Suppr超能文献

日粮玉米抗性淀粉通过激活肉鸡的Notch信号通路来调节肠道形态和屏障功能。

Dietary corn resistant starch regulates intestinal morphology and barrier functions by activating the Notch signaling pathway of broilers.

作者信息

Zhang Yingying, Liu Yingsen, Li Jiaolong, Xing Tong, Jiang Yun, Zhang Lin, Gao Feng

机构信息

College of Animal Science and Technology, Key Laboratory of Animal Origin Food Production and Safety Guarantee of Jiangsu Province, Jiangsu Collaborative Innovation Center of Meat Production and Processing, Quality and Safety Control, Joint International Research Laboratory of Animal Health and Food Safety, National Experimental Teaching Demonstration Center of Animal Science, Nanjing Agricultural University, Nanjing 210095, China.

School of Food Science and Pharmaceutical Engineering, Nanjing Normal University, Nanjing 210097, China.

出版信息

Asian-Australas J Anim Sci. 2020 Dec;33(12):2008-2020. doi: 10.5713/ajas.19.0967. Epub 2020 Mar 12.

Abstract

OBJECTIVE

This study was conducted to investigate the effects of dietary corn resistant starch (RS) on the intestinal morphology and barrier functions of broilers.

METHODS

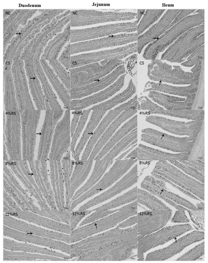
A total of 320 one-day-old broilers were randomly allocated to 5 dietary treatments: one normal corn-soybean (NC) diet, one corn-soybean-based diet supplementation with 20% corn starch (CS), and 3 corn-soybean-based diets supplementation with 4%, 8%, and 12% corn resistant starch (RS) (identified as 4% RS, 8% RS, and 12% RS, respectively). Each group had eight replicates with eight broilers per replicate. After 21 days feeding, one bird with a body weight (BW) close to the average BW of their replicate was selected and slaughtered. The samples of duodenum, jejunum, ileum, caecum digesta, and blood were collected.

RESULTS

Birds fed 4% RS, 8% RS and 12% RS diets showed lower feed intake, BW gain, jejunal villus height (VH), duodenal crypt depth (CD), jejunal VH/CD ratio, duodenal goblet cell density as well as mucin1 mRNA expressions compared to the NC group, but showed higher concentrations of cecal acetic acid and butyric acid, percentage of jejunal proliferating cell nuclear antigen-positive cells and delta like canonical Notch ligand 4 (Dll4), and hes family bHLH transcription factor 1 mRNA expressions. However, there were no differences on the plasma diamine oxidase activity and D-lactic acid concentration among all groups.

CONCLUSION

These findings suggested that RS could suppress intestinal morphology and barrier functions by activating Notch pathway and inhibiting the development of goblet cells, resulting in decreased mucins and tight junction mRNA expression.

摘要

目的

本研究旨在探讨日粮中玉米抗性淀粉(RS)对肉鸡肠道形态和屏障功能的影响。

方法

将320只1日龄肉鸡随机分为5种日粮处理组:一种是正常玉米-豆粕(NC)日粮,一种是在玉米-豆粕基础日粮中添加20%玉米淀粉(CS),还有3种在玉米-豆粕基础日粮中分别添加4%、8%和12%玉米抗性淀粉(RS)(分别记为4%RS、8%RS和12%RS)。每组有8个重复,每个重复8只肉鸡。饲养21天后,选择一只体重接近其重复组平均体重的鸡进行屠宰。采集十二指肠、空肠、回肠、盲肠内容物和血液样本。

结果

与NC组相比,饲喂4%RS、8%RS和12%RS日粮的鸡采食量、体重增加、空肠绒毛高度(VH)、十二指肠隐窝深度(CD)、空肠VH/CD比值、十二指肠杯状细胞密度以及黏蛋白1 mRNA表达较低,但盲肠乙酸和丁酸浓度、空肠增殖细胞核抗原阳性细胞百分比以及Delta样经典Notch配体4(Dll4)和Hes家族bHLH转录因子1 mRNA表达较高。然而,所有组之间血浆二胺氧化酶活性和D-乳酸浓度没有差异。

结论

这些结果表明,RS可通过激活Notch通路并抑制杯状细胞发育来抑制肠道形态和屏障功能,导致黏蛋白和紧密连接mRNA表达降低。

https://cdn.ncbi.nlm.nih.gov/pmc/blobs/3c28/7649406/c071d34c599f/ajas-19-0967f1.jpg

文献AI研究员

20分钟写一篇综述,助力文献阅读效率提升50倍。

立即体验

用中文搜PubMed

大模型驱动的PubMed中文搜索引擎

马上搜索

文档翻译

学术文献翻译模型,支持多种主流文档格式。

立即体验