Suppr超能文献

成人呼吸机相关性肺炎:叙述性综述。

Ventilator-associated pneumonia in adults: a narrative review.

机构信息

Médecine Intensive Réanimation, Hôpital Nord, Hôpitaux de Marseille, Chemin des Bourrely, 13015, Marseille, France.

Centre d'Etudes et de Recherches sur les Services de Santé et qualité de vie EA 3279, Groupe de recherche en Réanimation et Anesthésie de Marseille pluridisciplinaire (GRAM +), Faculté de médecine, Aix-Marseille Université, 13005, Marseille, France.

出版信息

Intensive Care Med. 2020 May;46(5):888-906. doi: 10.1007/s00134-020-05980-0. Epub 2020 Mar 10.

Abstract

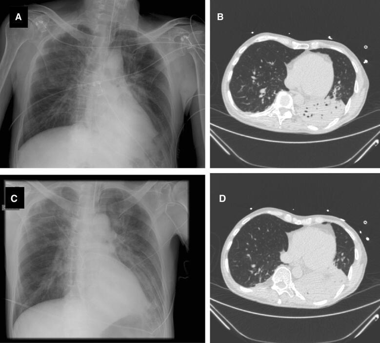
Ventilator-associated pneumonia (VAP) is one of the most frequent ICU-acquired infections. Reported incidences vary widely from 5 to 40% depending on the setting and diagnostic criteria. VAP is associated with prolonged duration of mechanical ventilation and ICU stay. The estimated attributable mortality of VAP is around 10%, with higher mortality rates in surgical ICU patients and in patients with mid-range severity scores at admission. Microbiological confirmation of infection is strongly encouraged. Which sampling method to use is still a matter of controversy. Emerging microbiological tools will likely modify our routine approach to diagnosing and treating VAP in the next future. Prevention of VAP is based on minimizing the exposure to mechanical ventilation and encouraging early liberation. Bundles that combine multiple prevention strategies may improve outcomes, but large randomized trials are needed to confirm this. Treatment should be limited to 7 days in the vast majority of the cases. Patients should be reassessed daily to confirm ongoing suspicion of disease, antibiotics should be narrowed as soon as antibiotic susceptibility results are available, and clinicians should consider stopping antibiotics if cultures are negative.

摘要

呼吸机相关性肺炎(VAP)是重症监护病房(ICU)获得性感染中最常见的一种。根据不同的环境和诊断标准,其发病率差异很大,从 5%到 40%不等。VAP 与机械通气时间和 ICU 住院时间延长有关。VAP 的估计归因死亡率约为 10%,外科 ICU 患者和入院时中度严重程度评分的患者死亡率更高。强烈鼓励对感染进行微生物学确认。使用哪种采样方法仍然存在争议。新出现的微生物学工具可能会在未来改变我们对 VAP 的诊断和治疗的常规方法。VAP 的预防基于尽量减少机械通气的暴露并鼓励尽早脱离机械通气。结合多种预防策略的综合方案可能会改善结果,但需要进行大规模的随机试验来证实这一点。在大多数情况下,治疗应限制在 7 天以内。应每天重新评估患者以确认持续存在疾病的怀疑,一旦获得抗生素敏感性结果,就应尽快缩小抗生素范围,如果培养结果为阴性,临床医生应考虑停止使用抗生素。

https://cdn.ncbi.nlm.nih.gov/pmc/blobs/0d89/7095206/d063f6076e8d/134_2020_5980_Fig1_HTML.jpg

文献AI研究员

20分钟写一篇综述,助力文献阅读效率提升50倍。

立即体验

用中文搜PubMed

大模型驱动的PubMed中文搜索引擎

马上搜索

文档翻译

学术文献翻译模型,支持多种主流文档格式。

立即体验