Suppr超能文献

PfCERLI1 是一种保守的裂殖体相关蛋白,对恶性疟原虫裂殖子入侵红细胞是必需的。

PfCERLI1 is a conserved rhoptry associated protein essential for Plasmodium falciparum merozoite invasion of erythrocytes.

机构信息

Research Centre for Infectious Diseases, School of Biological Sciences, University of Adelaide, Adelaide, SA, 5005, Australia.

Experimental Therapeutics Laboratory, School of Pharmacy and Medical Sciences, University of South Australia Cancer Research Institute, Adelaide, SA, 5005, Australia.

出版信息

Nat Commun. 2020 Mar 16;11(1):1411. doi: 10.1038/s41467-020-15127-w.

Abstract

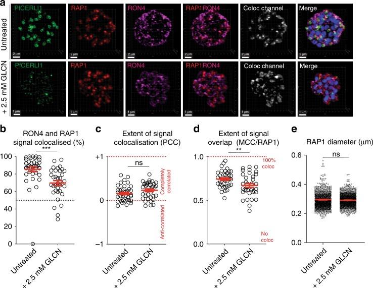
The disease-causing blood-stage of the Plasmodium falciparum lifecycle begins with invasion of human erythrocytes by merozoites. Many vaccine candidates with key roles in binding to the erythrocyte surface and entry are secreted from the large bulb-like rhoptry organelles at the apical tip of the merozoite. Here we identify an essential role for the conserved protein P. falciparum Cytosolically Exposed Rhoptry Leaflet Interacting protein 1 (PfCERLI1) in rhoptry function. We show that PfCERLI1 localises to the cytosolic face of the rhoptry bulb membrane and knockdown of PfCERLI1 inhibits merozoite invasion. While schizogony and merozoite organelle biogenesis appear normal, biochemical techniques and semi-quantitative super-resolution microscopy show that PfCERLI1 knockdown prevents secretion of key rhoptry antigens that coordinate merozoite invasion. PfCERLI1 is a rhoptry associated protein identified to have a direct role in function of this essential merozoite invasion organelle, which has broader implications for understanding apicomplexan invasion biology.

摘要

疟原虫生活史中的致病血期始于裂殖子入侵人类红细胞。许多在与红细胞表面结合和入侵方面发挥关键作用的疫苗候选物从裂殖子顶端的大型灯泡状棒状体分泌出来。在这里,我们确定了保守蛋白疟原虫细胞质暴露的棒状体小叶相互作用蛋白 1(PfCERLI1)在棒状体功能中的重要作用。我们表明 PfCERLI1 定位于棒状体泡膜的细胞质面,敲低 PfCERLI1 可抑制裂殖子入侵。虽然裂殖和裂殖子细胞器生物发生似乎正常,但生化技术和半定量超分辨率显微镜显示,PfCERLI1 敲低可阻止协调裂殖子入侵的关键棒状体抗原的分泌。PfCERLI1 是一种与棒状体相关的蛋白,已被确定在这个基本的裂殖子入侵细胞器的功能中具有直接作用,这对理解顶复门生物入侵生物学具有更广泛的意义。

https://cdn.ncbi.nlm.nih.gov/pmc/blobs/6813/7075938/6e502bb7b6e7/41467_2020_15127_Fig1_HTML.jpg

文献AI研究员

20分钟写一篇综述,助力文献阅读效率提升50倍。

立即体验

用中文搜PubMed

大模型驱动的PubMed中文搜索引擎

马上搜索

文档翻译

学术文献翻译模型,支持多种主流文档格式。

立即体验