Suppr超能文献

乳腺原发性鳞状细胞癌:一例病例报告及文献复习

Primary squamous cell carcinoma of the breast: A case report and review of the literature.

作者信息

Wu Yaping, Chen Zhiying, Li Wei, Wang Fengguang, Zhang Yongchun

机构信息

Department of Radiation Oncology, The Affiliated Hospital of Qingdao University, Qingdao, China.

出版信息

Front Oncol. 2023 Jan 6;12:1033084. doi: 10.3389/fonc.2022.1033084. eCollection 2022.

Abstract

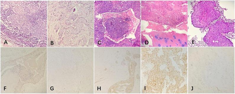
Primary squamous cell carcinoma (PSCC) of the breast, as a rare metaplastic breast cancer, currently has limited clinical data on its biological behavior, treatment and prognosis. At present, the optimal treatment of this tumor is still controversial. We reported a case of a 56-year-old woman with a mass on the right breast. She underwent a modified radical mastectomy and lymph node biopsy, which revealed that the tumor was a metaplastic squamous cell carcinoma with axillary lymph node metastasis, followed by traditional adjuvant chemotherapy and radiotherapy. The patient re-examined by PET/CT after two years in May 2017 and found a recurrence in the right chest wall, so resection of the recurring lesion was resected, then she was given postoperative adjuvant radiotherapy and chemotherapy. In August 2019, the patient re-examined by PET/CT, and there were pulmonary and mediastinal lymph node metastases. After 4 cycles of albumin paclitaxel plus cisplatin chemotherapy combined with nivolumab immunotherapy, the patient achieved complete response (CR), and then switched to nivolumab immune maintenance therapy. So far, no obvious metastasis has been seen. We believe that surgical treatment is necessary for PSCC of the breast;paclitaxel and cisplatin chemotherapy regimens and adjuvant radiotherapy are effective, but it may be resistant to radiotherapy; and immunotherapy may prolong the survival of patients with PSCC of the breast.

摘要

乳腺原发性鳞状细胞癌(PSCC)作为一种罕见的乳腺化生性癌,目前关于其生物学行为、治疗及预后的临床数据有限。目前,该肿瘤的最佳治疗方案仍存在争议。我们报告了一例56岁右乳肿物的女性患者。她接受了改良根治性乳房切除术及淋巴结活检,结果显示肿瘤为伴有腋窝淋巴结转移的化生性鳞状细胞癌,随后接受了传统辅助化疗和放疗。2017年5月患者在两年后接受PET/CT复查,发现右胸壁复发,遂切除复发病灶,之后给予术后辅助放疗和化疗。2019年8月,患者接受PET/CT复查,出现肺及纵隔淋巴结转移。在接受4周期白蛋白紫杉醇联合顺铂化疗并联合纳武单抗免疫治疗后,患者达到完全缓解(CR),随后转为纳武单抗免疫维持治疗。迄今为止,未见明显转移。我们认为,手术治疗对于乳腺PSCC是必要的;紫杉醇和顺铂化疗方案及辅助放疗是有效的,但可能对放疗耐药;免疫治疗可能延长乳腺PSCC患者的生存期。

https://cdn.ncbi.nlm.nih.gov/pmc/blobs/d540/9869869/ccd4922336fd/fonc-12-1033084-g001.jpg

文献AI研究员

20分钟写一篇综述,助力文献阅读效率提升50倍。

立即体验

用中文搜PubMed

大模型驱动的PubMed中文搜索引擎

马上搜索

文档翻译

学术文献翻译模型,支持多种主流文档格式。

立即体验