Suppr超能文献

火球菌属 III-B CRISPR-Cas 免疫所需的 RNA 和 DNA 核酸酶活性的调控。

Regulation of the RNA and DNA nuclease activities required for Pyrococcus furiosus Type III-B CRISPR-Cas immunity.

机构信息

Department of Microbiology, University of Georgia, Athens, GA 30602, USA.

Biomedical Sciences Research Complex, School of Biology, University of St Andrews, St Andrews KY16 9ST, UK.

出版信息

Nucleic Acids Res. 2020 May 7;48(8):4418-4434. doi: 10.1093/nar/gkaa176.

Abstract

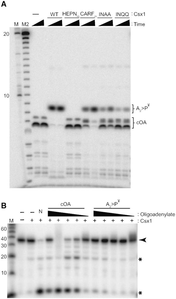
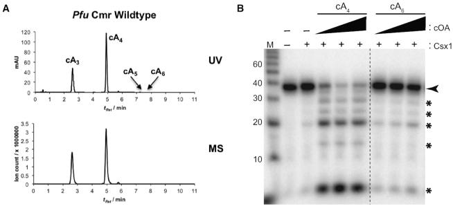
Type III CRISPR-Cas prokaryotic immune systems provide anti-viral and anti-plasmid immunity via a dual mechanism of RNA and DNA destruction. Upon target RNA interaction, Type III crRNP effector complexes become activated to cleave both target RNA (via Cas7) and target DNA (via Cas10). Moreover, trans-acting endoribonucleases, Csx1 or Csm6, can promote the Type III immune response by destroying both invader and host RNAs. Here, we characterize how the RNase and DNase activities associated with Type III-B immunity in Pyrococcus furiosus (Pfu) are regulated by target RNA features and second messenger signaling events. In vivo mutational analyses reveal that either the DNase activity of Cas10 or the RNase activity of Csx1 can effectively direct successful anti-plasmid immunity. Biochemical analyses confirmed that the Cas10 Palm domains convert ATP into cyclic oligoadenylate (cOA) compounds that activate the ribonuclease activity of Pfu Csx1. Furthermore, we show that the HEPN domain of the adenosine-specific endoribonuclease, Pfu Csx1, degrades cOA signaling molecules to provide an auto-inhibitory off-switch of Csx1 activation. Activation of both the DNase and cOA generation activities require target RNA binding and recognition of distinct target RNA 3' protospacer flanking sequences. Our results highlight the complex regulatory mechanisms controlling Type III CRISPR immunity.

摘要

III 型 CRISPR-Cas 原核免疫系统通过 RNA 和 DNA 破坏的双重机制提供抗病毒和抗质粒免疫。在与靶 RNA 相互作用后,III 型 crRNP 效应复合物被激活,以切割靶 RNA(通过 Cas7)和靶 DNA(通过 Cas10)。此外,反式作用内切核糖核酸酶 Csx1 或 Csm6 可以通过破坏入侵物和宿主 RNA 来促进 III 型免疫反应。在这里,我们描述了在 Pyrococcus furiosus(Pfu)中与 III-B 型免疫相关的核糖核酸酶和脱氧核糖核酸酶活性如何受到靶 RNA 特征和第二信使信号事件的调节。体内突变分析表明,Cas10 的脱氧核糖核酸酶活性或 Csx1 的核糖核酸酶活性都可以有效地指导成功的抗质粒免疫。生化分析证实,Cas10 的 Palm 结构域将 ATP 转化为激活 Pfu Csx1 的核糖核酸酶活性的环状寡聚腺苷酸(cOA)化合物。此外,我们表明,腺苷特异性内切核糖核酸酶 Pfu Csx1 的 HEPN 结构域降解 cOA 信号分子,为 Csx1 激活提供自动抑制的关闭开关。脱氧核糖核酸酶和 cOA 生成活性的激活都需要靶 RNA 结合和识别不同的靶 RNA 3'前导间隔区侧翼序列。我们的结果强调了控制 III 型 CRISPR 免疫的复杂调节机制。

https://cdn.ncbi.nlm.nih.gov/pmc/blobs/8b29/7192623/1ad54ff15395/gkaa176fig1.jpg

文献AI研究员

20分钟写一篇综述,助力文献阅读效率提升50倍。

立即体验

用中文搜PubMed

大模型驱动的PubMed中文搜索引擎

马上搜索

文档翻译

学术文献翻译模型,支持多种主流文档格式。

立即体验