Suppr超能文献

STING 在 ER 中促进 NLRP3 的定位,并在 HSV-1 感染时促进 NLRP3 的去泛素化以激活炎症小体。

STING promotes NLRP3 localization in ER and facilitates NLRP3 deubiquitination to activate the inflammasome upon HSV-1 infection.

机构信息

Guangdong Key Laboratory of Virology, Institute of Medical Microbiology, Jinan University, Guangzhou, China.

State Key Laboratory of Virology, College of Life Sciences, Wuhan University, Wuhan, China.

出版信息

PLoS Pathog. 2020 Mar 18;16(3):e1008335. doi: 10.1371/journal.ppat.1008335. eCollection 2020 Mar.

Abstract

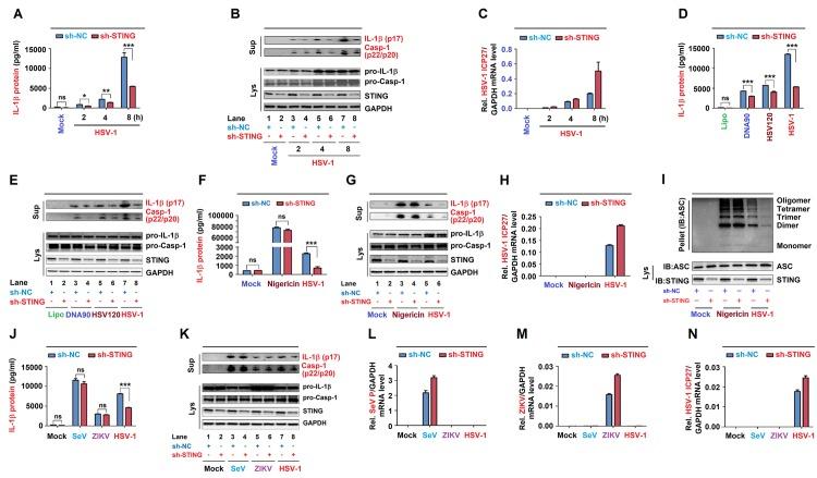
One of the fundamental reactions of the innate immune responses to pathogen infection is the release of pro-inflammatory cytokines, including IL-1β, processed by the NLRP3 inflammasome. The stimulator of interferon genes (STING) has the essential roles in innate immune response against pathogen infections. Here we reveal a distinct mechanism by which STING regulates the NLRP3 inflammasome activation, IL-1β secretion, and inflammatory responses in human cell lines, mice primary cells, and mice. Interestingly, upon HSV-1 infection and cytosolic DNA stimulation, STING binds to NLRP3 and promotes the inflammasome activation through two approaches. First, STING recruits NLRP3 and facilitates NLRP3 localization in the endoplasmic reticulum, thereby facilitating the inflammasome formation. Second, STING interacts with NLRP3 and attenuates K48- and K63-linked polyubiquitination of NLRP3, thereby promoting the inflammasome activation. Collectively, we demonstrate that the cGAS-STING-NLRP3 signaling is essential for host defense against HSV-1 infection.

摘要

先天免疫反应对病原体感染的基本反应之一是释放促炎细胞因子,包括由 NLRP3 炎性体加工的 IL-1β。干扰素基因刺激物 (STING) 在针对病原体感染的先天免疫反应中具有重要作用。在这里,我们揭示了 STING 调节 NLRP3 炎性体激活、IL-1β 分泌和人细胞系、小鼠原代细胞和小鼠炎症反应的独特机制。有趣的是,在 HSV-1 感染和细胞质 DNA 刺激下,STING 与 NLRP3 结合,并通过两种方式促进炎性体激活。首先,STING 募集 NLRP3 并促进 NLRP3 在内质网中的定位,从而促进炎性体形成。其次,STING 与 NLRP3 相互作用并减弱 NLRP3 的 K48-和 K63 连接多泛素化,从而促进炎性体激活。总之,我们证明 cGAS-STING-NLRP3 信号通路对于宿主抵抗 HSV-1 感染至关重要。

https://cdn.ncbi.nlm.nih.gov/pmc/blobs/eb0f/7080238/9eb1504b45ff/ppat.1008335.g001.jpg

文献AI研究员

20分钟写一篇综述,助力文献阅读效率提升50倍。

立即体验

用中文搜PubMed

大模型驱动的PubMed中文搜索引擎

马上搜索

文档翻译

学术文献翻译模型,支持多种主流文档格式。

立即体验