Suppr超能文献

半胱天冬酶-11 促进过敏性气道炎症。

Caspase-11 promotes allergic airway inflammation.

机构信息

School of Biochemistry and Immunology, Trinity Biomedical Sciences Institute (TBSI)Trinity College Dublin, Dublin, Ireland.

Department of Biochemistry, Faculty of Medicine, Justus Liebig University, Giessen, Germany.

出版信息

Nat Commun. 2020 Feb 26;11(1):1055. doi: 10.1038/s41467-020-14945-2.

Abstract

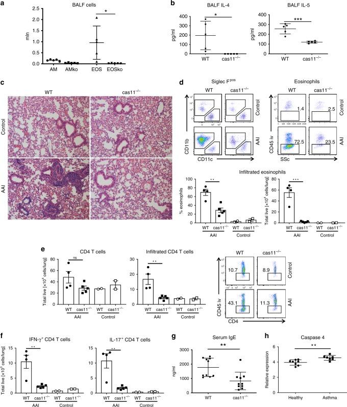
Activated caspase-1 and caspase-11 induce inflammatory cell death in a process termed pyroptosis. Here we show that Prostaglandin E (PGE) inhibits caspase-11-dependent pyroptosis in murine and human macrophages. PGE suppreses caspase-11 expression in murine and human macrophages and in the airways of mice with allergic inflammation. Remarkably, caspase-11-deficient mice are strongly resistant to developing experimental allergic airway inflammation, where PGE is known to be protective. Expression of caspase-11 is elevated in the lung of wild type mice with allergic airway inflammation. Blocking PGE production with indomethacin enhances, whereas the prostaglandin E analog misoprostol inhibits lung caspase-11 expression. Finally, alveolar macrophages from asthma patients exhibit increased expression of caspase-4, a human homologue of caspase-11. Our findings identify PGE as a negative regulator of caspase-11-driven pyroptosis and implicate caspase-4/11 as a critical contributor to allergic airway inflammation, with implications for pathophysiology of asthma.

摘要

半胱氨酸天冬氨酸蛋白酶 1(caspase-1)和 caspase-11 可诱导细胞发生炎症性死亡,这一过程被称为细胞焦亡。本文作者发现前列腺素 E(PGE)可抑制小鼠和人源巨噬细胞中的 caspase-11 依赖性细胞焦亡。PGE 可抑制小鼠和人源巨噬细胞以及过敏性炎症小鼠气道中的 caspase-11 表达。值得注意的是,caspase-11 缺陷型小鼠对实验性过敏性气道炎症具有很强的抵抗力,而 PGE 已知对其具有保护作用。在过敏性气道炎症的野生型小鼠的肺部,caspase-11 的表达水平升高。用吲哚美辛阻断 PGE 生成可增强,而前列腺素 E 类似物米索前列醇则可抑制肺 caspase-11 的表达。最后,哮喘患者的肺泡巨噬细胞中 caspase-4(caspase-11 的人类同源物)的表达增加。这些发现表明 PGE 是 caspase-11 驱动的细胞焦亡的负调控因子,并提示 caspase-4/11 是过敏性气道炎症的关键贡献者,这与哮喘的病理生理学有关。

https://cdn.ncbi.nlm.nih.gov/pmc/blobs/dfbe/7044193/5392fa65ebca/41467_2020_14945_Fig1_HTML.jpg

文献AI研究员

20分钟写一篇综述,助力文献阅读效率提升50倍。

立即体验

用中文搜PubMed

大模型驱动的PubMed中文搜索引擎

马上搜索

文档翻译

学术文献翻译模型,支持多种主流文档格式。

立即体验