Suppr超能文献

一种用于嵌合抗原设计的异源病毒蛋白支架:一个示例 PCV2 病毒疫苗候选物。

A Heterologous Viral Protein Scaffold for Chimeric Antigen Design: An Example PCV2 Virus Vaccine Candidate.

机构信息

Biotechnology and Biopharmaceutical Laboratory, Departamento de Fisiopatología; Facultad de Ciencias Biológicas, Universidad de Concepción, Víctor Lamas 1290, P.O. Box 160-C, Concepción 4079386, Chile.

Molecular Virology and Pathogen Control Laboratory, Departamento de Biología, Facultad de Química y Biología, Universidad de Santiago de Chile (USACH), Alameda 3363, Correo 40, Casilla 33, Santiago 9170022, Chile.

出版信息

Viruses. 2020 Mar 31;12(4):385. doi: 10.3390/v12040385.

Abstract

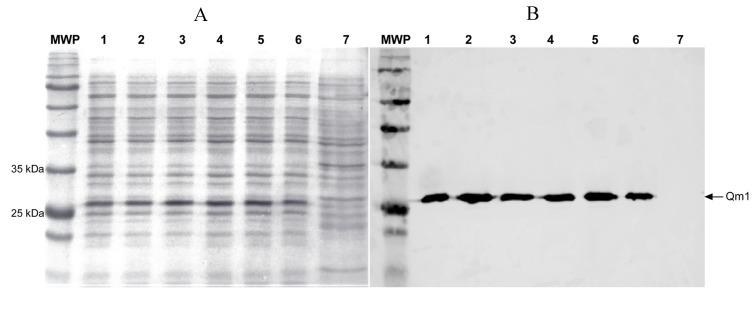
Recombinant vaccines have low-cost manufacturing, regulatory requirements, and reduced side effects compared to attenuated or inactivated vaccines. In the porcine industry, post-weaning multisystemic disease syndrome generates economic losses, characterized by progressive weight loss and weakness in piglets, and it is caused by porcine circovirus type 2 (PCV2). We designed a chimeric antigen (Qm1) to assemble the main exposed epitopes of the Cap-PCV2 protein on the capsid protein of the tobacco necrosis virus (TNV). This design was based on the Cap-N-terminal of an isolated PCV2 virus obtained in Chile. The virus was characterized, and the sequence was clustered within the PCV2 genotype b clade. This chimeric protein was expressed as inclusion bodies in both monomeric and multimeric forms, suggesting a high-molecular-weight aggregate formation. Pigs immunized with Qm1 elicited a strong and specific antibody response, which reduced the viral loads after the PCV2 challenge. In conclusion, the implemented design allowed for the generation of an effective vaccine candidate. Our proposal could be used to express the domains or fragments of antigenic proteins, whose structural complexity does not allow for low-cost production in . Hence, other antigen domains could be integrated into the TNV backbone for suitable antigenicity and immunogenicity. This work represents new biotechnological strategies, with a reduction in the costs associated with vaccine development.

摘要

与减毒或灭活疫苗相比,重组疫苗具有低成本制造、监管要求和降低的副作用。在养猪业中,断奶后多系统衰竭综合征会导致经济损失,其特征是仔猪渐进性体重减轻和虚弱,由猪圆环病毒 2 型(PCV2)引起。我们设计了一种嵌合抗原(Qm1),将 Cap-PCV2 蛋白的主要暴露表位组装到烟草坏死病毒(TNV)的衣壳蛋白上。该设计基于在智利分离的 PCV2 病毒的 Cap-N 末端。对该病毒进行了表征,其序列聚类在 PCV2 基因型 b 分支内。该嵌合蛋白以单体和多聚体形式表达为包涵体,表明形成了高分子量聚集体。用 Qm1 免疫的猪产生了强烈和特异性的抗体反应,在 PCV2 挑战后降低了病毒载量。总之,所实施的设计允许生成有效的疫苗候选物。我们的建议可用于表达抗原蛋白的结构域或片段,其结构复杂性不允许低成本生产。因此,其他抗原结构域可以整合到 TNV 骨架中,以获得适当的抗原性和免疫原性。这项工作代表了新的生物技术策略,降低了与疫苗开发相关的成本。

https://cdn.ncbi.nlm.nih.gov/pmc/blobs/2dad/7232224/79cf6c6e899c/viruses-12-00385-g001.jpg

文献AI研究员

20分钟写一篇综述,助力文献阅读效率提升50倍。

立即体验

用中文搜PubMed

大模型驱动的PubMed中文搜索引擎

马上搜索

文档翻译

学术文献翻译模型,支持多种主流文档格式。

立即体验