However, there was no positive correlation between the expression levels of RP11-284P20.2 and c-met mRNA. RP11-284P20.2 knockdown led to a decease in c-met protein expression level, but did not affect the c-met mRNA expression level. These data suggest that RP11-284P20.2 regulates c-met protein expression level, which is independent of c-Met mRNA expression level. It was also confirmed that RP11-284P20.2 has high affinity toward both c-met mRNA and EIF3b protein, and hence RP11-284P20.2 probably recruits EIF3b protein to c-met mRNA and further facilitates its translation. RP11-284P20.2 promotes cell proliferation and invasion in hepatocellular carcinoma by recruiting EIF3b to induce c-met protein synthesis.

摘要

新鉴定的长非编码 RNA(lncRNA)命名为 RP11-284P20.2,在肝癌(HCC)中上调,但其在 HCC 中的作用仍知之甚少。使用 HCC 组织进行定量 PCR 和免疫细胞化学分析,以鉴定 RP11-284P20.2 的潜在相互作用伙伴。此外,在 HCC 细胞系 HepG2 和 SMMC7721 中敲低 RP11-284P20.2,以研究该 lncRNA 对细胞生长特性的影响。此外,进行 RNA 荧光原位杂交和免疫荧光、RNA 免疫沉淀和 RNA 下拉实验,以确定 RP11-284P20.2 与 c-met mRNA 和真核翻译起始因子 3b(EIF3b)的相互作用。沉默 RP11-284P20.2 抑制细胞活力、迁移、侵袭和集落形成,并增加细胞凋亡。c-met 的过表达消除了 RP11-284P20.2 在 HCC 细胞中的这些作用。组织病理学检查显示,高表达 RP11-284P20.2 的 HCC 组织中 c-met 蛋白水平高于低表达 RP11-284P20.2 的 HCC 组织。然而,RP11-284P20.2 的表达水平与 c-met mRNA 的表达水平之间没有正相关关系。RP11-284P20.2 敲低导致 c-met 蛋白表达水平下降,但不影响 c-met mRNA 表达水平。这些数据表明,RP11-284P20.2 调节 c-met 蛋白表达水平,而不依赖于 c-Met mRNA 表达水平。还证实 RP11-284P20.2 对 c-met mRNA 和 EIF3b 蛋白均具有高亲和力,因此 RP11-284P20.2 可能招募 EIF3b 蛋白至 c-met mRNA,并进一步促进其翻译。RP11-284P20.2 通过招募 EIF3b 诱导 c-met 蛋白合成,促进肝癌细胞增殖和侵袭。

https://cdn.ncbi.nlm.nih.gov/pmc/blobs/d04c/7069891/b2f4e2ae7377/bsr-40-bsr20200297-g1.jpg

文献AI研究员

20分钟写一篇综述,助力文献阅读效率提升50倍。

立即体验

用中文搜PubMed

大模型驱动的PubMed中文搜索引擎

马上搜索

文档翻译

学术文献翻译模型,支持多种主流文档格式。

立即体验