Suppr超能文献

使用[砹]NaAt对小鼠进行靶向α治疗中辐射诱导毒性的临床前评估:再探讨

Preclinical Evaluation of Radiation-Induced Toxicity in Targeted Alpha Therapy Using [At] NaAt in Mice: A Revisit.

作者信息

Liu Yuwei, Watabe Tadashi, Kaneda-Nakashima Kazuko, Ooe Kazuhiro, Shirakami Yoshifumi, Toyoshima Atsushi, Shimosegawa Eku, Nakano Takashi, Shinohara Atsushi, Hatazawa Jun

机构信息

Department of Nuclear Medicine and Tracer Kinetics, Osaka University Graduate School of Medicine, Suita, Osaka, Japan.

Department of Nuclear Medicine and Tracer Kinetics, Osaka University Graduate School of Medicine, Suita, Osaka, Japan; Institute for Radiation Sciences, Osaka University, Toyonaka, Osaka, Japan.

出版信息

Transl Oncol. 2020 Apr;13(4):100757. doi: 10.1016/j.tranon.2020.100757. Epub 2020 Mar 25.

Abstract

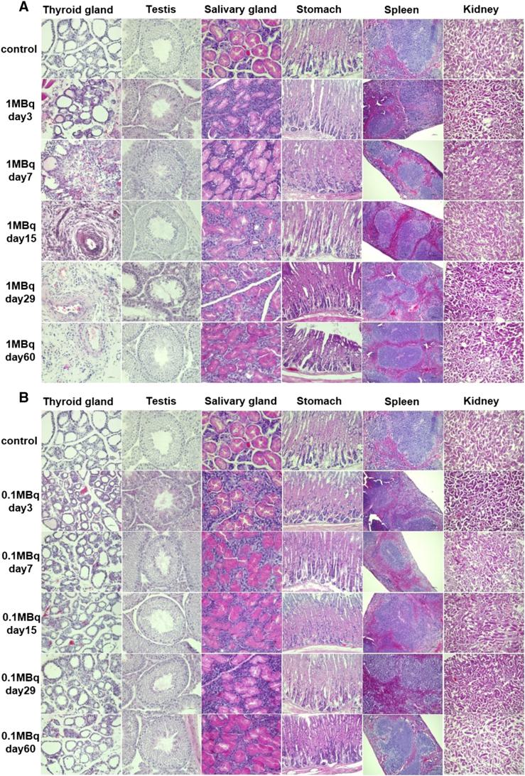
We recently reported the dose-dependent therapeutic effect of At-NaAt in differentiated thyroid cancer xenograft models. In the present study, we evaluated the radiation-induced toxicity of At-NaAt using detailed hematological, biochemical, and histological analyses. Biodistribution of At-NaAt was measured in normal ICR mice (n = 12), absorbed doses in the major organs were calculated. Groups of ICR mice (n = 60) were injected with 0.1 MBq or 1 MBq of At-NaAt, using saline as the control group (n = 30). Body weight and food intake were followed up for 60 days. Blood cell counts and serum level of biochemical parameters were measured 3, 7, 15, 29, 60 days after injection. Histological analyses of the major organs with hematoxylin and eosin staining were performed. Biodistribution study revealed a high-absorbed dose in the thyroid gland, stomach, bladder, heart, lungs, spleen, kidneys, and testis. The 0.1 MBq group showed no abnormalities. The 1 MBq group showed decreased body weight and food intake. Histological analysis showed atrophy and fibrosis in the thyroid gland, a transient hypospermatogenesis in the testis on day 29 was found in one mouse. Hematological toxicity was mild and transient. The total cholesterol, albumin, and total protein increased with no signs of recovery, which was considered to be caused by hypothyroidism. High-dose administration of At-NaAt showed transient toxicity in the white blood cells and testis without severe hematological or renal toxicity, suggesting its tolerable safety as targeted alpha-therapy for differentiated thyroid cancer in the 1 MBq group.

摘要

我们最近报道了碘化钠砹(At-NaAt)在分化型甲状腺癌异种移植模型中的剂量依赖性治疗效果。在本研究中,我们通过详细的血液学、生化和组织学分析评估了At-NaAt的辐射诱导毒性。在正常ICR小鼠(n = 12)中测量了At-NaAt的生物分布,并计算了主要器官的吸收剂量。将ICR小鼠组(n = 60)注射0.1 MBq或1 MBq的At-NaAt,以生理盐水作为对照组(n = 30)。对体重和食物摄入量进行了60天的随访。在注射后第3、7、15、29、60天测量血细胞计数和生化参数的血清水平。对主要器官进行苏木精和伊红染色的组织学分析。生物分布研究显示甲状腺、胃、膀胱、心脏、肺、脾、肾和睾丸中的吸收剂量较高。0.1 MBq组未显示异常。1 MBq组显示体重和食物摄入量下降。组织学分析显示甲状腺萎缩和纤维化,在第29天一只小鼠的睾丸中发现短暂的精子发生减少。血液学毒性轻微且短暂。总胆固醇、白蛋白和总蛋白升高且无恢复迹象,这被认为是由甲状腺功能减退引起的。高剂量给予At-NaAt在白细胞和睾丸中显示出短暂毒性,无严重血液学或肾脏毒性,表明其在1 MBq组中作为分化型甲状腺癌的靶向α治疗具有可耐受的安全性。

https://cdn.ncbi.nlm.nih.gov/pmc/blobs/2ee1/7109464/521fb3663457/gr1.jpg

文献AI研究员

20分钟写一篇综述,助力文献阅读效率提升50倍。

立即体验

用中文搜PubMed

大模型驱动的PubMed中文搜索引擎

马上搜索

文档翻译

学术文献翻译模型,支持多种主流文档格式。

立即体验