Suppr超能文献

中国武汉 81 例新冠肺炎患者的放射学特征:一项描述性研究。

Radiological findings from 81 patients with COVID-19 pneumonia in Wuhan, China: a descriptive study.

机构信息

Department of Radiology, Union Hospital, Tongji Medical College, Huazhong University of Science and Technology, Wuhan, Hubei, China; Hubei Province Key Laboratory of Molecular Imaging, Wuhan, Hubei, China.

Department of Radiology, Wuhan Jinyintan Hospital, Wuhan, Hubei, China.

出版信息

Lancet Infect Dis. 2020 Apr;20(4):425-434. doi: 10.1016/S1473-3099(20)30086-4. Epub 2020 Feb 24.

Abstract

BACKGROUND

A cluster of patients with coronavirus disease 2019 (COVID-19) pneumonia caused by infection with severe acute respiratory syndrome coronavirus 2 (SARS-CoV-2) were successively reported in Wuhan, China. We aimed to describe the CT findings across different timepoints throughout the disease course.

METHODS

Patients with COVID-19 pneumonia (confirmed by next-generation sequencing or RT-PCR) who were admitted to one of two hospitals in Wuhan and who underwent serial chest CT scans were retrospectively enrolled. Patients were grouped on the basis of the interval between symptom onset and the first CT scan: group 1 (subclinical patients; scans done before symptom onset), group 2 (scans done ≤1 week after symptom onset), group 3 (>1 week to 2 weeks), and group 4 (>2 weeks to 3 weeks). Imaging features and their distribution were analysed and compared across the four groups.

FINDINGS

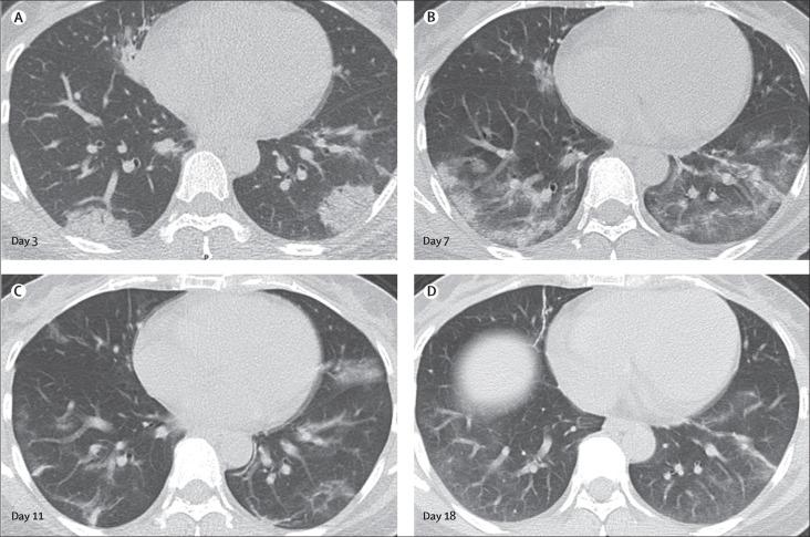
81 patients admitted to hospital between Dec 20, 2019, and Jan 23, 2020, were retrospectively enrolled. The cohort included 42 (52%) men and 39 (48%) women, and the mean age was 49·5 years (SD 11·0). The mean number of involved lung segments was 10·5 (SD 6·4) overall, 2·8 (3·3) in group 1, 11·1 (5·4) in group 2, 13·0 (5·7) in group 3, and 12·1 (5·9) in group 4. The predominant pattern of abnormality observed was bilateral (64 [79%] patients), peripheral (44 [54%]), ill-defined (66 [81%]), and ground-glass opacification (53 [65%]), mainly involving the right lower lobes (225 [27%] of 849 affected segments). In group 1 (n=15), the predominant pattern was unilateral (nine [60%]) and multifocal (eight [53%]) ground-glass opacities (14 [93%]). Lesions quickly evolved to bilateral (19 [90%]), diffuse (11 [52%]) ground-glass opacity predominance (17 [81%]) in group 2 (n=21). Thereafter, the prevalence of ground-glass opacities continued to decrease (17 [57%] of 30 patients in group 3, and five [33%] of 15 in group 4), and consolidation and mixed patterns became more frequent (12 [40%] in group 3, eight [53%] in group 4).

INTERPRETATION

COVID-19 pneumonia manifests with chest CT imaging abnormalities, even in asymptomatic patients, with rapid evolution from focal unilateral to diffuse bilateral ground-glass opacities that progressed to or co-existed with consolidations within 1-3 weeks. Combining assessment of imaging features with clinical and laboratory findings could facilitate early diagnosis of COVID-19 pneumonia.

FUNDING

None.

摘要

背景

在中国武汉,陆续报告了一系列由严重急性呼吸综合征冠状病毒 2(SARS-CoV-2)感染引起的 2019 年冠状病毒病(COVID-19)肺炎患者。本研究旨在描述疾病过程中不同时间点的 CT 表现。

方法

我们回顾性纳入了在武汉两家医院住院并接受连续胸部 CT 扫描的 COVID-19 肺炎患者(通过下一代测序或 RT-PCR 确诊)。患者根据症状出现与第一次 CT 扫描之间的时间间隔分组:组 1(亚临床患者;在症状出现前进行扫描),组 2(症状出现后≤1 周进行扫描),组 3(1 周至 2 周)和组 4(2 周至 3 周)。分析并比较了四个组之间的影像学特征及其分布。

结果

我们回顾性纳入了 2019 年 12 月 20 日至 2020 年 1 月 23 日期间住院的 81 名患者。该队列包括 42 名(52%)男性和 39 名(48%)女性,平均年龄为 49.5 岁(标准差 11.0)。总体而言,受累肺段数的平均值为 10.5(6.4),组 1 为 2.8(3.3),组 2 为 11.1(5.4),组 3 为 13.0(5.7),组 4 为 12.1(5.9)。观察到的主要异常表现模式为双侧(64 [79%] 例)、外周(44 [54%])、边界不清(66 [81%])和磨玻璃影(53 [65%]),主要累及右下肺叶(225 [27%] 个受累肺段)。在组 1(n=15)中,主要表现为单侧(9 [60%])和多灶性(8 [53%])磨玻璃影(14 [93%])。在组 2(n=21)中,病变迅速发展为双侧(19 [90%])、弥漫性(11 [52%])磨玻璃影为主(17 [81%])。此后,磨玻璃影的患病率继续下降(组 3 中有 30 例患者中的 17 例[57%],组 4 中有 15 例中的 5 例[33%]),实变和混合模式变得更加频繁(组 3 中有 12 例[40%],组 4 中有 8 例[53%])。

结论

COVID-19 肺炎表现为胸部 CT 影像学异常,即使在无症状患者中也是如此,在 1-3 周内从局灶性单侧迅速发展为弥漫性双侧磨玻璃影,并进展或共存实变。结合影像学特征与临床和实验室检查结果进行评估,有助于早期诊断 COVID-19 肺炎。

资助

无。

https://cdn.ncbi.nlm.nih.gov/pmc/blobs/a40f/7159053/51498fb065cb/gr1_lrg.jpg

文献AI研究员

20分钟写一篇综述,助力文献阅读效率提升50倍。

立即体验

用中文搜PubMed

大模型驱动的PubMed中文搜索引擎

马上搜索

文档翻译

学术文献翻译模型,支持多种主流文档格式。

立即体验