Suppr超能文献

疾病复发时乳腺病理类型转变为化生性鳞状细胞癌:病例报告及文献复习

Change of Pathological Type to Metaplastic Squamous Cell Carcinoma of the Breast During Disease Recurrence: Case Report and Literature Review.

作者信息

Guo Tianhui, Chen Zhiying, Xu Jinpeng, Zhang Yongchun

机构信息

Department of Radiation Oncology, Laoshan Branch of Affiliated Hospital of Qingdao University, Qingdao, China.

Department of Radiation Oncology, The Affiliated Hospital of Qingdao University, Qingdao, China.

出版信息

Front Oncol. 2020 Feb 25;10:32. doi: 10.3389/fonc.2020.00032. eCollection 2020.

Abstract

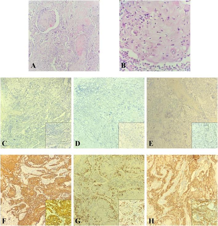
Metaplastic squamous cell carcinoma (SCC) of the breast is a rare and heterogeneous group of primary breast malignancies. The etiology, pathogenesis, and proper treatment for this kind rare breast cancer are still unclear. We reported a case of a 55-year-old woman with a palpable lump in the inner quadrant of the right breast. She underwent a right breast mass resection and sentinel lymph node biopsy, which revealed that the tumor was an invasive ductal carcinoma, followed by four cycles of doxorubicin plus cyclophosphamide and four cycles of docetaxel as adjuvant chemotherapy, and then simultaneous integrated boost intensity modulated radiotherapy to the whole right breast. After 2 years' follow-up, she had biopsy-proven disease recurrence in the right breast, which revealed SCC, and a mammogram showed abnormalities in the lower inner quadrant of the right breast and left axillary lymph nodes. Then we performed bilateral breast modified radical mastectomy, which confirmed that the recurrent tumors were metaplastic SCC, followed by adjuvant chemotherapy and adjuvant radiotherapy of the left supraclavicular and apical axillary regions. There has been no recurrent or metastatic evidence in the 16 months' follow-up since the second surgery. This case report shows that evolution of pathology type in recurrent breast cancer after initial treatment is possible. Detailed pathologic and immunohistochemical analyses are needed for identification of this change. Surgery and adjuvant radiation and chemotherapy are appropriate treatments for recurrent primary SCC of the breast.

摘要

乳腺化生性鳞状细胞癌(SCC)是一组罕见且异质性的原发性乳腺恶性肿瘤。这种罕见乳腺癌的病因、发病机制及恰当治疗仍不明确。我们报告了一例55岁女性,其右乳内象限可触及肿块。她接受了右乳肿块切除术及前哨淋巴结活检,结果显示肿瘤为浸润性导管癌,随后接受了四个周期的阿霉素加环磷酰胺及四个周期的多西他赛辅助化疗,然后对整个右乳进行同步整合加量调强放疗。随访2年后,她经活检证实右乳疾病复发,病理显示为SCC,乳房X线摄影显示右乳内下象限及左腋窝淋巴结异常。随后我们进行了双侧乳腺改良根治术,证实复发性肿瘤为化生性SCC,之后对左锁骨上及腋窝尖区进行了辅助化疗及辅助放疗。自第二次手术以来的16个月随访中,未发现复发或转移证据。本病例报告表明,初始治疗后复发性乳腺癌的病理类型可能发生演变。需要进行详细的病理及免疫组化分析以识别这种变化。手术及辅助放化疗是复发性原发性乳腺SCC的合适治疗方法。

https://cdn.ncbi.nlm.nih.gov/pmc/blobs/0077/7052350/b5ea801bbfdf/fonc-10-00032-g0001.jpg

文献AI研究员

20分钟写一篇综述,助力文献阅读效率提升50倍。

立即体验

用中文搜PubMed

大模型驱动的PubMed中文搜索引擎

马上搜索

文档翻译

学术文献翻译模型,支持多种主流文档格式。

立即体验