Suppr超能文献

体内细菌生物膜感染中外源 DNA 的来源。

The origin of extracellular DNA in bacterial biofilm infections in vivo.

机构信息

Costerton Biofilm Center, Department of Immunology and Microbiology, University of Copenhagen, Blegdamsvej 3, DK-2200 Copenhagen N., Denmark.

CFIM/Department of Biomedical Sciences, University of Copenhagen, Blegdmasvej 3, DK-2200 Copenhagen N., Denmark.

出版信息

Pathog Dis. 2020 Mar 1;78(2). doi: 10.1093/femspd/ftaa018.

Abstract

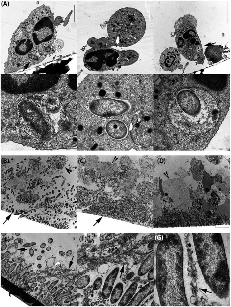
Extracellular DNA (eDNA) plays an important role in both the aggregation of bacteria and in the interaction of the resulting biofilms with polymorphonuclear leukocytes (PMNs) during an inflammatory response. Here, transmission electron and confocal scanning laser microscopy were used to examine the interaction between biofilms of Pseudomonas aeruginosa and PMNs in a murine implant model and in lung tissue from chronically infected cystic fibrosis patients. PNA FISH, DNA staining, labeling of PMN DNA with a thymidine analogue and immunohistochemistry were applied to localize bacteria, eDNA, PMN-derived eDNA, PMN-derived histone H3 (H3), neutrophil elastase (NE) and citrullinated H3 (citH3). Host-derived eDNA was observed surrounding bacterial biofilms but not within the biofilms. H3 localized to the lining of biofilms while NE was found throughout biofilms. CitH3, a marker for neutrophil extracellular traps (NETs) was detected only sporadically indicating that most host-derived eDNA in vivo was not a result of NETosis. Together these observations show that, in these in vivo biofilm infections with P. aeruginosa, the majority of eDNA is found external to the biofilm and derives from the host.

摘要

细胞外 DNA(eDNA)在细菌聚集以及在炎症反应过程中形成的生物膜与多形核白细胞(PMN)相互作用中起着重要作用。在这里,透射电子显微镜和共聚焦扫描激光显微镜被用于研究铜绿假单胞菌生物膜与PMN 之间的相互作用,研究对象是在鼠植入模型和慢性感染囊性纤维化患者的肺组织中。PNA FISH、DNA 染色、用胸苷类似物标记PMN DNA 和免疫组织化学被用于定位细菌、eDNA、PMN 衍生的 eDNA、PMN 衍生的组蛋白 H3(H3)、中性粒细胞弹性蛋白酶(NE)和瓜氨酸化 H3(citH3)。宿主来源的 eDNA 被观察到围绕细菌生物膜,但不在生物膜内。H3 定位于生物膜的衬里,而 NE 存在于整个生物膜中。作为中性粒细胞胞外诱捕网(NETs)的标志物的 citH3 仅偶尔被检测到,这表明体内大多数宿主来源的 eDNA 不是 NETosis 的结果。这些观察结果表明,在这些体内铜绿假单胞菌生物膜感染中,大多数 eDNA 位于生物膜之外,并且来源于宿主。

https://cdn.ncbi.nlm.nih.gov/pmc/blobs/ae43/7150582/e07d2f659c4f/ftaa018fig1.jpg

文献AI研究员

20分钟写一篇综述,助力文献阅读效率提升50倍。

立即体验

用中文搜PubMed

大模型驱动的PubMed中文搜索引擎

马上搜索

文档翻译

学术文献翻译模型,支持多种主流文档格式。

立即体验