Suppr超能文献

在抗坏血酸钠保护下放射性分解作用下放射性标记抗体的肿瘤靶向

Tumor Targeting of At-Labeled Antibody under Sodium Ascorbate Protection against Radiolysis.

机构信息

Division of Developmental Therapeutics, Exploratory Oncology Research & Clinical Trial Center, National Cancer Center, 6-5-1 Kashiwanoha, Kashiwa, Chiba 277-8577, Japan.

Division of Functional Imaging, Exploratory Oncology Research & Clinical Trial Center, National Cancer Center, 6-5-1 Kashiwanoha, Kashiwa, Chiba 277-8577, Japan.

出版信息

Mol Pharm. 2023 Feb 6;20(2):1156-1167. doi: 10.1021/acs.molpharmaceut.2c00869. Epub 2022 Dec 27.

Abstract

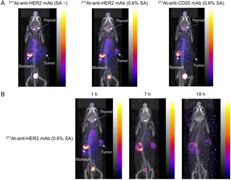
Astatine-211 (At) is an alpha emitter applicable to radioimmunotherapy (RIT), a cancer treatment that utilizes radioactive antibodies to target tumors. In the preparation of At-labeled monoclonal antibodies (At-mAbs), the possibility of radionuclide-induced antibody denaturation (radiolysis) is of concern. Our previous study showed that this At-induced radiochemical reaction disrupts the cellular binding activity of an astatinated mAb, resulting in attenuation of antitumor effects, whereas sodium ascorbate (SA), a free radical scavenger, prevents antibody denaturation, contributing to the maintenance of binding and antitumor activity. However, the influence of antibody denaturation on the pharmacokinetics of At-mAbs relating to tumor accumulation, blood circulation time, and distribution to normal organs remains unclear. In this study, we use a radioactive anti-human epidermal growth factor receptor 2 (anti-HER2) mAb to demonstrate that an At-induced radiochemical reaction disrupts active targeting via an antigen-antibody interaction, whereas SA helps to maintain targeting. In contrast, there was no difference in blood circulation time as well as distribution to normal organs between the stabilized and denatured immunoconjugates, indicating that antibody denaturation may not affect tumor accumulation via passive targeting based on the enhanced permeability and retention effect. In a high-HER2-expressing xenograft model treated with 1 MBq of At-anti-HER2 mAbs, SA-dependent maintenance of active targeting contributed to a significantly better response. In treatment with 0.5 or 0.2 MBq, the stabilized radioactive mAb significantly reduced tumor growth compared to the denatured immunoconjugate. Additionally, through a comparison between a stabilized At-anti-HER2 mAb and radioactive nontargeted control mAb, we demonstrate that active targeting significantly enhances tumor accumulation of radioactivity and antitumor effect. In RIT with At, active targeting contributes to efficient tumor accumulation of radioactivity, resulting in a potent antitumor effect. SA-dependent protection that successfully maintains tumor targeting will facilitate the clinical application of alpha-RIT.

摘要

放射性碘-211(At)是一种适用于放射免疫治疗(RIT)的α发射器,这是一种利用放射性抗体靶向肿瘤的癌症治疗方法。在制备放射性碘标记的单克隆抗体(At-mAb)时,人们担心放射性核素诱导的抗体变性(辐射分解)的可能性。我们之前的研究表明,这种 At 诱导的放射化学反应会破坏放射性碘标记的 mAb 的细胞结合活性,从而减弱抗肿瘤效果,而作为自由基清除剂的抗坏血酸钠(SA)可防止抗体变性,有助于保持结合和抗肿瘤活性。然而,抗体变性对与肿瘤积累、血液循环时间和分布到正常器官相关的 At-mAb 的药代动力学的影响尚不清楚。在这项研究中,我们使用放射性抗人表皮生长因子受体 2(抗-HER2)mAb 表明,At 诱导的放射化学反应通过抗原-抗体相互作用破坏主动靶向,而 SA 有助于维持靶向。相比之下,稳定和变性免疫缀合物之间的血液循环时间以及分布到正常器官没有差异,这表明抗体变性可能不会通过基于增强的通透性和保留效应的被动靶向影响肿瘤积累。在接受 1 MBq At-抗-HER2 mAb 治疗的高 HER2 表达异种移植模型中,SA 依赖性维持主动靶向有助于显著改善反应。在使用 0.5 或 0.2 MBq 时,与变性免疫缀合物相比,稳定的放射性 mAb 显著减少了肿瘤生长。此外,通过比较稳定的 At-抗-HER2 mAb 和放射性非靶向对照 mAb,我们证明主动靶向显著增加了放射性核素的肿瘤积累和抗肿瘤效果。在 At 的 RIT 中,主动靶向有助于放射性核素的有效肿瘤积累,从而产生强大的抗肿瘤效果。成功维持肿瘤靶向的 SA 依赖性保护将促进α-RIT 的临床应用。

https://cdn.ncbi.nlm.nih.gov/pmc/blobs/e9c3/9906747/92bfa9ff7ec8/mp2c00869_0001.jpg

文献AI研究员

20分钟写一篇综述,助力文献阅读效率提升50倍。

立即体验

用中文搜PubMed

大模型驱动的PubMed中文搜索引擎

马上搜索

文档翻译

学术文献翻译模型,支持多种主流文档格式。

立即体验