Suppr超能文献

利用多物种发现管道鉴定 RYR1 相关肌病的药物修饰剂。

Identification of drug modifiers for RYR1-related myopathy using a multi-species discovery pipeline.

机构信息

Program for Genetics and Genome Biology, Hospital for Sick Children, Toronto, Canada.

Department of Molecular Genetics, University of Toronto, Toronto, Canada.

出版信息

Elife. 2020 Mar 30;9:e52946. doi: 10.7554/eLife.52946.

Abstract

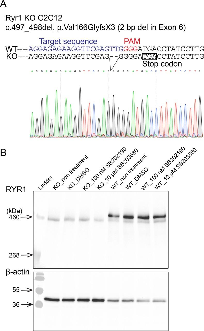
Ryanodine receptor type I-related myopathies (RYR1-RMs) are a common group of childhood muscle diseases associated with severe disabilities and early mortality for which there are no available treatments. The goal of this study is to identify new therapeutic targets for RYR1-RMs. To accomplish this, we developed a discovery pipeline using nematode, zebrafish, and mammalian cell models. We first performed large-scale drug screens in which uncovered 74 hits. Targeted testing in zebrafish yielded positive results for two p38 inhibitors. Using mouse myotubes, we found that either pharmacological inhibition or siRNA silencing of p38 impaired caffeine-induced Ca release from wild type cells while promoting intracellular Ca release in knockout cells. Lastly, we demonstrated that p38 inhibition blunts the aberrant temperature-dependent increase in resting Ca in myotubes from an RYR1-RM mouse model. This unique platform for RYR1-RM therapy development is potentially applicable to a broad range of neuromuscular disorders.

摘要

ryanodine 受体 1 相关肌病 (RYR1-RMs) 是一组常见的儿童肌肉疾病,与严重残疾和早逝相关,目前尚无可用的治疗方法。本研究的目的是为 RYR1-RMs 确定新的治疗靶点。为此,我们使用线虫、斑马鱼和哺乳动物细胞模型开发了一个发现管道。我们首先进行了大规模的药物筛选,发现了 74 个阳性结果。在斑马鱼中的靶向测试对两种 p38 抑制剂呈阳性结果。使用小鼠肌管,我们发现 p38 的药理学抑制或 siRNA 沉默会损害野生型细胞中咖啡因诱导的 Ca 释放,而促进 knockout 细胞内的 Ca 释放。最后,我们证明 p38 抑制可减轻来自 RYR1-RM 小鼠模型的肌管中异常的温度依赖性静息 Ca 增加。这种用于 RYR1-RM 治疗开发的独特平台可能适用于广泛的神经肌肉疾病。

https://cdn.ncbi.nlm.nih.gov/pmc/blobs/b57a/7202896/35e3f91d37f1/elife-52946-fig1.jpg

文献AI研究员

20分钟写一篇综述,助力文献阅读效率提升50倍。

立即体验

用中文搜PubMed

大模型驱动的PubMed中文搜索引擎

马上搜索

文档翻译

学术文献翻译模型,支持多种主流文档格式。

立即体验