Suppr超能文献

雷帕霉素可保护软骨细胞免受白细胞介素 18 诱导的凋亡,并改善大鼠骨关节炎。

Rapamycin protects chondrocytes against IL-18-induced apoptosis and ameliorates rat osteoarthritis.

机构信息

Department of Orthopedic Surgery, The Second Affiliated Hospital, School of Medicine, Zhejiang University, Hangzhou 310000, Zhejiang, China.

出版信息

Aging (Albany NY). 2020 Mar 17;12(6):5152-5167. doi: 10.18632/aging.102937.

Abstract

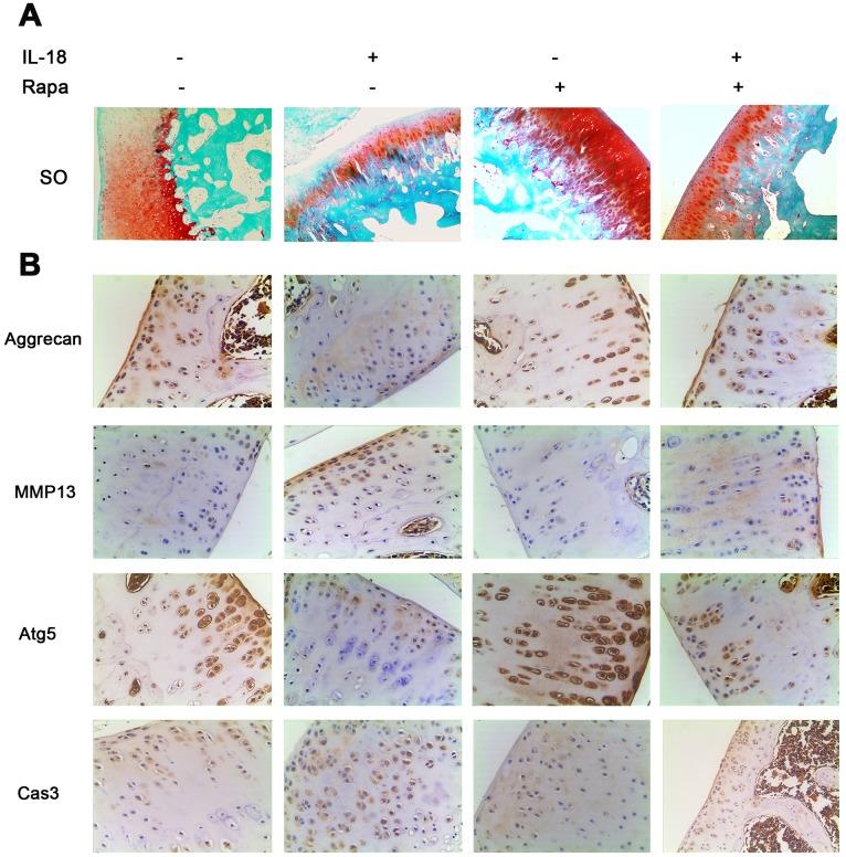
Interleukin 18 (IL-18) promotes inflammation and apoptosis in chondrocytes, thereby contributing to the development and progression of osteoarthritis (OA). Here, we investigated the effects of IL-18 treatment and inhibition in rat chondrocytes and We used RT-PCR and Western blotting to measure the mRNA and protein levels of the chondrocyte-specific genes Collagen II and Aggrecan as well as the protein levels of apoptosis-related (Bax, Bcl2, Caspase3/9), autophagy-related (Atg5, Atg7, Beclin1, LC3), and mTOR pathway-related genes (PI3K, Akt, mTOR). We observed a decrease in Collagen II and Aggrecan mRNA and protein levels, upregulation of chondrocyte apoptosis, downregulation of chondrocyte autophagy, and activation of the PI3K/Akt/mTOR pathway upon IL-18 treatment. PI3K/Akt/mTOR pathway activation and inhibition tests using rat 740Y-P (PI3K activator), SC79 (AKT activator), 3BDO (mTOR activator), or LY294002 (PI3K inhibitor) revealed that activation of the PI3K/Akt/mTOR pathway enhances chondrocyte-specific gene degradation induced by IL-18, while its inhibition has protective effects on chondrocytes. We also found that treatment with rapamycin (a selective mTOR inhibitor) also exerts chondro-protective effects that ameliorate OA by promoting autophagy. These results suggest that inhibition of the mTOR pathway could be exploited for therapeutic benefits in the treatment of OA.

摘要

白细胞介素 18 (IL-18) 可促进软骨细胞中的炎症和细胞凋亡,从而有助于骨关节炎 (OA) 的发展和进展。在这里,我们研究了 IL-18 处理和抑制对大鼠软骨细胞的影响。我们使用 RT-PCR 和 Western blot 来测量软骨细胞特异性基因 Collagen II 和 Aggrecan 的 mRNA 和蛋白水平,以及与凋亡相关的蛋白 (Bax、Bcl2、Caspase3/9)、自噬相关的 (Atg5、Atg7、Beclin1、LC3) 和 mTOR 通路相关基因 (PI3K、Akt、mTOR) 的蛋白水平。我们观察到在 IL-18 处理后,Collagen II 和 Aggrecan 的 mRNA 和蛋白水平降低,软骨细胞凋亡增加,软骨细胞自噬减少,以及 PI3K/Akt/mTOR 通路被激活。使用大鼠 740Y-P (PI3K 激活剂)、SC79 (AKT 激活剂)、3BDO (mTOR 激活剂) 或 LY294002 (PI3K 抑制剂) 进行 PI3K/Akt/mTOR 通路激活和抑制试验表明,PI3K/Akt/mTOR 通路的激活增强了由 IL-18 诱导的软骨细胞特异性基因降解,而其抑制对软骨细胞具有保护作用。我们还发现雷帕霉素 (一种选择性 mTOR 抑制剂) 的治疗也具有软骨保护作用,通过促进自噬来改善 OA。这些结果表明,抑制 mTOR 通路可能在治疗 OA 方面具有治疗益处。

https://cdn.ncbi.nlm.nih.gov/pmc/blobs/edc7/7138594/d289829da83c/aging-12-102937-g001.jpg

文献AI研究员

20分钟写一篇综述,助力文献阅读效率提升50倍。

立即体验

用中文搜PubMed

大模型驱动的PubMed中文搜索引擎

马上搜索

文档翻译

学术文献翻译模型,支持多种主流文档格式。

立即体验